Bảo vệ sức khỏe răng miệng không chỉ giúp nụ cười của bạn luôn rạng rỡ, mà còn giữ cho hơi thở thơm mát, đảm bảo khả năng ăn nhai. Tuy nhiên, sức khỏe răng miệng thường bị ảnh hưởng bởi nhiều tác nhân, dễ mắc phải các bệnh lý như: Sâu răng, viêm nướu,… thậm chí là mất răng. Cùng True Dental tìm hiểu các tác nhân xấu ảnh hưởng tới răng miệng và cách phòng ngừa bạn nhé!
Nhóm tác nhân từ thói quen sinh hoạt
Hiện nay, có đến hơn 90% người mắc các bệnh lý răng miệng như: Sâu răng, viêm nướu,… Nguyên nhân chủ yếu là do thói quen sinh hoạt, chăm sóc răng miệng hàng ngày gây nên.
Vệ sinh răng miệng kém
Đây là một trong những tác nhân xấu ảnh hưởng tới răng miệng. Vệ sinh răng miệng kém, không đúng cách như: Đánh răng quá mạnh, sử dụng bàn chải cứng,… sẽ gây mòn men răng, viêm nướu, khiến răng trở nên nhạy cảm hơn. Mặc dù, dùng bàn chải đánh răng có lông cứng khiến bạn cảm giác răng miệng trở nên sạch sẽ hơn, nhưng thực tế, điều này sẽ gây mòn men răng, tạo điều kiện cho vi khuẩn phát triển và gây ra các bệnh lý răng miệng khác.
Bên cạnh đó, nếu bạn có thói quen đánh răng trong một thời gian ngắn, không đủ lâu để làm sạch mảng bám và vi khuẩn cũng sẽ gây ảnh hưởng xấu tới sức khỏe răng miệng. Do đó, bác sĩ nha khoa luôn khuyến khích nên đánh răng ít nhất 2 phút mỗi lần để bảo vệ răng miệng luôn chắc khỏe.

Thói quen ăn uống không lành mạnh
Một thói quen khác khiến sức khỏe răng miệng bị ảnh hưởng mà nhiều người thường bỏ qua, đó chính là ăn uống không lành mạnh. Theo chuyên gia, đường là một trong 3 nguyên nhân chính khiến răng bị sâu. Do đó, nếu bạn ăn thực phẩm có chứa nhiều đường như bánh, kẹo ngọt,… mà không vệ sinh răng miệng kỹ thì sâu răng là điều không thể tránh khỏi. Sâu răng nếu không được điều trị sớm sẽ dẫn đến nhiều biến chứng khác, nghiêm trọng nhất là mất răng.

Hút thuốc lá, uống rượu bia
Hút thuốc lá, uống rượu bia là tác nhân xấu ảnh hưởng tới răng miệng nghiêm trọng. Chất nicotin có trong thuốc lá không chỉ khiến sức khỏe tổng thể của bạn bị suy giảm mà còn tăng nguy cơ mắc bệnh viêm nướu, viêm nha chu, ung thư khoang miệng, khó điều trị. Còn thành phần axit trong rượu bia sẽ khiến men răng bị mòn, nhạy cảm và sâu răng. Thói quen hút thuốc lá, uống rượu bia lâu dài sẽ dẫn đến các bệnh lý nguy hiểm cho răng miệng, do đó bạn cần thay đổi điều này.

Nhóm tác nhân từ môi trường
Ngoài thói quen sinh hoạt, môi trường bị ô nhiễm cũng là tác nhân xấu ảnh hưởng tới răng miệng. Dưới đây là một số tác nhân cụ thể:
Nước chứa nhiều Flour hoặc kim loại nặng
Tại một số khu vực đặc biệt là ở vùng núi hoặc nơi núi lửa hoạt động thì nguồn nước tự nhiên có thể chứa nhiều Flour và kim loại nặng. Nếu sử dụng nguồn nước này sinh hoạt hàng ngày sẽ rất dễ bị nhiễm Flour.
Mặc dù, Flour sẽ giúp ngăn ngừa sâu răng, nhưng khi nồng độ vượt mức an toàn sẽ gây ảnh hưởng đến sức khỏe tổng thể và răng miệng, gây ra các triệu chứng như: Men răng xuất hiện vệt hoặc đốm trắng nhỏ, vị bất thường trong miệng, buồn nôn và ói mửa,… nghiêm trọng nhất là ngừng tim. Bạn cần đặc biệt lưu ý tác nhân xấu ảnh hưởng tới răng miệng này.
Ô nhiễm không khí và bụi mịn
Đây cũng là tác nhân xấu ảnh hưởng tới răng miệng do môi trường gây ra. Khi không khí bị ô nhiễm và có chứa bụi miệng sẽ gây ra hiện tượng kích ứng, viêm nhiễm, suy giảm miễn dịch và tăng nguy cơ mắc bệnh lý tim mạch và răng miệng. Đối với sức khỏe răng miệng, ô nhiễm không khí sẽ gây kích ứng niêm mạc, nướu, lưỡi. Đồng thời, tạo điều kiện cho vi khuẩn phát triển, xâm nhập vào cổ họng dẫn đến viêm họng, viêm amidan.

Nhóm tác nhân từ yếu tố y tế
Ngoài thói quen sinh hoạt, các yếu tố y tế cũng có thể là tác nhân xấu ảnh hưởng tới răng miệng. Cụ thể như:
Dùng thuốc kháng sinh hoặc thuốc đặc trị lâu dài
Các loại thuốc kháng sinh, đặc biệt là loại thuốc có chứa thành phần tetracycline, minocycline, doxycycline sẽ liên kết với thành phần trong men răng, gây ra tình trạng răng bị nhiễm màu vàng, nâu hoặc xám. Ngoài ra, dùng thuốc trong thời gian dài có thể gây ra khô miệng, tổn thương men răng, dễ bị sâu. Do đó, dùng thuốc kháng sinh hoặc thuốc đặc trị lâu dài cũng là tác nhân xấu ảnh hưởng tới răng miệng.

Bệnh lý toàn thân
Bệnh lý toàn thân cũng có thể gây tác động đến sức khỏe răng miệng, đặc biệt là bệnh tiểu đường. Trên thực thế, tiểu đường và viêm nha chu có mối liên hệ mật thiết với nhau. Khi lượng đường trong máu tăng cao sẽ tạo điều kiện cho vi khuẩn phát triển, gây viêm nướu. Đây cũng là tác nhân xấu ảnh hưởng tới răng miệng bạn cần lưu ý.
Nhóm tác nhân do thói quen hoặc chấn thương
Nghiến răng khi ngủ, chấn thương răng miệng là nhóm tác nhân xấu ảnh hưởng tới răng miệng. Tình trạng này có thể dẫn đến gãy, vỡ hoặc mất răng, không chỉ ảnh hưởng đến thẩm mỹ mà còn tăng nguy cơ mất răng.
Nghiến răng khi ngủ
Đây là tác nhân xấu ảnh hưởng tới răng miệng nghiêm trọng. Nghiến răng khi ngủ là thói quen xảy ra do nhiều nguyên nhân khác nhau như: Căng thẳng, rối loạn lo âu, trầm cảm. Nếu không đeo máng chống nghiến, sự ma sát giữa hai hàm răng có thể dẫn đến: Mòn và nứt răng, tổn thương khớp thái dương hàm, biến dạng gương mặt.

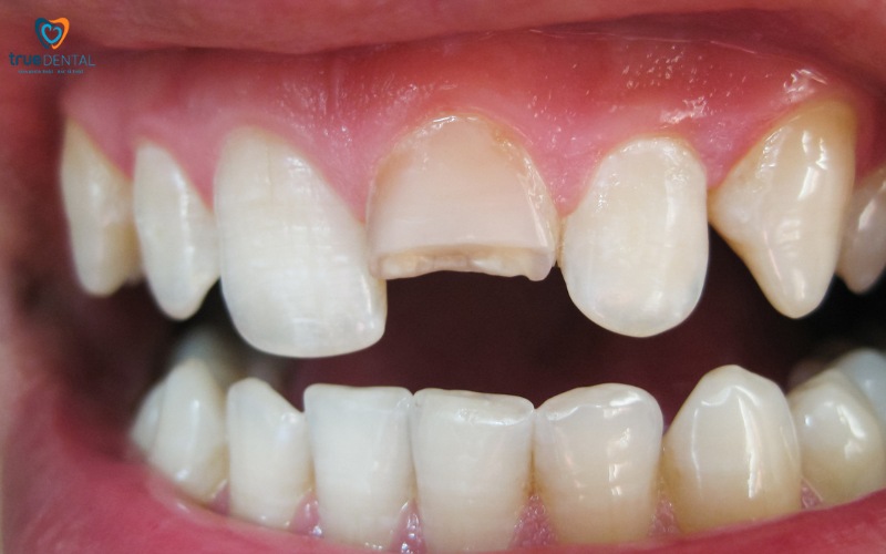
Chấn thương răng miệng
Chấn thương răng miệng có thể xảy ra do các tác động vật lý bên ngoài như va đập vào vật cứng, chấn thương thể thao, tai nạn trong cuộc sống hàng ngày. Chấn thương răng mệnh có thể dẫn đến mất răng, răng bị mẻ, vỡ, nứt lung lay, ảnh hưởng đến khả năng ăn nhai. Nếu không điều trị kịp thời có thể ảnh hưởng đến thẩm mỹ và dẫn đến bệnh lý răng miệng khác. Đây cũng là tác nhân xấu ảnh hưởng tới răng miệng thường gặp.

Cách phòng ngừa tác nhân gây ảnh hưởng xấu cho răng miệng
Để phòng ngừa tác nhân gây ảnh hưởng xấu tới răng miệng, bạn phải xây dựng chế độ vệ sinh và chăm sóc răng đúng cách. Dưới đây là một số lưu ý quan trọng giúp bạn bảo vệ sức khỏe răng miệng tốt nhất:
Vệ sinh răng miệng đúng cách:
– Nên đánh răng ít nhất hai lần/ngày bằng bàn chải lông mềm mỗi sáng thức dậy và trước khi đi ngủ.
– Sử dụng nước súc miệng, chỉ nha khoa, dụng cụ cạo lưỡi để loại bỏ mảng bám, vi khuẩn còn sót lại sau khi đánh răng.
Tránh ăn thức ăn có chứa axit và nhiều đường:
– Hạn chế ăn bánh kẹo ngọt, uống nước ngọt có gas để tránh nguy cơ bị sâu răng, hư hỏng men răng.
– Tránh ăn thực phẩm chứa nhiều axit, vì axit có thể gây mòn men răng, khiến răng trở nên nhạy cảm.
Uống đủ nước:
Việc uống đủ nước sẽ giữ cho miệng không bị khô, trung hòa hàm lượng axit, làm sạch các mảng bám trong răng.
Kiểm tra sức khỏe răng miệng:
Để bảo vệ sức khỏe răng miệng tốt nhất, bạn nên đến nha khoa khám răng định kì 06 tháng / lần. Các bác sĩ sẽ giúp bạn phát hiện những dấu hiệu mà mắt thường không thể nhìn thấy được, từ đó đưa ra phác đồ điều trị nhanh chóng và hiệu quả.

Thay đổi thói quen nghiến răng và dùng răng cắn vật cứng:
Dùng răng cắn vật cứng, nghiến răng sẽ gây tổn thương đến răng, làm men răng suy yếu. Thế nên, bạn cần thay đổi thói quen này, không nên dùng răng cắn đá lạnh, mở nắp chai,… để bảo vệ răng luôn chắc khỏe.
Dùng sản phẩm bổ khoáng cho men răng:
Một trong những cách nhanh và hiệu quả nhất để khắc phục men răng suy yếu đó là dùng sản phẩm có chứa Flour bổ sung chất khoáng cho men răng. Tuy nhiên, để đảm bảo an toàn, bạn nên tham khảo ý kiến của bác sĩ trước khi sử dụng. Một số sản phẩm chăm sóc răng miệng chứa Flour có thể kể đến như: Nước súc miệng, kem đánh răng,…
Trên đây là các tác nhân xấu ảnh hưởng tới răng miệng và cách phòng ngừa mà True Dental muốn chia sẻ đến bạn. Hy vọng qua bài viết này bạn đã “bỏ túi” cách bảo vệ sức khỏe răng miệng tốt nhất. Nếu còn bất kỳ thắc mắc hoặc cần tư vấn thêm, vui lòng liên hệ số Hotline 090.6636.456 để được đặt lịch hẹn tại True Dental ngay nhé
Cấy Ghép IMPLANT
Ưu điểm trụ implant Nobel Biocare: Lựa chọn hàng đầu cho răng giả
Trong các dòng trụ implant, Nobel Biocare là...
Cấy Ghép IMPLANT
Cấy ghép implant cho người bị loãng xương: Giải pháp an toàn và hiệu quả
Cấy ghép Implant là giải pháp phục hình...
Cấy Ghép IMPLANT
Thời gian chờ tích hợp xương sau cấy implant: Những điều cần biết!
Cấy ghép Implant là giải pháp phục hình...
Cấy Ghép IMPLANT
Cách nhận biết trụ implant chất lượng cao: Bí quyết lựa chọn tốt nhất
Cấy ghép Implant đã trở thành giải pháp...
Cấy Ghép IMPLANT
Địa chỉ cấy ghép implant giá rẻ tại TP.HCM
Cấy ghép Implant đã trở thành giải pháp...
Cấy Ghép IMPLANT
Cấy ghép implant có ảnh hưởng đến xoang hàm không?
Cấy ghép Implant là kỹ thuật nha khoa...
Tôi đang tìm 1 Nha Khoa để điều trị cho tôi, nhưng rất lo lắng và sợ gặp phải NHA TẶC hoặc bị chèo kéo.
HÃY GIÚP TÔI TƯ VẤN THẬT
HƯỚNG DẪN ĐƯỜNG ĐI