Sau khi trồng răng implant, có rất nhiều khách hàng lo lắng, cấy ghép implant có đau khi ăn nhai không? Theo các chuyên gia, tùy vào từng giai đoạn, khách hàng sẽ cần một chế độ ăn uống để đảm bảo kết quả cấy ghép tốt nhất. Trong bài viết dưới đây, True Dental sẽ chia sẻ cho bạn chi tiết về vấn đề này!
Cấy ghép implant là gì?
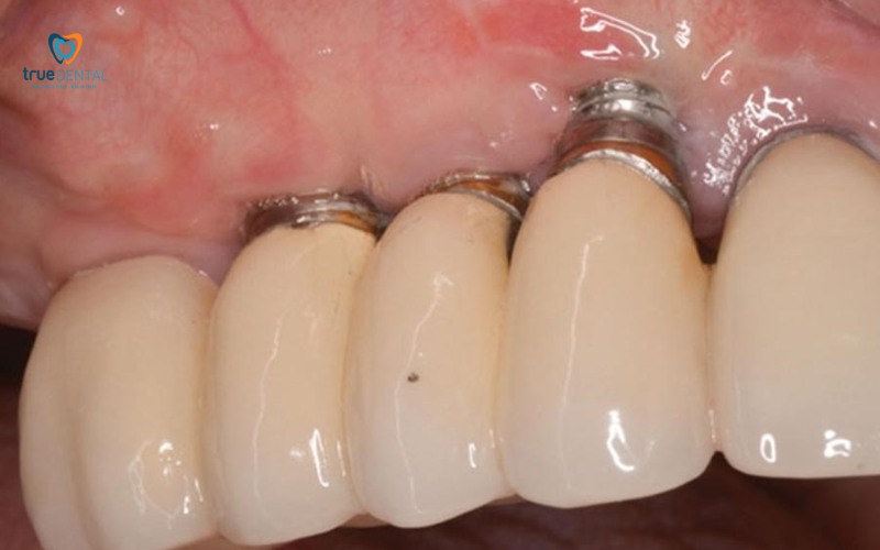
Cấy ghép Implant (hay còn gọi là trồng răng Implant) là một kỹ thuật nha khoa tiên tiến, sử dụng một trụ kim loại nhỏ, thường làm bằng Titanium tinh khiết, để thay thế chân răng đã mất. Trụ Titanium này được cấy trực tiếp vào xương hàm tại vị trí răng đã mất, đóng vai trò như một chân răng nhân tạo.
Sau một thời gian từ 3 đến 6 tháng, trụ Implant sẽ tích hợp hoàn toàn với xương hàm. Quá trình này được gọi là tích hợp xương. Khi trụ Implant đã ổn định, một mão răng sứ sẽ được gắn lên trên thông qua một khớp nối (Abutment), tạo thành một chiếc răng hoàn chỉnh, độc lập và có khả năng hoạt động y hệt như răng tự nhiên.
Mục tiêu cuối cùng của cấy ghép Implant là khôi phục lại cả về chức năng ăn nhai, thẩm mỹ và ngăn ngừa tình trạng tiêu xương hàm do mất răng lâu ngày. Tuy nhiên, trước khi thực hiện không ít khách hàng băn khoăn cấy ghép implant có đau khi ăn nhai không?

Cấy ghép implant có đau khi ăn nhai không?
Cấy ghép implant có đau khi ăn nhai không? Đây là câu hỏi thường gặp nhất, và câu trả lời từ các chuyên gia nha khoa là: Khi trụ Implant đã tích hợp thành công và được gắn răng sứ cố định, bạn sẽ ăn nhai thoải mái và tự nhiên như răng thật. Để hiểu rõ hơn về cảm giác đau liên quan đến Implant, cần phân biệt rõ hai giai đoạn:
Giai đoạn sau phẫu thuật (1-7 ngày đầu)
- Không đau khi phẫu thuật: Trong suốt quá trình cấy ghép trụ Implant, khách hàng sẽ hoàn toàn không cảm thấy đau do đã được gây tê tại chỗ (hoặc gây mê nếu cần). Do đó bạn không cần quá lo lắng cấy ghép implant có đau khi ăn nhai không?
- Khó chịu, đau nhẹ sau phẫu thuật: Khi thuốc tê hết tác dụng (thường sau 3-4 giờ), bạn sẽ cảm thấy đau nhẹ, sưng tấy ở vùng cấy ghép. Đây là phản ứng viêm và lành thương hoàn toàn bình thường của cơ thể sau bất kỳ thủ thuật phẫu thuật nào. Cơn đau này thường được kiểm soát hiệu quả bằng thuốc giảm đau do bác sĩ kê đơn và thường giảm dần và biến mất hoàn toàn sau 3-5 ngày. Trong giai đoạn này, bạn phải tuân thủ nghiêm ngặt chế độ ăn mềm, lỏng, nguội để tránh tác động lực nhai lên vết mổ, do đó, cảm giác đau khi ăn nhai sẽ được giảm thiểu. Vì vậy, bạn đừng quá lo lắng cấy ghép Implant có đau khi ăn nhai không? Vì đây là hiện tượng hoàn toàn bình thường.

Giai đoạn ăn nhai vĩnh viễn (Sau 3-6 tháng gắn răng sứ)
Cấy ghép implant có đau khi ăn nhai không? Theo bác sĩ, giai đoạn từ 3 – 6 tháng sau khi trụ Implant đã tích hợp thành công vào xương hàm và răng sứ vĩnh viễn được gắn lên, Implant hoạt động như một chân răng sinh học hoàn chỉnh. Vì Implant không có dây thần kinh cảm giác như răng thật, nên bạn sẽ không cảm thấy đau hay ê buốt khi ăn nhai thức ăn nóng, lạnh hoặc cứng vừa phải. Khả năng ăn nhai được khôi phục đến 90-100% so với răng thật khỏe mạnh, giúp bạn thoải mái thưởng thức các món ăn yêu thích.
Tóm lại, cảm giác đau chỉ xuất hiện trong vài ngày đầu sau phẫu thuật và hoàn toàn có thể kiểm soát được. Khi đã hoàn tất quá trình phục hình, Implant mang lại cảm giác ăn nhai tự nhiên và không đau đớn.

Nguyên nhân khiến implant bị đau hoặc khó chịu khi ăn nhai
Cấy ghép Implant có đau khi ăn nhai không là lo lắng của rất nhiều khách hàng. Trên thức tế, sau khi hết thuốc tê, bạn sẽ thấy ê nhức nhẹ. Nhưng nếu cảm giác đau hoặc khó chịu khi ăn nhai kéo dài sau thời gian lành thương (sau 1-2 tuần) hoặc xuất hiện sau khi đã sử dụng Implant một thời gian dài, đó là dấu hiệu bất thường cần phải thăm khám ngay. Các nguyên nhân chính bao gồm:
Nhiễm trùng quanh Implant
Cấy ghép Implant có đau khi ăn nhai không còn tùy thuộc vào trụ implant có bị viêm nhiễm hay không. Tình trạng nhiễm trùng quanh implant là nguyên nhân phổ biến và nguy hiểm nhất gây đau nhức lâu dài.
Giống như viêm nha chu của răng thật, nhiễm trùng quanh Implant là tình trạng viêm nhiễm mô nướu và tiêu xương xung quanh trụ Implant, thường do vệ sinh răng miệng kém hoặc không được làm sạch cao răng định kỳ. Khi ăn nhai, lực tác động lên trụ Implant đang bị viêm sẽ gây đau nhức âm ỉ, sưng đỏ nướu, và có thể chảy mủ. Nếu không điều trị kịp thời, tình trạng này có thể dẫn đến tiêu xương và làm trụ Implant bị lung lay hoặc đào thải.

Răng sứ chế tác sai lệch
Nếu răng sứ được chế tác sai thông số kỹ thuật, quá cao hoặc không khớp hoàn toàn với răng đối diện và các răng bên cạnh, sẽ gây ra hiện tượng kênh khớp cắn. Khi ăn nhai, chiếc răng sứ bị kênh này sẽ chịu lực nhai quá mức, dẫn đến cảm giác đau nhẹ, khó chịu hoặc áp lực bất thường lên trụ Implant và mô xương xung quanh. Đây là vấn đề dễ dàng khắc phục bằng cách điều chỉnh lại khớp cắn. Do đó bạn không cần quá lo lắng cấy ghép Implant có đau khi ăn nhai không.
Tổn thương dây thần kinh trong quá trình cấy ghép
Trong một số trường hợp rất hiếm gặp, nếu bác sĩ thiếu kinh nghiệm hoặc không sử dụng công nghệ chẩn đoán hình ảnh hiện đại (như Cone-Beam CT), việc đặt trụ Implant có thể vô tình chạm hoặc làm tổn thương dây thần kinh nằm trong xương hàm. Điều này có thể gây ra cảm giác đau nhức kéo dài, tê bì hoặc khó chịu không thuyên giảm khi ăn nhai.
Thất bại tích hợp xương hoặc đào thải Implant
Quá trình tích hợp xương không thành công hoặc trụ Implant bị đào thải có thể xảy ra do chất lượng xương hàm kém, khách hàng có bệnh lý toàn thân (như tiểu đường không kiểm soát), hút thuốc lá nặng, hoặc do vật liệu Implant không tương thích. Khi trụ Implant không gắn chặt vào xương, nó có thể gây đau khi ăn nhai hoặc khi chạm vào, kèm theo hiện tượng lung lay và cần phải được tháo bỏ. Điều này làm không ít khách hàng lo lắng cấy ghép Implant có đau khi ăn nhai không.

Cách giảm đau và giúp ăn nhai thoải mái sau khi cấy implant
Để bạn không còn lo lắng cấy ghép implant có đau khi ăn nhai không cũng như đẩy nhanh quá trình lành thương, bạn cần thực hiện theo các hướng dẫn sau:
Giai đoạn phục hồi (1-2 tuần đầu)
- Sử dụng thuốc theo chỉ định: Uống thuốc giảm đau, kháng sinh, và chống viêm theo đúng liều lượng và thời gian bác sĩ kê đơn để kiểm soát cơn đau và ngăn ngừa nhiễm trùng. Từ đó giúp bạn an tâm hơn về vấn đề cấy ghép Implant có đau khi ăn nhai không.
- Chườm lạnh và chườm ấm:
- 24 giờ đầu: Chườm lạnh bên ngoài má tại vị trí cấy ghép (15 phút chườm, 15 phút nghỉ) để giảm sưng và đau.
- Sau 48 giờ: Chuyển sang chườm ấm để tan máu bầm và giúp giảm sưng.
- Chế độ ăn lỏng và mềm: Ăn các thức ăn loãng, mềm, nguội như súp, cháo, sữa, sinh tố trong vài ngày đầu. Tránh nhai trực tiếp vào vị trí cấy ghép.
- Vệ sinh nhẹ nhàng: Súc miệng bằng nước muối sinh lý ấm hoặc nước súc miệng chứa Chlorhexidine theo hướng dẫn của bác sĩ. Chải răng nhẹ nhàng, tránh chạm trực tiếp vào vết mổ.
Giai đoạn duy trì (Sau khi gắn răng sứ vĩnh viễn)
- Vệ sinh Implant chuyên biệt: Dùng bàn chải mềm, bàn chải kẽ hoặc chỉ nha khoa chuyên dụng để làm sạch kỹ lưỡng xung quanh trụ Implant, loại bỏ mảng bám. Từ đó ngăn ngừa tình trạng viêm nhiễm và không còn lo lắng cấy ghép Implant có đau khi ăn nhai không.
- Tái khám định kỳ: Thăm khám nha khoa và lấy cao răng định kỳ 6 tháng một lần. Điều này rất quan trọng để phát hiện và làm sạch mảng bám, cao răng quanh Implant, ngăn ngừa nhiễm trùng quanh Implant.
- Điều chỉnh khớp cắn: Nếu sau khi gắn răng sứ mà bạn cảm thấy cắn bị kênh, hãy quay lại nha khoa ngay để bác sĩ kiểm tra và điều chỉnh khớp cắn chính xác, đảm bảo lực nhai phân bố đều.
- Tránh vật quá cứng: Mặc dù Implant rất chắc chắn, nhưng vẫn nên tránh nhai các vật quá cứng như đá lạnh, xương hoặc mở nắp chai bằng răng để bảo vệ tuổi thọ của cả Implant và răng sứ.

Lời khuyên từ chuyên gia về cấy ghép Implant có đau khi ăn nhai không
Mặc dù răng implant là răng giả nhưng cũng cần được chăm sóc như răng thật. Thành công của Implant không chỉ nằm ở kỹ thuật cấy ghép mà còn ở sự duy trì và chăm sóc của bạn. Để không cần phải lo lắng cấy ghép Implant có đau khi ăn nhai không việc chọn một trung tâm nha khoa uy tín, với bác sĩ có kinh nghiệm và hệ thống máy móc hiện đại (như máy CT Cone-Beam, máng hướng dẫn phẫu thuật) sẽ đảm bảo trụ Implant được đặt đúng vị trí. Từ đó tránh tổn thương thần kinh và mạch máu, từ đó giảm thiểu đau đớn và biến chứng sau phẫu thuật.
Đừng quên tuân thủ lịch tái khám định kỳ theo chỉ định của bác sĩ. Đây là bước quan trọng để giữ cho Implant luôn sạch sẽ, ngăn chặn nhiễm trùng và đảm bảo chức năng ăn nhai trọn đời. Từ đó giúp bạn không còn lo lắng cấy ghép implant có đau khi ăn nhai không.
Giải đáp thắc mắc thường gặp về vấn đề cấy ghép Implant có đau khi ăn nhai không
Xoay quanh vấn đề cấy ghép implant có đau khi ăn nhai không, True Dental nhận được rất nhiều câu hỏi. Dưới đây là một số câu hỏi thường gặp nhất!
Sau khi cấy implant bao lâu thì ăn nhai được bình thường?
Thời gian để ăn nhai được bình thường sau cấy ghép Implant thường kéo dài từ 3 đến 6 tháng, tùy thuộc vào quá trình tích hợp xương của trụ Implant. Để an tâm hơn về vấn đề cấy ghép Implant có đau khi ăn nhai không, trong vòng 1-2 tuần đầu sau phẫu thuật, bạn chỉ nên ăn thức ăn lỏng, mềm, nguội để vết thương lành. Sau 1-2 tuần, khi cắt chỉ, bạn có thể chuyển sang ăn cơm mềm, thức ăn nấu chín kỹ, nhưng vẫn phải nhai chậm và tránh vùng cấy ghép.
Chỉ khi bác sĩ kiểm tra và xác nhận trụ Implant đã tích hợp hoàn toàn vào xương hàm và răng sứ vĩnh viễn được gắn lên, bạn mới có thể bắt đầu ăn nhai thoải mái, gần như bình thường với các thức ăn dai hoặc cứng vừa phải.

Có cần kiêng ăn gì sau cấy implant không?
Trong 2 tuần đầu sau cấy ghép, bạn cần kiêng tuyệt đối các loại thực phẩm quá cứng, quá dai như kẹo cao su, xương, khô gà, quá nóng hoặc quá lạnh như kem lạnh, nước đá, đồ cay nóng, và đặc biệt là các loại hạt nhỏ dễ mắc vào vết thương. Lý do là những thực phẩm này có thể gây tác động mạnh lên vết mổ, làm chảy máu, nhiễm trùng hoặc ảnh hưởng đến sự ổn định ban đầu của trụ Implant. Điều này cũng giúp bạn an tâm hơn về vấn đề cấy ghép Implant có đau khi ăn nhai không.
Sau khi gắn răng sứ vĩnh viễn, bạn có thể ăn nhai gần như bình thường, nhưng các chuyên gia vẫn khuyến cáo nên hạn chế tối đa việc dùng răng Implant để nhai những vật quá cứng như đá, vỏ hạt cứng, hoặc thức ăn có tính mài mòn cao để bảo vệ răng sứ và tuổi thọ của Implant.

Có thể ăn nhai bằng răng giả tạm sau khi cấy implant không?
Bên cạnh cấy ghép Implant có đau khi ăn nhai không, nhiều khách hàng cũng thắc mắc, có thể ăn nhai bằng răng giả tạm sau khi cấy implant không? Theo các chuyên gia bạn hoàn toàn có thể sử dụng răng giả tạm (thường là răng giả tháo lắp hoặc mão sứ tạm thời) ngay sau khi cấy ghép Implant để đảm bảo thẩm mỹ và hỗ trợ chức năng ăn nhai nhẹ nhàng trong thời gian chờ trụ Implant tích hợp.
Tuy nhiên, điều quan trọng là răng giả tạm này chỉ đóng vai trò che chắn và làm đẹp, tuyệt đối không được dùng để nhai các thức ăn cứng, dai hoặc tạo lực nhai mạnh. Lực nhai quá lớn truyền qua răng tạm có thể gây áp lực lên trụ Implant mới cấy, làm lung lay trụ và ảnh hưởng nghiêm trọng đến quá trình tích hợp xương, dẫn đến nguy cơ thất bại Implant cao.
Implant có bị đau lại sau một vài năm sử dụng không?
Về mặt lý thuyết, nếu Implant đã tích hợp xương thành công và được chăm sóc đúng cách sẽ không gây đau lại khi ăn nhai sau nhiều năm sử dụng, bởi bản thân trụ Titanium không có dây thần kinh cảm giác. Tuy nhiên, nếu xuất hiện cảm giác đau nhức âm ỉ hoặc khó chịu khi ăn nhai sau một thời gian dài, đó là dấu hiệu cảnh báo của một vấn đề nha khoa tiềm ẩn, phổ biến nhất là bệnh nhiễm trùng quanh Implant, hoặc do răng sứ bị kênh khớp cắn, bị nứt, vỡ.
Trong trường hợp này, bạn cần đến ngay nha khoa để kiểm tra, chụp X-quang để xác định nguyên nhân và điều trị kịp thời, bảo vệ tuổi thọ của trụ Implant. Ngoài ra, bạn cũng có thể đến gặp bác sĩ để được giải đáp chi tiết về thắc mắc cấy ghép Implant có đau khi ăn nhai không và tư vấn cách phòng ngừa hiệu quả.

Bài viết trên đã giúp bạn giải đáp thắc mắc cấy ghép implant có đau khi ăn nhai không? Trên thực tế, khi trụ implant tích hợp hoàn toàn với xương hàm, răng implant sẽ không gây đau đớn khi ăn nhai. Nếu xuất hiện cảm giác đau, có thể trụ implant đã bị viêm nhiễm và bạn cần đến gặp bác sĩ nha khoa sớm. Nếu vẫn còn bất kỳ thắc mắc nào khác về vấn đề cấy ghép Implant có đau khi ăn nhai không hãy liên hệ ngay với True Dental qua số Hotline 090.6636.456 để được bác sĩ tư vấn chi tiết nhé!


Cấy Ghép IMPLANT
Cấy ghép implant có đau khi ăn nhai không? Giải đáp từ chuyên gia
Sau khi trồng răng implant, có rất nhiều...
Cấy Ghép IMPLANT
Địa chỉ cấy ghép Implant uy tín tại TP.HCM: Top 10 nha khoa hàng đầu 2025
Với sự phát triển không ngừng của ngành...
Sức Khỏe Răng Miệng
Cách nhận biết dấu hiệu viêm lợi sớm và phương pháp điều trị hiệu quả
Phát hiện và điều trị sớm dấu hiệu...
Sức Khỏe Răng Miệng
Khám răng có ảnh hưởng đến thai kỳ không? Lời khuyên từ chuyên gia
Mang thai là một hành trình kỳ diệu...
Sức Khỏe Răng Miệng
Top địa chỉ khám sức khỏe răng miệng giá rẻ tại TP.HCM
Việc tìm kiếm một địa chỉ khám sức...
Sức Khỏe Răng Miệng
Chế độ ăn uống phòng ngừa hôi miệng: Thực phẩm nên chọn và tránh
Hôi miệng không chỉ là vấn đề về...
Tôi đang tìm 1 Nha Khoa để điều trị cho tôi, nhưng rất lo lắng và sợ gặp phải NHA TẶC hoặc bị chèo kéo.
HÃY GIÚP TÔI TƯ VẤN THẬT
HƯỚNG DẪN ĐƯỜNG ĐI