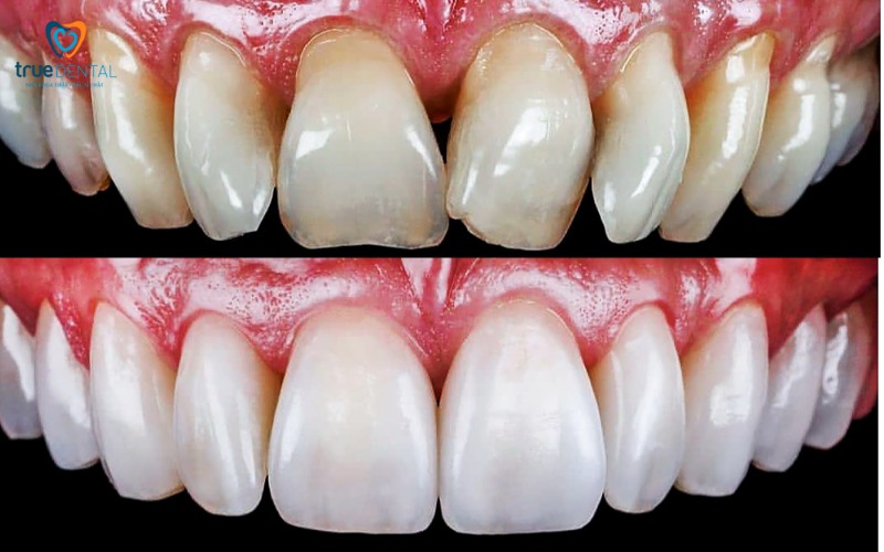
Bọc răng sứ là phương pháp giúp khắc phục tình trạng răng xỉn màu, ố vàng, hình thể răng xấu không còn quá xa lạ đối với nhiều khách hàng. Không chỉ mang đến nụ cười rạng rỡ, phương pháp này còn giúp gương mặt trở nên hài hòa và cân đối hơn. Vậy lợi ích bọc răng sứ cho khuôn mặt là gì? Cùng True Dental tìm hiểu qua bài viết dưới đây nhé!
Bọc răng sứ là gì? Bọc răng sứ ảnh hưởng đến khuôn mặt như thế nào?
Trước khi tìm hiểu lợi ích bọc răng sứ cho khuôn mặt, chúng ta cần hiểu rõ về bọc răng sứ và cơ chế của phương pháp này tác động lên cấu trúc khuôn mặt.
Để thực hiện bọc răng sứ bác sĩ sẽ mài một lớp mỏng men răng thật (gọi là cùi răng) để tạo trụ, sau đó gắn một mão sứ được chế tác riêng biệt lên trên. Mão sứ này có hình dáng, màu sắc và kích thước hoàn hảo, ôm trọn và bảo vệ cùi răng thật, đồng thời khôi phục chức năng và thẩm mỹ của răng.
Sự ảnh hưởng của bọc răng sứ lên khuôn mặt chủ yếu thông qua việc điều chỉnh và phục hồi các điểm tựa nâng đỡ mô mềm (như môi, má) và thiết lập lại khớp cắn chuẩn xác:
- Nâng đỡ môi và má: Đây là lợi ích bọc răng sứ cho khuôn mặt dế nhận biết nhất. Khi răng bị mòn, mất răng, hoặc mọc lệch vào trong, vùng môi và má có xu hướng bị hóp lại, tạo cảm giác khuôn mặt già nua và thiếu sức sống. Việc bọc răng sứ sẽ giúp phục hồi thể tích răng, giúp đẩy nhẹ và làm đầy đặn vùng môi và má, mang lại vẻ ngoài trẻ trung hơn.
- Cân bằng đường giữa khuôn mặt: Các răng cửa giữa là tâm điểm của nụ cười. Việc bọc sứ giúp điều chỉnh đường giữa răng thẳng hàng với đường giữa khuôn mặt, từ đó tạo ra sự cân đối và đối xứng hoàn hảo. Đây cũng là một trong những lợi ích bọc răng sứ cho khuôn mặt.
- Điều chỉnh khớp cắn và đường viền hàm: Trong các trường hợp răng hô, móm hoặc sai lệch khớp cắn, việc bọc răng sứ có thể can thiệp ở mức độ nhẹ để điều chỉnh hình dáng răng, từ đó giúp giảm thiểu độ gồ của môi hoặc làm đầy vùng cằm lẹm do móm. Từ đó gián tiếp cải thiện đường viền hàm và khuôn mặt.
Chính nhờ những tác động này, bọc răng sứ không chỉ làm đẹp nụ cười mà còn góp phần cải thiện đường nét khuôn mặt. Đây chính là lợi ích bọc răng sứ cho khuôn mặt.

Lợi ích bọc răng sứ cho khuôn mặt
Như đã phân tích ở trên, lợi ích của bọc răng sứ đối với khuôn mặt không chỉ dừng lại ở việc thay đổi màu sắc răng mà còn liên quan đến cả cấu trúc và sự cân đối. Dưới đây là những lợi ích bọc răng sứ cho khuôn mặt:
Mang đến giá trị thẩm mỹ cho gương mặt
Khi răng bị mòn hoặc mất đi, khoảng cách giữa cằm và mũi bị rút ngắn, gây ra nếp nhăn và rãnh cười sâu. Lợi ích bọc răng sứ cho khuôn mặt trong trường hợp này là phục hồi chiều cao tầng dưới mặt, nâng đỡ môi và má. Từ đó làm giảm độ hằn của nếp nhăn và giúp khuôn mặt trông trẻ trung, đầy sức sống hơn.
Phục hình răng và cải thiện chức năng ăn nhai
Răng sứ đặc biệt là dòng răng toàn sứ có khả năng chịu lực lên đến 1400 Mpa, cao hơn gấp nhiều lần so với răng thật. Khi răng bị sứt mẻ, sâu răng nặng,… lợi ích bọc răng sứ cho khuôn mặt trong trường hợp này không chỉ là mang đến giá trị thẩm mỹ mà còn phục hồi khả năng ăn nhai, tránh tình trạng nhai một bên dẫn đến lệch mặt.
Khắc phục tình trạng hô, móm, khấp khểnh nhẹ mà không cần phẫu thuật
Đối với những trường hợp hô hoặc móm, khấp khểnh nhẹ do răng, bọc răng sứ có thể điều chỉnh độ dày của răng, giúp giảm độ nhô của hàm trên hoặc làm hài hòa hàm dưới. Từ đó làm cho khuôn mặt trở nên thanh thoát và cân đối hơn.
Tăng sự tự tin, thu hút
Một nụ cười trắng sáng, đều đặn chính là điểm thu hút mạnh mẽ nhất trên khuôn mặt. Sự tự tin được cải thiện rõ rệt sẽ giúp người bọc răng sứ cười nhiều hơn, giao tiếp cởi mở hơn, làm tăng khí chất và sự tươi tắn tổng thể.
Nhờ những lợi ích bọc răng sứ cho khuôn mặt, phương pháp này đã trở thành lựa chọn hàng đầu của khách hàng có nhu cầu cải thiện nụ cười.

Khi nào bọc răng sứ giúp thay đổi diện mạo rõ nhất?
Mức độ thay đổi diện mạo sau khi bọc răng sứ phụ thuộc vào tình trạng ban đầu của răng. Lợi ích bọc răng sứ cho khuôn mặt sẽ dễ dàng nhận biết nhất trong các trường hợp sau:
- Răng bị mòn nặng hoặc mất răng lâu ngày: Lợi ích bọc răng sứ cho khuôn mặt trong trường hợp này mang đến sự khác biệt rõ rệt. Khi răng bị mòn, tầng dưới mặt bị hụt, khuôn mặt bị hóp. Bọc răng sứ sẽ cải thiện lại đường nét ban đầu của khuôn mặt, giúp gương mặt đầy đặn trở lại, giảm hẳn vẻ mệt mỏi, già nua.
- Răng bị lệch lạc, hô, móm mức độ nhẹ: Nếu răng khấp khểnh hoặc sai khớp cắn gây ảnh hưởng đến cấu trúc môi và đường viền hàm, việc bọc răng sứ sẽ chỉnh sửa được góc nghiêng, điều chỉnh độ nhô của môi, khiến khuôn mặt trở nên hài hòa và thanh tú hơn.
- Tình trạng răng thưa, khấp khểnh lớn: Các khoảng hở và sự khấp khểnh của răng khiến khuôn mặt thiếu đi sự cân xứng khi cười. Răng sứ sẽ lấp đầy các khoảng trống và sắp xếp lại sự đồng đều của răng, giúp nụ cười trở nên rạng rỡ hơn, làm điểm nhấn cho tổng thể gương mặt.
Nói tóm lại, lợi ích bọc răng sứ cho khuôn mặt vào các trường hợp có vấn đề về hình thể và chức năng nâng đỡ sẽ mang lại hiệu quả thay đổi diện mạo rõ rệt nhất.

Các hạn chế cần lưu ý khi bọc răng sứ để cải thiện khuôn mặt
Mặc dù lợi ích bọc răng sứ cho khuôn mặt là rất nhiều. Tuy nhiên không phải trường hợp nào cũng có thể áp dụng phương pháp này:
- Bọc răng sứ chỉ can thiệp vào phần thân răng, không thể thay đổi cấu trúc xương hàm. Đối với các trường hợp hô, móm quá mức, giải pháp tối ưu vẫn là niềng răng, phẫu thuật hàm. Bọc răng sứ chỉ có thể cải thiện hình dáng và che đi khuyết điểm ở mức độ nhất định.
- Nếu bác sĩ cố gắng điều chỉnh răng hô quá nhiều bằng cách mài cùi, có thể dẫn đến xâm lấn tủy răng, gây ê buốt, viêm tủy, làm giảm tuổi thọ của răng thật. Việc tối ưu thẩm mỹ khuôn mặt cần phải đi đôi với bảo tồn cấu trúc răng.
- Để răng sứ không chỉ đẹp mà còn hài hòa với khuôn mặt, bác sĩ phải có thẩm mỹ và chuyên môn sâu để phân tích tỉ lệ vàng của khuôn mặt, sau đó thiết kế nụ cười sao cho hài hòa với đường viền môi, nhân trung và cằm của từng người. Nếu kỹ thuật sai, răng sứ có thể quá to, quá dày, hoặc khớp cắn bị lệch, không những không cải thiện mà còn làm khuôn mặt mất cân đối.
Vì vậy, việc lựa chọn địa chỉ nha khoa uy tín là yếu tố then chốt để đảm bảo thành công và an toàn.

Quy trình bọc răng sứ để tối ưu thẩm mỹ khuôn mặt
Để tối ưu hóa lợi ích bọc răng sứ cho khuôn mặt, quy trình bọc răng sứ cần tuân thủ các bước sau:
Bước 1: Thăm khám và tư vấn
Bác sĩ tiến hành kiểm tra tổng quát, chụp X-quang, và lấy dấu hàm. Quan trọng nhất là bước phân tích thẩm mỹ khuôn mặt. Dựa trên hình dạng khuôn mặt (tròn, vuông, dài), giới tính, và tuổi tác, bác sĩ sẽ thiết kế hình dáng, kích thước và màu sắc răng sứ phù hợp nhất, đảm bảo tính hài hòa tổng thể.
Bước 2: Mài cùi răng và lấy dấu tạm
Bác sĩ thực hiện mài cùi răng theo tỉ lệ chuẩn, sau đó lắp răng tạm để bảo vệ cùi răng trong thời gian chờ chế tác răng sứ. Răng tạm cũng đóng vai trò quan trọng trong việc thử nghiệm khớp cắn và sự hài hòa của răng sứ đối với khuôn mặt.
Bước 3: Thiết kế và chế tác răng sứ (CAD/CAM)
Dữ liệu dấu hàm được gửi đến phòng Labo để chế tác răng sứ bằng công nghệ hiện đại (CAD/CAM). Mão sứ được chế tác phải đáp ứng chính xác về màu sắc, độ trong mờ, và đặc biệt là hình thể để tối ưu hóa sự nâng đỡ mô mềm khuôn mặt.
Bước 4: Lắp răng sứ và kiểm tra khớp cắn
Sau khi răng sứ hoàn thành, bác sĩ sẽ thử lắp lên cùi răng. Đây là giai đoạn quan trọng nhất để kiểm tra khớp cắn tĩnh và động. Bác sĩ sẽ điều chỉnh răng sứ để đảm bảo khi ăn nhai không bị cộm, kênh, và nụ cười hoàn toàn tự nhiên, hài hòa với khuôn mặt.
Bước 5: Gắn sứ cố định và tái khám
Khi đã đạt được sự đồng thuận về thẩm mỹ và chức năng, răng sứ sẽ được gắn cố định bằng keo nha khoa chuyên dụng. Khách hàng cần tái khám theo lịch hẹn để kiểm tra độ ổn định của phục hình.

Lựa chọn loại răng sứ phù hợp để tối ưu thẩm mỹ khuôn mặt
Việc lựa chọn loại vật liệu sứ đóng vai trò lớn trong việc đạt được kết quả thẩm mỹ tự nhiên và tối ưu hóa lợi ích bọc răng sứ cho khuôn mặt.
Răng sứ kim loại: Có độ bền tốt nhưng kém thẩm mỹ. Do có lõi kim loại nên răng sứ dễ bị đen viền nướu sau một thời gian, không phù hợp cho các răng cửa cần thẩm mỹ cao.
Răng toàn sứ: Đây là lựa chọn hàng đầu để tối ưu lợi ích bọc răng sứ cho khuôn mặt. Ưu điểm nổi bật là răng toàn sứ có thể kể đến như:
- Tính thẩm mỹ cao: Răng toàn sứ có độ trong, độ phản quang và màu sắc tự nhiên như răng thật, không bị ánh đen viền nướu.
- Tương thích sinh học tuyệt đối: Không gây kích ứng nướu, giúp nướu khỏe mạnh và không bị tụt. Từ đó bảo vệ sự hài hòa của đường viền nướu và khuôn mặt.
- Độ bền vượt trội: Khả năng chịu lực cao, đảm bảo chức năng ăn nhai và độ bền lâu dài, duy trì sự nâng đỡ ổn định cho khuôn mặt.
Đặc biệt dòng răng sứ Emax thường được chỉ định cho các răng cửa cần độ trong mờ và độ tự nhiên tối đa, rất phù hợp với những người có yêu cầu thẩm mỹ khắt khe, giúp nụ cười tỏa sáng một cách tự nhiên.

Lời khuyên của bác sĩ về lợi ích bọc răng sứ cho khuôn mặt
Để lợi ích bọc răng sứ cho khuôn mặt được duy trì lâu dài, bạn nên “bỏ túi” những lời khuyên sau của bác sĩ:
- Chăm sóc răng miệng kỹ lưỡng: Vệ sinh răng sứ như răng thật, sử dụng bàn chải lông mềm và kết hợp với chỉ nha khoa hoặc máy tăm nước để làm sạch khu vực kẽ răng và viền nướu.
- Kiểm soát chế độ ăn uống: Tránh ăn đồ quá cứng, quá dai, hoặc nhai đá để bảo vệ răng sứ khỏi bị sứt mẻ, duy trì hình dáng răng chuẩn xác để đảm bảo hiệu quả nâng đỡ khuôn mặt.
- Tái khám định kỳ: Thăm khám nha khoa 6 tháng một lần giúp bác sĩ kiểm tra độ khít sát của sứ, tình trạng nướu và kịp thời điều chỉnh nếu khớp cắn có thay đổi, đảm bảo khuôn mặt luôn giữ được sự cân đối và hài hòa sau khi bọc sứ.

Một số câu hỏi thường gặp về lợi ích bọc răng sứ cho khuôn mặt
Xoay quanh lợi ích bọc răng sứ cho khuôn mặt, True Dental nhận được rất nhiều câu hỏi. Dưới đây là một số câu hỏi thường gặp nhất:
Bọc răng sứ có làm mặt nhỏ lại không?
Khi tìm hiểu lợi ích bọc răng sứ cho khuôn mặt, có rất nhiều khách hàng thắc mắc: Bọc răng sứ có làm mặt nhỏ lại không? Bọc răng sứ không có khả năng làm mặt nhỏ lại theo nghĩa thay đổi cấu trúc xương hàm. Tuy nhiên, trong một số trường hợp, nếu răng ban đầu bị hô, mọc chìa ra ngoài hoặc có hình dáng quá to, việc bọc sứ sẽ giúp điều chỉnh hình thể răng, làm chúng thẳng hàng và thon gọn hơn.
Điều này giúp giảm độ gồ của môi và hàm nhìn từ góc nghiêng, tạo ra cảm giác khuôn mặt trông thanh thoát hơn và có chiều sâu hơn so với trước. Sự thay đổi về góc nhìn này có thể khiến nhiều người lầm tưởng là mặt đã nhỏ lại. Hiệu ứng này rõ rệt nhất khi nhìn nghiêng hoặc khi cười.
Răng sứ có làm môi dày hơn không?
Răng sứ có thể làm môi trông đầy đặn hơn một cách gián tiếp, nhưng không làm môi dày lên về mặt giải phẫu. Cơ chế của việc này là do răng sứ đã phục hồi thể tích răng bị thiếu hụt và cung cấp điểm tựa vững chắc hơn cho các mô mềm xung quanh.
Khi các răng cửa được phục hình chuẩn xác và có độ nhô vừa phải sẽ đẩy nhẹ môi ra phía trước một cách tự nhiên. Kết quả là, vùng môi không còn bị hóp vào, trông đầy đặn, tươi tắn và trẻ trung hơn, đặc biệt là đối với những người có dấu hiệu lão hóa hoặc mất răng. Đây là một trong những lợi ích bọc răng sứ cho khuôn mặt.

Nếu bọc sứ sai kỹ thuật có làm mặt bị lệch không?
Bọc sứ sai kỹ thuật có nguy cơ làm khuôn mặt bị mất cân đối hoặc lệch. Hậu quả nghiêm trọng nhất là sai lệch khớp cắn. Nếu răng sứ được lắp quá cao, lực nhai sẽ bị tập trung không đều, gây ra đau khớp thái dương hàm. Tình trạng này có thể khiến khách hàng có thói nhai một bên để tránh điểm đau, dẫn đến phì đại cơ cắn ở một bên má, làm cho khuôn mặt trông bị lệch rõ rệt. Ngoài ra, việc thiết kế răng sứ không đối xứng hai bên cũng trực tiếp phá vỡ sự cân bằng thẩm mỹ của nụ cười và khuôn mặt.
Lợi ích bọc răng sứ cho khuôn mặt có thể dễ dàng nhận thấy từ việc cải thiện các khuyết điểm nụ cười đến việc giúp đường nét gương mặt trở nên cân đối hơn. Tuy nhiên, để đạt được những lợi ích này một cách an toàn, việc lựa chọn đúng nha khoa và bác sĩ chuyên môn cao là yếu tố quyết định. True Dental là một trong những địa chỉ bọc răng sứ uy tín được rất nhiều khách hàng tin chọn. Nếu bạn đang có nhu cầu bọc răng sứ đừng ngần ngại liên hệ với True Dental qua số Hotline 090.6636.456 để được bác sĩ True Dental tư vấn chi tiết nhé!


Cấy Ghép IMPLANT
So sánh trụ Implant Titanium và Zirconia: Nên chọn loại nào cho cấy ghép?
Cấy ghép Implant là giải pháp phục hình...
Sức Khỏe Răng Miệng
Khám răng cho người bị tiểu đường: Lưu ý quan trọng để tránh biến chứng
Bệnh tiểu đường hay còn gọi là đái...
Sức Khỏe Răng Miệng
Thời gian cạo vôi răng định kỳ: Bao lâu 1 lần và lợi ích sức khỏe
Vôi răng (hay còn gọi là cao răng)...
Răng Sứ Thẩm Mỹ
Bọc răng sứ có đau khi ăn không? Giải đáp và cách giảm ê buốt
Bọc răng sứ có đau khi ăn không?...
Răng Sứ Thẩm Mỹ
Lợi ích bọc răng sứ cho khuôn mặt: Thẩm mỹ và sức khỏe vượt trội
Bọc răng sứ là phương pháp giúp khắc...
Răng Sứ Thẩm Mỹ
So sánh bọc răng sứ và dán veneer: Phương pháp nào phù hợp hơn?
Để khắc phục tình trạng răng ố vàng,...
Tôi đang tìm 1 Nha Khoa để điều trị cho tôi, nhưng rất lo lắng và sợ gặp phải NHA TẶC hoặc bị chèo kéo.
HÃY GIÚP TÔI TƯ VẤN THẬT
HƯỚNG DẪN ĐƯỜNG ĐI