Bạn có biết rằng việc chăm sóc răng miệng không chỉ dừng lại ở việc đánh răng hàng ngày? Để duy trì một nụ cười khỏe mạnh và rạng rỡ, việc khám răng định kỳ hàng tháng đóng vai trò vô cùng quan trọng. Tuy nhiên, nhiều người vẫn còn băn khoăn về sự cần thiết của việc này và các lợi ích khám răng định kỳ hàng tháng mang lại. Trong bài viết này, True Dental sẽ giúp bạn hiểu rõ hơn về tầm quan trọng của thói quen tốt này.
Khám răng định kỳ hàng tháng là gì?
Khám răng định kỳ hàng tháng là việc thăm khám nha khoa theo lịch trình đều đặn mỗi tháng một lần tại nha khoa. Trong buổi khám, bác sĩ sẽ kiểm tra tổng quát tình trạng răng, nướu và khoang miệng của bạn.
Ngoài ra, việc vệ sinh chuyên sâu như lấy cao răng cũng thường được thực hiện để loại bỏ mảng bám, vi khuẩn mà bàn chải thông thường không thể làm sạch. Điều này giúp ngăn ngừa các bệnh lý răng miệng ngay từ giai đoạn khởi phát. Đồng thời phát hiện các dấu hiệu bất thường giúp bác sĩ lên phác đồ điều trị hiệu quả. Lợi ích khám răng định kỳ hàng tháng không chỉ giúp bạn bảo vệ sức khỏe răng miệng mà còn tiết kiệm được chi phí.

Lợi ích khám răng định kỳ hàng tháng
Lợi ích khám răng định kỳ hàng tháng không chỉ gói gọn trong việc có một hàm răng trắng sáng. Việc này còn mang lại nhiều giá trị to lớn cho sức khỏe tổng thể. Dưới đây là những lợi ích cụ thể mà bạn nên biết.
Phát hiện sớm và xử lý kịp thời bệnh lý răng miệng
Các bệnh lý răng miệng như sâu răng, viêm nướu, hay viêm nha chu thường diễn tiến âm thầm ở giai đoạn đầu. Nếu không được phát hiện sớm, có thể gây ra những tổn thương nghiêm trọng. Lợi ích khám răng định kỳ hàng tháng chính là giúp bác sĩ phát hiện kịp thời các dấu hiệu bất thường này, từ đó đưa ra phương án điều trị nhanh chóng và hiệu quả, ngăn chặn bệnh phát triển nặng hơn.
Trong giai đoạn đầu, rất nhiều bệnh lý răng miệng không có triệu chứng rõ ràng nên rất dễ bị bỏ qua, khi thăm khám định kỳ, bạn sẽ được kiểm tra tình trạng răng, chụp phim X – Quang. Từ đó, bác sĩ sẽ đưa ra chẩn đoán và phương pháp điều trị chính xác.

Ngăn ngừa biến chứng nguy hiểm
Các bệnh lý răng miệng không được điều trị kịp thời, có thể dẫn đến những biến chứng nguy hiểm không chỉ cho răng mà còn ảnh hưởng đến sức khỏe toàn thân. Ví dụ, viêm nha chu nặng có thể làm lung lay và mất răng. Từ đó làm suy giảm khả năng ăn nhai, gây ra các bệnh về đường tiêu hóa, trào ngược dạ dày.
Nghiêm trọng hơn, các vi khuẩn từ khoang miệng có thể xâm nhập vào máu và gây ra các bệnh lý tim mạch, tiểu đường hoặc các vấn đề về đường hô hấp. Do đó, việc khám răng định kỳ sẽ giúp bác sĩ đánh giá được sức khỏe răng miệng cũng như sức khỏe toàn thân. Như vậy, lợi ích khám răng định kỳ hàng tháng giúp bạn loại bỏ nguy cơ này, bảo vệ sức khỏe tổng thể.
Hỗ trợ các quá trình điều trị nha khoa
Đối với những người đang thực hiện các quá trình điều trị nha khoa chuyên sâu như niềng răng, cấy ghép implant hay bọc răng sứ, việc khám răng định kỳ hàng tháng lại càng cần thiết. Bác sĩ sẽ theo dõi sát sao tiến độ điều trị, điều chỉnh nếu cần và đảm bảo quá trình diễn ra đúng kế hoạch. Lợi ích khám răng định kỳ hàng tháng đối với các quá trình điều trị nha khoa là giúp tối ưu hóa kết quả và tránh những rủi ro không đáng có.

Tiết kiệm chi phí lâu dài
Nhiều người e ngại chi phí khi phải đi khám răng thường xuyên. Tuy nhiên, lợi ích khám răng định kỳ hàng tháng lại nằm ở việc tiết kiệm chi phí về lâu dài. Việc phát hiện và điều trị sớm một lỗ sâu nhỏ sẽ rẻ hơn rất nhiều so với việc phải điều trị tủy răng hay nhổ răng. Hơn nữa, việc vệ sinh định kỳ giúp giảm thiểu nguy cơ mắc các bệnh lý phức tạp, tránh được những ca điều trị tốn kém về sau.
Ai nên đi khám răng hàng tháng?
Mặc dù, lợi ích khám răng định kỳ hàng tháng là rất lớn, tuy nhiên không phải ai cũng cần thực hiện với tần suất này. Việc thăm khám hàng tháng đặc biệt quan trọng đối với các trường hợp:
- Trẻ em đang trong giai đoạn phát triển răng.
- Người đang niềng răng hoặc sử dụng các khí cụ chỉnh nha.
- Người có tiền sử hoặc đang mắc các bệnh lý răng miệng mãn tính như viêm nha chu.
- Người có cơ địa dễ bị sâu răng hoặc tích tụ cao răng nhanh.
Đối với những người có sức khỏe răng miệng ổn định, việc khám định kỳ 3-6 tháng/lần là đủ. Tuy nhiên, nếu bạn thuộc một trong các trường hợp trên, việc duy trì khám răng định kỳ hàng tháng là vô cùng cần thiết.

Quy trình khám răng định kỳ hàng tháng
Một buổi khám răng định kỳ hàng tháng thường diễn ra theo các bước sau. Thực hiện đúng quy trình sẽ tối ưu lợi ích khám răng định kỳ hàng tháng
- Kiểm tra tổng quát: Bác sĩ sẽ quan sát bằng mắt thường và sử dụng các dụng cụ chuyên dụng để kiểm tra tổng quát tình trạng răng, nướu và các mô mềm trong khoang miệng.
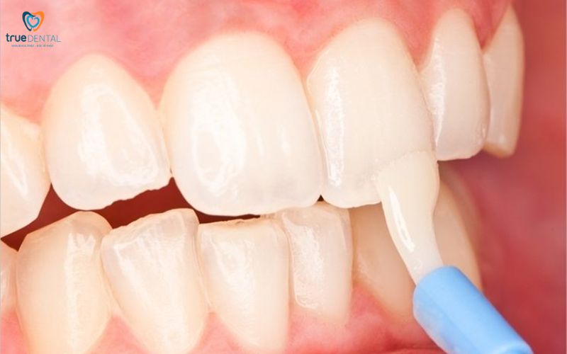
- Lấy cao răng: Sử dụng máy siêu âm để làm sạch mảng bám, cao răng trên và dưới nướu.
- Đánh bóng răng: Giúp loại bỏ các mảng bám còn sót lại và làm bề mặt răng trở nên trơn láng hơn, hạn chế việc tích tụ mảng bám mới.
- Tư vấn và dặn dò: Bác sĩ sẽ đưa ra lời khuyên về cách chăm sóc răng miệng tại nhà, chế độ ăn uống và hẹn lịch tái khám tiếp theo.
Xem thêm:
Rủi ro viêm nướu ở người hút thuốc thường xuyên

Chi phí khám răng định kỳ hàng tháng và bảng giá tham khảo
Một trong những câu hỏi thường gặp nhất khi nhắc đến lợi ích khám răng định kỳ hàng tháng chính là vấn đề chi phí. Nhiều người lo lắng rằng việc thăm khám thường xuyên sẽ gây tốn kém không cần thiết. Tuy nhiên, khi hiểu rõ bảng giá các dịch vụ nha khoa cơ bản và so sánh với chi phí điều trị các bệnh lý phức tạp, bạn sẽ nhận ra rằng đây thực sự là khoản đầu tư hiệu quả cho sức khỏe răng miệng dài lâu.
Bảng giá khám răng định kỳ hàng tháng tại các phòng khám nha khoa
Chi phí cho một buổi khám răng định kỳ hàng tháng thường bao gồm các hạng mục cơ bản như thăm khám tổng quát, vệ sinh răng miệng chuyên sâu và tư vấn chăm sóc. Việc nắm rõ mức giá này sẽ giúp bạn chủ động lên kế hoạch tài chính cho lợi ích khám răng định kỳ hàng tháng một cách hợp lý nhất.
Lưu ý: Bảng giá dưới đây chỉ mang tính chất tham khảo. Chi phí thực tế có thể thay đổi tùy thuộc vào từng phòng khám, vị trí địa lý và tình trạng răng miệng của mỗi người.
Bảng giá tham khảo các dịch vụ khám răng định kỳ:
| Hạng mục dịch vụ | Mức giá tham khảo | Ghi chú |
|---|---|---|
| Khám tổng quát răng miệng | 100.000 – 200.000đ | Bao gồm thăm khám và tư vấn |
| Lấy cao răng cơ bản | 300.000 – 500.000đ | Làm sạch cao răng trên và dưới nướu |
| Đánh bóng răng | 100.000 – 200.000đ | Thường đi kèm với lấy cao răng |
| Chụp phim X-quang răng | 150.000 – 300.000đ | Khi cần chẩn đoán chi tiết |
| Bôi Fluoride chống sâu răng | 200.000 – 400.000đ | Tùy vào tình trạng răng |
| Tổng chi phí trung bình | 500.000 – 800.000đ | Cho một lần khám đầy đủ |
Như vậy, với chi phí trung bình từ 500.000 đến 800.000 đồng cho một buổi khám răng định kỳ hàng tháng đầy đủ, bạn không chỉ được chăm sóc sức khỏe răng miệng toàn diện mà còn phòng ngừa được những chi phí điều trị tốn kém hơn nhiều trong tương lai. Đây chính là một trong những lợi ích khám răng định kỳ hàng tháng mà rất nhiều người vẫn chưa nhận thức đầy đủ.
So sánh chi phí khám định kỳ và chi phí điều trị bệnh lý
Để thấy rõ hơn lợi ích khám răng định kỳ hàng tháng về mặt tài chính, chúng ta hãy so sánh chi phí phòng ngừa với chi phí điều trị khi các bệnh lý răng miệng đã phát triển nghiêm trọng. Sự khác biệt về mức độ tốn kém sẽ khiến bạn hiểu tại sao việc đầu tư vào khám định kỳ lại quan trọng đến vậy.
Bảng so sánh chi phí (giá tham khảo):
| Tình trạng răng miệng | Chi phí phòng ngừa | Chi phí điều trị |
|---|---|---|
| Sâu răng giai đoạn đầu | 500.000 – 800.000đ/tháng (khám định kỳ) | 300.000 – 500.000đ (trám răng đơn giản) |
| Sâu răng sâu đến tủy | 500.000 – 800.000đ/tháng (khám định kỳ) | 3.000.000 – 5.000.000đ (điều trị tủy + phục hồi) |
| Viêm nướu nhẹ | 500.000 – 800.000đ/tháng (khám định kỳ) | 1.000.000 – 2.000.000đ (điều trị viêm nướu) |
| Viêm nha chu nghiêm trọng | 500.000 – 800.000đ/tháng (khám định kỳ) | 10.000.000 – 20.000.000đ (điều trị nha chu sâu) |
| Mất răng cần cấy ghép | 500.000 – 800.000đ/tháng (khám định kỳ) | 20.000.000 – 50.000.000đ (cấy ghép implant) |
Từ bảng so sánh trên, chúng ta có thể thấy rõ ràng rằng việc đầu tư khoảng 6 đến 10 triệu đồng mỗi năm cho khám răng định kỳ hàng tháng sẽ giúp bạn tránh được những khoản chi phí điều trị lên đến hàng chục triệu đồng trong tương lai. Đây chính là lợi ích khám răng định kỳ hàng tháng mà mọi người cần nhận thức để có những quyết định đúng đắn cho sức khỏe răng miệng của mình.
Các gói khám răng định kỳ tiết kiệm tại True Dental
Hiểu được tầm quan trọng của lợi ích khám răng định kỳ hàng tháng cũng như mong muốn giúp khách hàng tiết kiệm chi phí, True Dental đã thiết kế các gói dịch vụ khám răng định kỳ với mức giá ưu đãi đặc biệt. Các gói dịch vụ này không chỉ giúp bạn duy trì sức khỏe răng miệng tốt nhất mà còn mang lại giá trị kinh tế cao so với việc khám lẻ từng lần.
Gói khám răng định kỳ cơ bản:
- Bao gồm: Khám tổng quát, lấy cao răng, đánh bóng răng
- Tần suất: Mỗi tháng một lần trong vòng 6 tháng
- Giá tham khảo: Tiết kiệm 15-20% so với giá khám lẻ
- Phù hợp: Người có sức khỏe răng miệng ổn định
Gói khám răng định kỳ nâng cao:
- Bao gồm: Khám tổng quát, lấy cao răng, đánh bóng răng, chụp phim X-quang, bôi Fluoride
- Tần suất: Mỗi tháng một lần trong vòng 6 tháng
- Giá tham khảo: Tiết kiệm 20-25% so với giá khám lẻ
- Phù hợp: Người dễ bị sâu răng, viêm nướu hoặc có tiền sử bệnh lý răng miệng
Gói khám răng định kỳ cho trẻ em:
- Bao gồm: Khám tổng quát, vệ sinh răng miệng cho trẻ, bôi Fluoride, tư vấn chăm sóc
- Tần suất: Mỗi tháng một lần trong vòng 6 tháng
- Giá tham khảo: Ưu đãi đặc biệt dành cho bé
- Phù hợp: Trẻ em từ 3 tuổi trở lên
Việc đăng ký các gói khám răng định kỳ tại True Dental không chỉ giúp bạn tối ưu hóa lợi ích khám răng định kỳ hàng tháng mà còn mang lại sự yên tâm tuyệt đối về chất lượng dịch vụ. Đội ngũ bác sĩ nha khoa giàu kinh nghiệm cùng trang thiết bị hiện đại sẽ đảm bảo mỗi buổi thăm khám đều mang lại hiệu quả cao nhất cho sức khỏe răng miệng của bạn.
Lợi ích khám răng định kỳ hàng tháng cho từng đối tượng cụ thể
Mỗi nhóm đối tượng có những đặc điểm và nhu cầu chăm sóc răng miệng riêng biệt. Việc hiểu rõ lợi ích khám răng định kỳ hàng tháng dành cho từng đối tượng sẽ giúp bạn và gia đình có những lựa chọn chăm sóc phù hợp nhất, từ đó tối ưu hóa sức khỏe răng miệng cho mọi thành viên.
Lợi ích khám răng định kỳ hàng tháng đối với trẻ em và thanh thiếu niên
Giai đoạn từ lúc mọc răng sữa đến khi hoàn tất răng vĩnh viễn là thời kỳ vô cùng quan trọng đối với sức khỏe răng miệng của trẻ. Lợi ích khám răng định kỳ hàng tháng trong giai đoạn này không chỉ giúp phát hiện sớm các vấn đề mà còn tạo nền tảng cho một hàm răng khỏe mạnh suốt đời.
Theo dõi sự phát triển răng miệng:
Trẻ em trải qua quá trình thay răng sữa sang răng vĩnh viễn từ khoảng 6 tuổi đến 12 tuổi. Trong thời gian này, việc khám răng định kỳ hàng tháng giúp bác sĩ theo dõi chặt chẽ quá trình mọc răng, phát hiện sớm các vấn đề như răng mọc lệch, răng mọc chen chúc hay răng sữa không tự rụng. Nhờ đó, can thiệp kịp thời để tránh những biến chứng về sau, giúp trẻ có được hàm răng đều và đẹp tự nhiên.
Phòng ngừa sâu răng hiệu quả:
Trẻ em thường có xu hướng ăn nhiều đồ ngọt và chưa có kỹ năng vệ sinh răng miệng đúng cách, khiến nguy cơ sâu răng ở trẻ rất cao. Lợi ích khám răng định kỳ hàng tháng đối với trẻ em là bác sĩ có thể thường xuyên làm sạch mảng bám, bôi Fluoride để tăng cường độ cứng men răng, và hướng dẫn kỹ thuật đánh răng đúng cách cho cả trẻ và phụ huynh. Việc phát hiện sớm các lỗ sâu nhỏ giúp điều trị nhanh chóng, tránh tình trạng đau nhức và ảnh hưởng đến quá trình ăn uống của trẻ.
Xây dựng thói quen chăm sóc răng miệng từ nhỏ:
Việc thường xuyên đến nha khoa sẽ giúp trẻ quen dần với môi trường phòng khám, giảm bớt nỗi sợ hãi và xây dựng thói quen chăm sóc răng miệng tốt ngay từ nhỏ. Lợi ích khám răng định kỳ hàng tháng về mặt tâm lý này rất quan trọng, giúp trẻ hiểu được tầm quan trọng của việc giữ gìn sức khỏe răng miệng và duy trì thói quen tốt này khi trưởng thành.
Lợi ích khám răng định kỳ hàng tháng đối với người lớn tuổi
Khi tuổi tác tăng lên, sức khỏe răng miệng cũng dễ gặp nhiều vấn đề hơn do quá trình lão hóa tự nhiên, sự tích tụ của các tổn thương theo thời gian và các bệnh lý mãn tính. Lợi ích khám răng định kỳ hàng tháng đối với người cao tuổi mang ý nghĩa rất lớn trong việc duy trì chất lượng cuộc sống.
Phát hiện và kiểm soát bệnh nha chu:
Người lớn tuổi có nguy cơ mắc bệnh nha chu cao hơn, đây là nguyên nhân chính dẫn đến tình trạng lung lay và mất răng ở tuổi già. Viêm nha chu diễn tiến âm thầm và có thể gây tổn thương nghiêm trọng trước khi có triệu chứng đau rõ ràng. Lợi ích khám răng định kỳ hàng tháng giúp bác sĩ phát hiện sớm các dấu hiệu viêm nha chu như chảy máu nướu, túi nha chu, hay tiêu xương hàm qua phim X-quang, từ đó có biện pháp điều trị và kiểm soát kịp thời để bảo tồn răng thật.
Chăm sóc răng giả và implant:
Nhiều người cao tuổi đã thực hiện các phương pháp phục hồi răng như hàm giả tháo lắp, cầu răng hay implant. Những cấu trúc này cần được kiểm tra và vệ sinh định kỳ để đảm bảo hoạt động tốt và tránh các biến chứng. Lợi ích khám răng định kỳ hàng tháng đối với nhóm đối tượng này là bác sĩ có thể kiểm tra độ ổn định của răng giả, làm sạch khu vực khó tiếp cận và điều chỉnh nếu cần thiết để duy trì chức năng ăn nhai tốt nhất.
Phát hiện sớm các bệnh lý nguy hiểm:
Người cao tuổi có nguy cơ cao hơn với các bệnh lý nghiêm trọng trong khoang miệng như loét miệng mãn tính, tổn thương niêm mạc, hay thậm chí là ung thư khoang miệng. Việc khám răng định kỳ hàng tháng giúp bác sĩ có cơ hội kiểm tra toàn bộ khoang miệng, phát hiện những dấu hiệu bất thường như vết loét không lành, mảng trắng, hay khối u, từ đó chuyển đến bác sĩ chuyên khoa để chẩn đoán và điều trị sớm nhất. Đây là lợi ích khám răng định kỳ hàng tháng có thể cứu sống bệnh nhân.
Lợi ích khám răng định kỳ hàng tháng đối với phụ nữ mang thai
Thời kỳ mang thai là giai đoạn đặc biệt khi cơ thể người phụ nữ trải qua nhiều thay đổi về hormone, ảnh hưởng không nhỏ đến sức khỏe răng miệng. Lợi ích khám răng định kỳ hàng tháng trong thai kỳ không chỉ bảo vệ sức khỏe của mẹ mà còn đảm bảo sự phát triển tốt nhất cho thai nhi.
Kiểm soát viêm nướu thai kỳ:
Do sự thay đổi hormone, nhiều phụ nữ mang thai gặp tình trạng viêm nướu thai kỳ với các biểu hiện như nướu sưng, đỏ, chảy máu dễ dàng khi đánh răng. Nếu không được kiểm soát, viêm nướu có thể tiến triển thành viêm nha chu và ảnh hưởng đến thai kỳ. Lợi ích khám răng định kỳ hàng tháng giúp bác sĩ theo dõi tình trạng nướu, làm sạch mảng bám và hướng dẫn chăm sóc phù hợp để kiểm soát viêm nhiễm.
Phòng ngừa các biến chứng thai kỳ:
Nghiên cứu cho thấy bệnh nha chu ở mẹ bầu có liên quan đến nguy cơ sinh non, trẻ nhẹ cân và tiền sản giật. Vi khuẩn từ khoang miệng có thể xâm nhập vào máu và ảnh hưởng đến thai nhi. Lợi ích khám răng định kỳ hàng tháng trong thai kỳ giúp duy trì môi trường khoang miệng sạch sẽ, giảm thiểu vi khuẩn có hại, từ đó bảo vệ sức khỏe của cả mẹ và bé.
Tư vấn chăm sóc răng miệng an toàn:
Mỗi giai đoạn thai kỳ có những đặc thù riêng về chăm sóc răng miệng. Ví dụ, ba tháng đầu nên hạn chế các can thiệp phức tạp, còn ba tháng giữa là thời điểm lý tưởng nhất để điều trị nha khoa nếu cần. Lợi ích khám răng định kỳ hàng tháng là bác sĩ có thể tư vấn cụ thể về những việc nên và không nên làm, loại kem đánh răng phù hợp, cách giảm nghẹn khi đánh răng trong giai đoạn ốm nghén, đảm bảo an toàn tuyệt đối cho cả mẹ và bé.
Lợi ích khám răng định kỳ hàng tháng đối với người mắc bệnh mãn tính
Những người mắc các bệnh lý mãn tính như tiểu đường, bệnh tim mạch, bệnh thận, hay các bệnh về hệ miễn dịch đều có nguy cơ cao hơn với các vấn đề về răng miệng. Lợi ích khám răng định kỳ hàng tháng đối với nhóm đối tượng này là vô cùng quan trọng để quản lý sức khỏe tổng thể.
Quản lý mối liên hệ giữa bệnh tiểu đường và sức khỏe răng miệng:
Bệnh nhân tiểu đường có nguy cơ mắc bệnh nha chu cao gấp 2-3 lần so với người bình thường, và ngược lại, viêm nha chu cũng làm khó kiểm soát đường huyết. Đây là mối quan hệ hai chiều mà lợi ích khám răng định kỳ hàng tháng có thể giải quyết hiệu quả. Bác sĩ nha khoa sẽ phối hợp với bác sĩ nội tiết để kiểm soát cả hai tình trạng, giúp làm sạch vi khuẩn trong miệng, giảm viêm nhiễm và hỗ trợ kiểm soát đường huyết tốt hơn.
Bảo vệ tim mạch thông qua sức khỏe răng miệng:
Vi khuẩn từ bệnh nha chu có thể di chuyển vào máu và gây viêm lớp nội mạc tim, một biến chứng nguy hiểm đối với người có bệnh lý tim mạch. Lợi ích khám răng định kỳ hàng tháng là giảm thiểu nguồn vi khuẩn trong miệng, giảm nguy cơ nhiễm trùng huyết và các biến chứng tim mạch. Đặc biệt với những người có van tim nhân tạo hay đã từng phẫu thuật tim, việc duy trì vệ sinh răng miệng nghiêm ngặt là điều bắt buộc.
Chăm sóc răng miệng khi dùng thuốc ức chế miễn dịch:
Bệnh nhân sau ghép tạng, mắc bệnh tự miễn hay đang hóa trị thường phải dùng thuốc ức chế hệ miễn dịch, khiến họ dễ bị nhiễm trùng khoang miệng hơn. Lợi ích khám răng định kỳ hàng tháng đối với nhóm này là bác sĩ có thể phát hiện sớm các dấu hiệu nhiễm nấm, loét miệng, hay nhiễm trùng răng để xử lý kịp thời, tránh các biến chứng nguy hiểm có thể đe dọa tính mạng.
Lợi ích khám răng định kỳ hàng tháng đối với người đang điều trị chỉnh nha
Người đang niềng răng thuộc nhóm cần khám răng định kỳ hàng tháng nhiều nhất vì có nhiều lý do quan trọng liên quan đến hiệu quả điều trị và sức khỏe răng miệng trong quá trình chỉnh nha.
Theo dõi tiến độ di chuyển răng:
Mỗi tháng, bác sĩ cần kiểm tra xem răng đã di chuyển theo đúng kế hoạch hay chưa, từ đó điều chỉnh lực tác động của dây cung hoặc khay niềng trong. Lợi ích khám răng định kỳ hàng tháng trong quá trình niềng răng giúp đảm bảo răng di chuyển đúng hướng, tránh tình trạng răng di chuyển sai vị trí hay quá trình điều trị kéo dài không cần thiết.
Vệ sinh răng miệng chuyên sâu:
Mắc cài và dây cung tạo ra nhiều ngóc ngách khó vệ sinh, dễ tích tụ thức ăn và mảng bám, làm tăng nguy cơ sâu răng và viêm nướu. Lợi ích khám răng định kỳ hàng tháng là bác sĩ sẽ làm sạch kỹ lưỡng những vùng khó tiếp cận này bằng các dụng cụ chuyên dụng, đảm bảo răng miệng luôn sạch sẽ trong suốt quá trình niềng răng, tránh tình trạng có hàm răng đều nhưng lại đầy vết sâu khi tháo niềng.
Phát hiện và xử lý các vấn đề kịp thời:
Trong quá trình niềng răng có thể xảy ra nhiều vấn đề như mắc cài bị bong, dây cung đâm vào má, hoặc dấu hiệu hấp thụ chân răng. Lợi ích khám răng định kỳ hàng tháng giúp phát hiện và xử lý ngay các vấn đề này, tránh gây đau đớn, tổn thương niêm mạc hoặc ảnh hưởng đến kết quả điều trị cuối cùng.
Dấu hiệu cần khám răng định kỳ hàng tháng ngay lập tức
Trong khi việc duy trì lịch khám răng định kỳ hàng tháng là điều nên làm, có một số dấu hiệu cảnh báo mà bạn cần chú ý để đến nha khoa ngay cả khi chưa đến lịch hẹn. Việc nhận biết sớm những tín hiệu này và tận dụng lợi ích khám răng định kỳ hàng tháng sẽ giúp bạn tránh được những biến chứng nghiêm trọng.
Các triệu chứng về nướu cần khám ngay
Nướu chảy máu thường xuyên:
Nếu bạn thấy nướu chảy máu mỗi khi đánh răng hoặc dùng chỉ nha khoa, đây là dấu hiệu cảnh báo sớm của bệnh nha chu. Trong điều kiện khỏe mạnh, nướu không nên chảy máu chỉ vì đánh răng nhẹ nhàng. Lợi ích khám răng định kỳ hàng tháng trong trường hợp này là bác sĩ có thể đánh giá mức độ nghiêm trọng của viêm nướu và đưa ra phương án điều trị kịp thời trước khi tình trạng tiến triển thành viêm nha chu mãn tính.
Nướu sưng, đỏ và đau:
Nướu khỏe mạnh có màu hồng nhạt và không sưng phồng. Nếu bạn nhận thấy nướu có màu đỏ sẫm, sưng lên và đau khi chạm vào, đây là dấu hiệu của viêm nhiễm cần được xử lý ngay. Việc đến khám răng định kỳ hàng tháng sẽ giúp bác sĩ làm sạch vi khuẩn gây viêm, kê đơn thuốc nếu cần và hướng dẫn chăm sóc để nướu mau lành.
Nướu tụt lộ chân răng:
Khi nướu tụt, chân răng sẽ lộ ra khiến răng trông dài hơn bình thường và rất nhạy cảm với nhiệt độ. Đây là dấu hiệu của bệnh nha chu đã ở giai đoạn tiến triển. Lợi ích khám răng định kỳ hàng tháng trong trường hợp này là bác sĩ có thể đánh giá xem có thể cải thiện tình trạng nướu tụt hay không, đồng thời ngăn chặn tình trạng xấu đi và có nguy cơ mất răng.
Mủ hoặc dịch tiết ra từ nướu:
Nếu bạn thấy có chất dịch màu vàng hoặc trắng tiết ra từ rãnh nướu, đây là dấu hiệu của nhiễm trùng nghiêm trọng. Tình trạng này có thể dẫn đến áp xe nướu và lan rộng nếu không được điều trị. Việc tận dụng lợi ích khám răng định kỳ hàng tháng sẽ giúp phát hiện và xử lý tình trạng nhiễm trùng này trước khi nó gây ra những tổn thương không thể phục hồi.
Các triệu chứng về răng cần chú ý
Đau răng dai dẳng hoặc nhói từng cơn:
Đau răng là tín hiệu rõ ràng nhất cho thấy có vấn đề với răng của bạn. Có thể là sâu răng đã sâu vào tủy, răng bị nứt, hoặc viêm quanh chóp răng. Lợi ích khám răng định kỳ hàng tháng là phát hiện các vấn đề này ngay từ giai đoạn chưa có triệu chứng đau, nhưng nếu đã đau thì cần đến nha khoa ngay để tránh tình trạng lan rộng nhiễm trùng.
Răng nhạy cảm với nhiệt độ:
Nếu bạn cảm thấy nhói buốt khi ăn đồ lạnh, nóng, ngọt hoặc chua, có thể men răng đã bị mòn hoặc nướu tụt lộ ngà răng. Tình trạng này có thể tiến triển nhanh nếu không được xử lý. Việc khám răng định kỳ hàng tháng giúp bác sĩ bôi phủ các chất làm giảm độ nhạy cảm và tư vấn cách chăm sóc để ngăn chặn tình trạng xấu đi.
Răng lung lay:
Răng vĩnh viễn không bao giờ nên lung lay. Nếu bạn cảm thấy răng lung lay dù chỉ một chút, đây là dấu hiệu nghiêm trọng của bệnh nha chu hoặc chấn thương. Lợi ích khám răng định kỳ hàng tháng trong trường hợp này là bác sĩ có thể đánh giá khả năng bảo tồn răng và đưa ra phương án điều trị kịp thời để tránh mất răng.
Răng thay đổi màu sắc:
Răng bị đổi màu xám, nâu hoặc đen có thể là dấu hiệu của răng chết, tủy răng bị hoại tử, hoặc chấn thương cũ chưa được xử lý. Việc khám răng định kỳ hàng tháng sẽ giúp phát hiện những răng có vấn đề này và điều trị trước khi chúng gây ra đau đớn hoặc nhiễm trùng.
Các triệu chứng trong khoang miệng
Hơi thở hôi dai dẳng:
Hơi thở có mùi khó chịu kéo dài dù đã vệ sinh răng miệng cẩn thận có thể là dấu hiệu của nhiễm khuẩn trong miệng, sâu răng sâu, hoặc bệnh nha chu. Lợi ích khám răng định kỳ hàng tháng giúp tìm ra nguyên nhân gốc rễ của tình trạng này và điều trị hiệu quả thay vì chỉ che giấu bằng kẹo cao su hay nước súc miệng.
Vị kim loại hoặc lạ trong miệng:
Nếu bạn cảm thấy có vị kim loại, đắng hoặc lạ trong miệng mà không rõ nguyên nhân, có thể do miếng trám bị hỏng, nhiễm trùng răng, hoặc các vấn đề về nướu. Việc khám răng định kỳ hàng tháng sẽ giúp bác sĩ kiểm tra và xác định nguyên nhân để xử lý kịp thời.
Loét miệng không lành sau 2 tuần:
Loét miệng thông thường sẽ tự lành trong vòng 7-10 ngày. Nếu bạn có vết loét kéo dài hơn 2 tuần, đặc biệt là những vết loét không đau, cứng, hoặc có màu trắng đỏ không đều, cần đến nha khoa ngay vì đây có thể là dấu hiệu của các bệnh lý nghiêm trọng hơn. Lợi ích khám răng định kỳ hàng tháng là bác sĩ có thể phát hiện sớm những tổn thương nghi ngờ này và chuyển đến bác sĩ chuyên khoa nếu cần.
Sưng má hoặc hàm:
Sưng ở má, hàm hoặc cổ có thể là dấu hiệu của áp xe răng, nhiễm trùng nặng cần được xử lý khẩn cấp. Nếu kèm theo sốt, khó nuốt hoặc khó thở, đây là tình trạng nguy hiểm cần đến ngay cơ sở y tế. Lợi ích khám răng định kỳ hàng tháng giúp phát hiện các ổ nhiễm trùng tiềm tàng trước khi chúng phát triển thành áp xe nghiêm trọng.
Các dấu hiệu về phục hồi răng
Miếng trám bị bong hoặc nứt:
Nếu bạn cảm thấy miếng trám bị lỏng, bong ra, hoặc có vết nứt, cần đến nha khoa ngay để thay thế. Miếng trám hỏng tạo khe hở cho vi khuẩn xâm nhập vào bên trong răng, gây sâu răng thứ phát. Lợi ích khám răng định kỳ hàng tháng là bác sĩ có thể kiểm tra tình trạng các miếng trám cũ và phát hiện sớm những vết nứt nhỏ trước khi chúng gây ra vấn đề lớn hơn.
Răng sứ bị mẻ hoặc thay đổi màu:
Răng sứ bị mẻ cạnh hoặc thay đổi màu sắc cần được kiểm tra để đánh giá xem có cần thay thế hay không. Việc khám răng định kỳ hàng tháng giúp duy trì tình trạng tốt của các công trình phục hồi răng và kéo dài tuổi thọ của chúng.
Khó khăn khi nhai hoặc cắn:
Nếu bạn thấy khó khăn khi nhai thức ăn, cảm giác khớp cắn không đúng, hoặc đau khi nghiến răng, có thể do nhiều nguyên nhân như răng sâu, rối loạn khớp thái dương hàm, hay vấn đề với phục hồi răng. Lợi ích khám răng định kỳ hàng tháng giúp xác định chính xác nguyên nhân và có phương án xử lý phù hợp để bạn có thể ăn uống thoải mái trở lại.
Lời khuyên từ bác sĩ True Dental
Bác sĩ True Dental luôn khuyến khích khách hàng duy trì thói quen khám răng định kỳ hàng tháng để bảo vệ sức khỏe răng miệng. Đừng đợi đến khi răng có dấu hiệu đau nhức mới tìm đến nha sĩ. Việc chủ động chăm sóc và phòng ngừa sẽ mang đến lợi ích khám răng định kỳ hàng tháng giúp bạn có một nụ cười khỏe mạnh, tự tin và tiết kiệm được nhiều chi phí trong tương lai.
Trước khi đến nha khoa
Vệ sinh răng miệng sạch sẽ: Trước khi đến phòng khám, hãy dành thời gian chải răng thật kỹ bằng kem đánh răng có chứa fluoride và sử dụng chỉ nha khoa. Việc này không chỉ giúp bác sĩ dễ dàng hơn trong việc kiểm tra mà còn loại bỏ phần lớn mảng bám, tạo điều kiện thuận lợi cho việc đánh giá chính xác tình trạng răng miệng của bạn.
Thông báo với bác sĩ về tình trạng sức khỏe: Sự an toàn của bạn là ưu tiên hàng đầu. Nếu bạn đang mang thai, nghi ngờ mang thai, hoặc có bất kỳ vấn đề sức khỏe nào như tiểu đường, bệnh tim mạch, hay đang dùng thuốc đặc trị, hãy thông báo ngay cho bác sĩ. Thông tin này giúp bác sĩ đưa ra phác đồ khám và điều trị phù hợp, tránh những rủi ro không đáng có. Từ đó tối ưu lợi ích khám răng định kỳ hàng tháng.

Trong và sau khi khám
Lắng nghe tư vấn của bác sĩ: Đừng ngần ngại trao đổi với bác sĩ về những lo lắng hay thắc mắc của bạn. Một cuộc trò chuyện cởi mở sẽ giúp bác sĩ hiểu rõ hơn về thói quen sinh hoạt và những vấn đề bạn đang gặp phải và lợi ích khám răng định kỳ hàng tháng. Từ đó đưa ra lời khuyên và phương án điều trị tối ưu nhất.
Lựa chọn nha khoa và tần suất phù hợp
Tần suất khám răng: Hầu hết mọi người được khuyến nghị khám răng định kỳ 6 tháng một lần. Tuy nhiên, tần suất này có thể thay đổi tùy thuộc vào tình trạng sức khỏe cụ thể của bạn. Nếu bạn hút thuốc, mắc bệnh tiểu đường, hoặc có tiền sử bệnh nha chu, việc khám định kỳ 3-4 tháng một lần sẽ mang lại lợi ích khám răng định kỳ hàng tháng trong việc phòng ngừa và điều trị.
Lựa chọn nha khoa phù hợp: Việc lựa chọn một phòng khám uy tín, có đội ngũ bác sĩ chuyên môn cao và trang thiết bị hiện đại là yếu tố quyết định sự thành công của quá trình thăm khám. Hãy tìm hiểu kỹ và chọn nơi mà bạn cảm thấy tin tưởng để được chăm sóc một cách an toàn và tối ưu lợi ích khám răng định kỳ hàng tháng hiệu quả nhất.
Duy trì chăm sóc răng hàng ngày
Chăm sóc răng tại nhà: Để duy trì lợi ích khám răng định kỳ hàng tháng, sau khi khám răng, hãy tuân thủ nghiêm túc các hướng dẫn của bác sĩ về cách chăm sóc răng miệng tại nhà. Việc chải răng đúng cách, dùng chỉ nha khoa hàng ngày và sử dụng nước súc miệng phù hợp sẽ giúp duy trì kết quả đã đạt được. Ngoài ra, hãy hạn chế các loại thực phẩm và đồ uống có nhiều đường, cũng như đồ uống có ga để giảm thiểu nguy cơ sâu răng.
Các câu hỏi thường gặp về lợi ích khám răng định kỳ hàng tháng cho sức khỏe
Lợi ích khám răng định kỳ hàng tháng cho sức khỏe không chỉ dừng lại ở răng miệng mà còn tác động tích cực đến sức khỏe toàn thân. Dưới đây là những thắc mắc phổ biến xoay quanh thói quen chăm sóc răng miệng này:
Tại sao cần khám răng định kỳ, ngay cả khi không đau?
Răng miệng thường có những vấn đề tiềm ẩn, như sâu răng mới chớm, viêm nướu nhẹ, hay mòn men răng, mà bạn không thể cảm nhận được bằng mắt thường hoặc qua cơn đau. Việc khám định kỳ sẽ giúp bác sĩ phát hiện và can thiệp ở giai đoạn sớm nhất, ngăn chặn các bệnh lý tiến triển nặng, giúp tiết kiệm chi phí và tránh đau đớn về sau. Điều này là lợi ích khám răng định kỳ hàng tháng cho sức khỏe.
Tần suất khám răng bao lâu là hợp lý?
Đối với phần lớn người trưởng thành có sức khỏe răng miệng tốt, tần suất lý tưởng là 6 tháng/lần. Tuy nhiên, bác sĩ có thể khuyên bạn tái khám hàng tháng hoặc 3 tháng/lần nếu bạn thuộc nhóm nguy cơ cao, bao gồm: người đang niềng răng, có bệnh nha chu (viêm nướu/viêm nha chu), người có tiền sử sâu răng nghiêm trọng, hoặc đang mắc các bệnh mãn tính như tiểu đường, bệnh tim mạch (do mối liên hệ giữa viêm nướu và các bệnh này).

Lời khuyên của nha sĩ để tối ưu lợi ích khám răng định kỳ hàng tháng cho sức khỏe
Để tối ưu hóa lợi ích khám răng định kỳ hàng tháng cho sức khỏe của bản thân và gia đình, bạn cần xem đây là một phần của chiến lược chăm sóc sức khỏe toàn diện, chứ không chỉ là việc chữa trị khi có vấn đề.
- Sức khỏe răng miệng có mối liên hệ mật thiết với các bệnh lý toàn thân. Tình trạng viêm nha chu nghiêm trọng là yếu tố nguy cơ làm tăng khả năng mắc các bệnh tim mạch, đột quỵ và làm khó kiểm soát lượng đường huyết ở bệnh nhân tiểu đường. Khám răng định kỳ giúp kiểm soát và giảm thiểu tình trạng viêm nhiễm trong miệng, từ đó gián tiếp bảo vệ sức khỏe tim mạch và hệ thống miễn dịch.
- Trong mỗi lần khám định kỳ, bác sĩ không chỉ kiểm tra tình trạng răng mà còn hướng dẫn bạn cách đánh răng răng, dùng chỉ nha khoa, và đưa ra những điều chỉnh kỹ thuật cần thiết. Đây là cơ hội để bạn nhận được hướng dẫn chuyên môn cá nhân hóa, ví dụ: loại bàn chải phù hợp, kỹ thuật chải đúng vùng răng hàm khó tiếp cận, hoặc loại kem đánh răng đặc trị cho tình trạng nhạy cảm, sâu răng.
- Đối với trẻ em và thanh thiếu niên, bác sĩ có thể áp dụng trám bít hố rãnh (Sealant) trên mặt nhai của răng hàm để ngăn ngừa sâu răng. Với người lớn, việc bôi Fluoride nồng độ cao tại phòng khám giúp tái khoáng hóa men răng, giảm tình trạng nhạy cảm và tăng cường khả năng chống sâu răng. Đây là những biện pháp dự phòng hiệu quả cao, được thực hiện dễ dàng trong buổi khám định kỳ.

Lợi ích khám răng định kỳ hàng tháng cho sức khỏe là rất lớn. Do đó, bạn nên chủ động thăm khám răng định kỳ chăm sóc răng miệng sẽ giúp bạn có một nụ cười khỏe mạnh, tự tin và tiết kiệm chi phí về lâu dài. Liên hệ ngay với True Dental qua số Hotline 090.6636.456 để được bác sĩ True Dental tư vấn chi tiết nhé!


Cấy Ghép IMPLANT
Lợi ích cấy ghép Implant không phẫu thuật: Phương pháp hiện đại và an toàn tối ưu
Cấy ghép Implant là giải pháp phục hình...
Cấy Ghép IMPLANT
So sánh trụ Implant Titanium và Zirconia: Nên chọn loại nào cho cấy ghép?
Cấy ghép Implant là giải pháp phục hình...
Sức Khỏe Răng Miệng
Khám răng cho người bị tiểu đường: Lưu ý quan trọng để tránh biến chứng
Bệnh tiểu đường hay còn gọi là đái...
Sức Khỏe Răng Miệng
Thời gian cạo vôi răng định kỳ: Bao lâu 1 lần và lợi ích sức khỏe
Vôi răng (hay còn gọi là cao răng)...
Răng Sứ Thẩm Mỹ
Bọc răng sứ có đau khi ăn không? Giải đáp và cách giảm ê buốt
Bọc răng sứ có đau khi ăn không?...
Răng Sứ Thẩm Mỹ
Lợi ích bọc răng sứ cho khuôn mặt: Thẩm mỹ và sức khỏe vượt trội
Bọc răng sứ là phương pháp giúp khắc...
Tôi đang tìm 1 Nha Khoa để điều trị cho tôi, nhưng rất lo lắng và sợ gặp phải NHA TẶC hoặc bị chèo kéo.
HÃY GIÚP TÔI TƯ VẤN THẬT
HƯỚNG DẪN ĐƯỜNG ĐI