Dưới sự phát triển của lĩnh vực nha khoa hiện đại, việc sở hữu hàm răng trắng sáng không còn là điều xa vời. Hiện nay, có vô vàn phương pháp làm trắng răng, nhưng phổ biến và được quan tâm nhất chính là tẩy trắng răng laser tại phòng khám và miếng dán tẩy trắng răng tại nhà. Cả hai đều giúp loại bỏ vết ố, xỉn màu trên răng, nhưng lại khác biệt về cơ chế hoạt động, hiệu quả và mức độ an toàn. Vậy phương pháp nào phù hợp với bạn, cùng True Dental so sánh tẩy trắng răng laser và miếng dán một cách chi tiết nhé!
Tổng quan về 2 phương pháp tẩy trắng răng
Để so sánh tẩy trắng răng laser và miếng dán cũng như có cái nhìn khách quan cần hiểu rõ bản chất và cơ chế hoạt động của từng phương pháp.
Tẩy trắng răng bằng laser
Tẩy trắng răng bằng laser là phương pháp khắc phục tình trạng răng ố vàng, xỉn màu được thực hiện hoàn toàn tại phòng khám. Đây là phương pháp sử dụng gel tẩy trắng có nồng độ cao kết hợp với ánh sáng laser kích hoạt các phân tử trong gel tẩy trắng, giúp hoạt chất thẩm thấu nhanh và sâu vào cấu trúc răng, phá vỡ các sắc tố tạo màu trên răng.
Quá trình này diễn ra nhanh chóng, mang lại sự thay đổi rõ rệt về màu sắc răng chỉ trong một lần điều trị. Thời gian thực hiện thường mất khoảng 60 – 90 phút cho toàn bộ quá trình. So sánh tẩy trắng răng laser và miếng dán thì thời gian tẩy trắng bằng laser sẽ nhanh hơn.

Tẩy trắng răng bằng miếng dán
Miếng dán tẩy trắng răng là một sản phẩm làm trắng tại nhà. Miếng dán tẩy trắng răng được làm từ vật liệu dẻo, mỏng, linh hoạt, được phủ sẵn một lớp gel tẩy trắng có nồng độ thấp. Khi dán lên răng, hoạt chất sẽ từ từ thẩm thấu vào men răng, làm trắng dần theo thời gian.
Người dùng cần thực hiện theo liệu trình, thường là dán 30 phút mỗi ngày và kéo dài trong khoảng 7 – 14 ngày để đạt được hiệu quả tẩy trắng răng tốt nhất. So sánh tẩy trắng răng laser và miếng dán thì miếng dán thuận tiện hơn cho người không có thời gian đến nha khoa nhưng vẫn muốn tẩy trắng răng.

So sánh tẩy trắng răng laser và miếng dán
Khi cân nhắc giữa hai phương pháp, có nhiều yếu tố cần được đặt lên bàn cân so sánh tẩy trắng răng laser và miếng dán. Dưới đây là bảng so sánh tẩy trắng răng laser và miếng dán chi tiết mà True Dental đã tổng hợp giúp bạn:
Tiêu chí so sánh | Tẩy trắng răng Laser | Tẩy trắng răng bằng miếng dán |
Nơi thực hiện | Phòng khám nha khoa | Tại nhà |
Hiệu quả làm trắng | Cao hơn, rõ rệt hơn. Có thể làm trắng từ 5-8 tông màu. | Thấp hơn, thay đổi ít hơn. Chủ yếu cải thiện mức độ nhẹ. |
Tốc độ | Nhanh, chỉ 1 lần điều trị (60-90 phút). | Chậm, cần thực hiện hàng ngày trong 1-2 tuần. |
Tính đồng đều | Đồng đều cao, nhờ sự giám sát của bác sĩ và ánh sáng phân bổ đều. | Kém đồng đều hơn, do miếng dán có thể không phủ kín hết các góc cạnh của răng. |
An toàn & Rủi ro | An toàn cao, được bảo vệ nướu cẩn thận. Rủi ro ê buốt được kiểm soát. | Tiềm ẩn rủi ro nếu sai cách, miếng dán không khít có thể gây kích ứng nướu. |
Chi phí | Cao hơn, do sử dụng công nghệ cao và chuyên môn của bác sĩ. | Thấp hơn, là lựa chọn kinh tế cho nhiều người. |
Phù hợp với | Răng nhiễm màu nặng, muốn kết quả nhanh. | Răng ố vàng nhẹ, muốn duy trì độ trắng. |
Qua bảng so sánh tẩy trắng răng laser và miếng dán có thể thấy sự khác biệt rõ rệt nhất nằm ở tốc độ và mức độ hiệu quả. Tẩy trắng laser mang lại kết quả “thần tốc” và sâu hơn, trong khi miếng dán là một giải pháp tiện lợi, chi phí thấp, nhưng hiệu quả chỉ đạt được ở mức độ trung bình và cần nhiều thời gian.
Nên chọn tẩy trắng răng laser hay miếng dán
Sau khi so sánh tẩy trắng răng laser và miếng dán, vậy nên chọn phương pháp nào? Thực tế, việc lựa chọn nên dựa trên tình trạng răng miệng thực tế của bạn và mục tiêu thẩm mỹ.
Dựa vào bảng so sánh tẩy trắng răng laser và miếng dán nên chọn tẩy trắng răng Laser khi:
- Răng bị nhiễm màu nặng: Các vết ố vàng sâu, lâu năm hoặc nhiễm màu do thuốc kháng sinh (Tetracycline) ở mức độ nhẹ đến trung bình.
- Cần kết quả ngay lập tức: Nếu bạn muốn nhanh chóng sở hữu nụ cười trắng sáng chỉ sau 30 phút thì tẩy trắng laser là lựa chọn phù hợp.
- Ưu tiên sự an toàn tối đa: Nếu bạn có tiền sử răng nhạy cảm, nướu răng yếu thì nên thực hiện tẩy trắng răng dưới sự kiểm soát chặt chẽ của bác sĩ.

Dựa vào bảng so sánh tẩy trắng răng laser và miếng dán nên chọn Miếng dán tẩy trắng khi:
- Răng chỉ ố vàng nhẹ do thực phẩm: Răng bạn vốn dĩ đã trắng, chỉ bị xỉn màu nhẹ do cà phê, trà thì dùng miếng dán tẩy trắng răng sẽ giúp cải thiện màu sắc răng hiệu quả.
- Muốn tiết kiệm chi phí: Ngân sách thấp và bạn chấp nhận hiệu quả làm trắng không quá cao.
- Duy trì độ trắng: Bạn đã tẩy trắng laser trước đó và muốn dùng miếng dán để duy trì màu răng tại nhà.

Dù chọn phương pháp nào, bạn nên thăm khám bác sĩ trước khi thực hiện. Bác sĩ sẽ kiểm tra các bệnh lý răng miệng (sâu răng, viêm lợi) và tư vấn nồng độ, đồng thời so sánh tẩy trắng răng laser và miếng dán. Từ đó chọn phương pháp phù hợp nhất để đảm bảo an toàn tuyệt đối.
Tẩy trắng răng ở đâu uy tín?
Bên cạnh, so sánh tẩy trắng răng laser và miếng dán, hiệu quả của việc tẩy trắng răng còn phụ thuộc rất lớn vào công nghệ và tay nghề của bác sĩ. Lựa chọn một địa chỉ nha khoa uy tín là yếu tố then chốt để đảm bảo cả hiệu quả thẩm mỹ và sự an toàn.
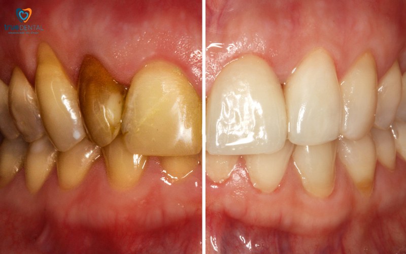
Tại True Dental cung cấp dịch vụ tẩy trắng răng chất lượng, sử dụng công nghệ laser tiên tiến, được kiểm chứng lâm sàng để mang lại kết quả tối ưu.
- Công nghệ độc quyền: True Dental áp dụng công nghệ tẩy trắng răng laser thế hệ mới, có khả năng kích hoạt gel tẩy trắng một cách mạnh mẽ nhưng vẫn đảm bảo nhiệt lượng thấp, giảm thiểu tối đa cảm giác ê buốt.
- An toàn tuyệt đối: Quy trình tại True Dental được thực hiện bởi bác sĩ có chuyên môn cao. Nướu và môi của bạn sẽ được bảo vệ cẩn thận bằng các vật liệu chắn chuyên dụng trước khi thoa gel, ngăn chặn mọi rủi ro kích ứng.
- Hiệu quả vượt trội: True Dental cam kết làm răng trắng lên từ 3-5 tông màu chỉ sau một lần điều trị, giúp bạn tự tin sở hữu nụ cười rạng ngời.
- Tư vấn toàn diện: Bác sĩ sẽ tư vấn về mức độ ố vàng, loại bỏ vôi răng và điều trị các bệnh lý nền trước khi tẩy trắng, đảm bảo kết quả bền vững.

Nếu bạn vẫn còn băn khoăn giữa các phương pháp tẩy trắng răng, bác sĩ True Dental sẽ giúp bạn so sánh tẩy trắng răng laser và miếng dán một cách chi tiết nhất, giúp bạn lựa chọn phương pháp phù hợp với mình, không áp đặt. Bởi vì True Dental luôn lắng nghe và chia sẻ nỗi lo cùng khách hàng.
Một số câu hỏi thường gặp khi so sánh tẩy trắng răng laser và miếng dán
Sau khi so sánh tẩy trắng răng laser và miếng dán tẩy trắng răng, vẫn còn rất nhiều vấn đề khách hàng thắc mắc liên quan đến phương pháp này. True Dental sẽ giải đáp nhanh một số câu hỏi thường gặp nhất.
Tẩy trắng răng laser có gây hại cho men răng không?
Tẩy trắng răng laser là phương pháp khắc phục tình trạng răng ố vàng, xỉn màu hiệu quả và an toàn khi thực hiện đúng quy trình và dưới sự giám sát của bác sĩ. Gel tẩy trắng chỉ hoạt động bằng cách thay đổi màu sắc của ngà răng mà không làm tổn hại đến cấu trúc răng. Bác sĩ sẽ luôn đảm bảo bảo vệ men răng và nướu của bạn trong suốt quá trình điều trị. So sánh tẩy trắng răng laser và miếng dán tẩy trắng răng có thể thấy tẩy trắng răng laser an toàn và hiệu quả hơn.
Miếng dán tẩy trắng răng có thể làm trắng được bao nhiêu tông màu?
Miếng dán tẩy trắng thường chỉ mang lại hiệu quả làm trắng nhẹ, trung bình từ 1 đến 3 tông màu. Hiệu quả này chủ yếu là loại bỏ các vết ố vàng trên bề mặt. So sánh tẩy trắng răng laser và miếng dán tẩy trắng răng có thể thấy với các vết ố sâu, lâu năm, miếng dán sẽ không mang lại hiệu quả rõ rệt bằng phương pháp laser tại phòng khám.
Thời gian duy trì độ trắng của hai phương pháp là bao lâu?
So sánh tẩy trắng răng laser và miếng dán tẩy trắng răng, độ bền màu của cả hai phương pháp đều phụ thuộc vào chế độ ăn uống và vệ sinh răng miệng của bạn. Thông thường, kết quả tẩy trắng laser duy trì từ 3 đến 5 năm, còn miếng dán duy trì từ 6 tháng đến 1 năm. Hạn chế cà phê, trà và duy trì khám răng định kỳ là cách tốt nhất để kéo dài độ trắng.

Lời khuyên của bác sĩ True Dental
Sau khi so sánh tẩy trắng răng laser và miếng dán, dù bạn chọn phương pháp nào thì việc chăm sóc sau điều trị là yếu tố quyết định độ bền của màu răng. Dưới đây là một số lời khuyên của bác sĩ True Dental dành cho khách hàng sau khi tẩy trắng răng.
- Xây dựng chế độ ăn uống phù hợp: Trong 48 giờ đầu sau khi tẩy trắng, răng sẽ nhạy cảm hơn và dễ bị nhiễm màu trở lại. Bạn hãy tránh tuyệt đối các thực phẩm và đồ uống có màu đậm như cà phê, trà, socola, nước ngọt có màu, rượu vang đỏ,…
- Vệ sinh răng miệng đúng cách: Duy trì đánh răng 2 lần/ngày, dùng chỉ nha khoa và nước súc miệng. Bạn có thể sử dụng thêm kem đánh răng có công dụng làm trắng răng để duy trì độ trắng sáng của răng.
- Tái khám định kỳ: Khám nha khoa 6 tháng/lần để kiểm tra và cạo vôi răng. Điều này giúp loại bỏ mảng bám gây ố màu, giúp bạn sở hữu nụ cười trắng sáng.

Bài viết trên đã giúp bạn so sánh tẩy trắng răng laser và miếng dán. Có thể thấy tẩy trắng răng laser và miếng dán đều có những ưu điểm riêng giúp cải thiện nụ cười. Để biết phương pháp nào phù hợp bạn cần tham khảo ý kiến chuyên gia. Nếu còn bất kỳ thắc mắc nào liên quan đến vấn đề so sánh tẩy trắng răng laser và miếng dán. Đừng ngần ngại liên hệ Hotline 090.6636.456 để được bác sĩ True Dental tư vấn chi tiết nhé!
Cấy Ghép IMPLANT
Ưu điểm trụ implant Nobel Biocare: Lựa chọn hàng đầu cho răng giả
Trong các dòng trụ implant, Nobel Biocare là...
Cấy Ghép IMPLANT
Cấy ghép implant cho người bị loãng xương: Giải pháp an toàn và hiệu quả
Cấy ghép Implant là giải pháp phục hình...
Cấy Ghép IMPLANT
Thời gian chờ tích hợp xương sau cấy implant: Những điều cần biết!
Cấy ghép Implant là giải pháp phục hình...
Cấy Ghép IMPLANT
Cách nhận biết trụ implant chất lượng cao: Bí quyết lựa chọn tốt nhất
Cấy ghép Implant đã trở thành giải pháp...
Cấy Ghép IMPLANT
Địa chỉ cấy ghép implant giá rẻ tại TP.HCM
Cấy ghép Implant đã trở thành giải pháp...
Cấy Ghép IMPLANT
Cấy ghép implant có ảnh hưởng đến xoang hàm không?
Cấy ghép Implant là kỹ thuật nha khoa...
Tôi đang tìm 1 Nha Khoa để điều trị cho tôi, nhưng rất lo lắng và sợ gặp phải NHA TẶC hoặc bị chèo kéo.
HÃY GIÚP TÔI TƯ VẤN THẬT
HƯỚNG DẪN ĐƯỜNG ĐI