Bọc răng sứ là một giải pháp giúp cải thiện nụ cười và chức năng ăn nhai hiệu quả. Tuy nhiên, nếu không được thực hiện đúng kỹ thuật, việc bọc sứ có thể gây ra nhiều tác hại nghiêm trọng. Trong bài viết này, bác sĩ True Dental sẽ tổng hợp cho bạn 10 tác hại bọc răng sứ cần biết, nguyên nhân gây ra biến chứng. Xem ngay để biết cách phòng tránh, đảm bảo sức khỏe răng miệng.
Bọc răng sứ là gì? Khi nào nên thực hiện?
Bọc răng sứ thẩm mỹ là phương pháp phục hình răng bằng vật liệu sứ nhằm cải thiện cả chức năng nhai và tính thẩm mỹ, giúp răng trở nên đều đặn, tự nhiên và trắng sáng như răng thật. Để thực hiện, bác sĩ sẽ mài một phần nhỏ của răng của bệnh nhân để tạo trụ nâng đỡ, sau đó chụp mão sứ lên trên nhằm bảo vệ răng và khôi phục hình dáng ban đầu của răng.

Bọc răng sứ là giải pháp hiệu quả trong nhiều trường hợp giúp cải thiện chức năng ăn nhai và tính thẩm mỹ của răng. Những trường hợp nên thực hiện bọc răng sứ gồm có:
- Nếu răng bị sâu nặng, viêm tủy hoặc vỡ mẻ nghiêm trọng.
- Răng có kẽ hở lớn, răng mọc lệch nhẹ hoặc răng hô mức độ nhẹ.
- Trường hợp răng bị nhiễm màu do tetracycline, fluoride hoặc ố vàng nghiêm trọng mà tẩy trắng không mang lại hiệu quả
- Khi bệnh nhân bị mất răng, bác sĩ có thể chỉ định làm cầu răng sứ để thay thế răng đã mất.
10 tác hại cần biết khi bọc răng sứ sai kỹ thuật
Bọc răng sứ giúp cải thiện thẩm mỹ và chức năng răng, nhưng nếu thực hiện sai kỹ thuật hoặc tại nha khoa kém chất lượng, bạn có thể gặp nhiều hậu quả nghiêm trọng. Cụ thể 10 tác hại bọc răng sứ không đúng cách thường gặp nhất là:
Tổn hại răng thật
Quá trình bọc răng sứ yêu cầu bác sĩ phải mài bớt một phần men răng để tạo cùi răng, giúp mão sứ ôm sát vào răng thật. Tuy nhiên, nếu bác sĩ thiếu kinh nghiệm hoặc thực hiện sai kỹ thuật, có thể mài răng quá mức thì sẽ ảnh hưởng cấu trúc của răng.
10 tác hại cần biết khi bọc răng sứ sai kỹ thuật

Hệ quả là sau khi bọc sứ, răng thật trở nên yếu hơn và dễ bị tổn thương, không thể phục hồi lại như ban đầu, thậm chí gãy, vỡ dưới áp lực nhai.
Răng bị nhạy cảm, ê buốt, đau nhức
Sau khi bọc răng sứ, nhiều người gặp phải tình trạng ê buốt và đau nhức, đặc biệt là khi tiếp xúc với thực phẩm nóng, lạnh. Điều này thường xảy ra khi lớp men răng bị mài quá nhiều, làm lộ lớp ngà răng nhạy cảm.
Bên cạnh đó, nếu mão sứ không ôm sát vào răng thật hoặc quá trình lắp đặt không chính xác, lực nhai sẽ phân bổ không đều, tạo áp lực lên răng và gây ra cảm giác đau nhức kéo dài. Trong một số trường hợp, tình trạng này có thể không tự thuyên giảm mà đòi hỏi phải điều chỉnh hoặc thay mão sứ mới.
Nguy cơ vỡ, nứt răng sứ
Không phải tất cả các loại răng sứ đều có độ bền cao. Nếu bạn sử dụng răng sứ kém chất lượng hoặc thực hiện tại nha khoa không uy tín, nguy cơ nứt, vỡ răng sứ trong quá trình ăn nhai là rất cao.

Ngoài ra, nếu bác sĩ gắn răng sứ không đúng cách hoặc mão sứ không có độ khít chuẩn xác, áp lực khi nhai có thể dồn lên một số điểm nhất định, làm tăng nguy cơ răng sứ bị gãy. Khi răng sứ bị vỡ, không chỉ gây ảnh hưởng đến thẩm mỹ mà còn làm mất khả năng bảo vệ răng thật bên dưới, khiến răng dễ bị hư tổn hơn.
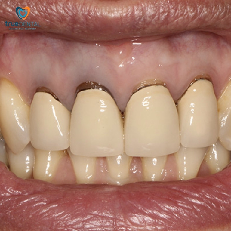
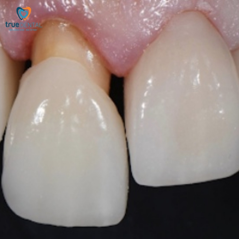
Hở cổ chân răng, giắt thức ăn, tích tụ mảng bám
Một trong những lỗi thường gặp của bác sĩ thiếu chuyên môn khi bọc răng sứ là mão sứ không khớp hoàn toàn với chân răng, tạo ra khe hở giữa răng sứ và nướu. Điều này không chỉ làm giảm tính thẩm mỹ mà còn khiến thức ăn dễ bị giắt vào kẽ răng, gây khó khăn trong việc vệ sinh răng miệng.

Khi thức ăn mắc kẹt lâu ngày, vi khuẩn sẽ phát triển mạnh, tạo điều kiện cho mảng bám hình thành và làm tăng nguy cơ sâu răng cũng như viêm nhiễm nướu. Nếu tình trạng này không được phát hiện và xử lý kịp thời, nó có thể dẫn đến các bệnh lý nghiêm trọng hơn như viêm nha chu hoặc tiêu xương ổ răng.
Viêm nướu, gây ra mùi hôi miệng
Viêm nướu là một trong những tác hại bọc răng sứ phổ biến khi thực hiện không đúng kỹ thuật. Nguyên nhân có thể do mão sứ quá dày, gây chèn ép nướu hoặc do khe hở giữa răng sứ và răng thật tạo điều kiện cho vi khuẩn phát triển.
Khi nướu bị viêm, bạn có thể gặp phải tình trạng sưng đỏ, đau nhức và chảy máu khi đánh răng. Ngoài ra, vi khuẩn tích tụ trong các khe hở quanh răng sứ có thể gây ra mùi hôi miệng khó chịu, ảnh hưởng đến sự tự tin trong giao tiếp hàng ngày.
Nguy cơ gây ra bệnh lý răng mệng
Việc tích tụ mảng bám và vi khuẩn quanh răng sứ có thể dẫn đến các bệnh lý răng miệng như sâu răng, viêm nha chu. Nếu không được điều trị kịp thời, các bệnh này có thể gây mất răng và ảnh hưởng đến sức khỏe toàn thân.
Làm lệch khớp cắn, khó khăn khi ăn nhai
Lệch khớp cắn là một trong những hậu quả nguy hiểm của bọc răng sứ sai kỹ thuật là làm lệch khớp cắn. Nếu mão sứ không được chế tác chính xác theo khớp cắn tự nhiên của bạn, lực nhai sẽ không được phân bổ đồng đều, dẫn đến tình trạng khó khăn khi ăn uống và đau mỏi hàm. Trong nhiều trường hợp, lệch khớp cắn còn có thể gây ra hội chứng rối loạn khớp thái dương hàm, dẫn đến đau đầu, đau cổ và căng thẳng cơ hàm kéo dài.
Răng sứ bị lung lay
Một chiếc răng sứ được lắp đặt đúng cách phải có độ bám chắc chắn vào răng thật, giúp duy trì chức năng ăn nhai ổn định. Tuy nhiên, nếu keo gắn không đạt chất lượng hoặc quy trình lắp đặt không chuẩn xác, răng sứ có thể bị lung lay sau một thời gian sử dụng.

Răng sứ bị rơi, rớt
Nếu răng sứ không được gắn chắc chắn hoặc chịu lực tác động mạnh, có thể bị rơi, rớt, gây mất thẩm mỹ và ảnh hưởng đến chức năng nhai. Việc này đòi hỏi phải tái khám và lắp lại răng sứ mới, tốn kém thời gian và chi phí.

Đen viền nướu
Đối với những người lựa chọn răng sứ kim loại, một trong những tác hại phổ biến sau một thời gian sử dụng là viền nướu bị đen. Nguyên nhân là do kim loại trong mão sứ bị oxy hóa khi tiếp xúc với nước bọt và thức ăn, dẫn đến hiện tượng đổi màu ở viền nướu. Điều này gây ảnh hưởng nghiêm trọng đến thẩm mỹ, đặc biệt với những răng ở vị trí dễ nhìn thấy như răng cửa.

Nguyên nhân gây ra biến chứng khi bọc răng sứ
Bọc răng sứ là phương pháp phục hình thẩm mỹ phổ biến, giúp cải thiện hình dáng và chức năng răng. Tuy nhiên, không phải ca bọc sứ nào cũng mang lại kết quả hoàn hảo. Trên thực tế, nhiều trường hợp gặp phải các biến chứng nghiêm trọng như ê buốt kéo dài, viêm nướu, hở chân răng hay thậm chí là mất răng vĩnh viễn.
Những rủi ro khi bọc sứ thường xuất phát từ những sai sót trong quá trình thực hiện hoặc do việc chăm sóc răng miệng không đúng cách. Cụ thể những nguyên nhân gây ra biến chứng khi bọc răng sứ bao gồm:
Bác sĩ thiếu chuyên môn, kinh nghiệm
Bác sĩ không có đủ chuyên môn và kinh nghiệm có thể thực hiện sai kỹ thuật, dẫn đến các biến chứng nghiêm trọng như mài răng quá mức, lắp mão sứ không khớp, hoặc sai lệch khớp cắn. Những sai lầm này có thể khiến bệnh nhân gặp phải tình trạng ê buốt kéo dài, đau nhức và thậm chí mất răng thật.
Nha khoa kém uy tín
Các phòng khám nha khoa không đảm bảo tiêu chuẩn, không có giấy phép hoạt động hoặc sử dụng trang thiết bị lạc hậu có thể là nguyên nhân chính dẫn đến các tác hại cho bệnh nhân khi bọc răng sứ. Những cơ sở này thường không đảm bảo quy trình vô trùng, dẫn đến nguy cơ nhiễm trùng hoặc lắp răng sứ sai kỹ thuật rất cao.
Sử dụng răng sứ kém chất lượng
Chất lượng răng sứ ảnh hưởng rất lớn đến độ bền và sức khỏe răng miệng. Nếu sử dụng răng sứ kém chất lượng, không rõ nguồn gốc xuất xứ, răng có thể nhanh chóng bị nứt vỡ, đổi màu, gây kích ứng nướu, và làm đen viền nướu theo thời gian.
Làm thế nào để tránh tác hại bọc răng sứ
Để đảm bảo kết quả bọc răng sứ an toàn, bạn cần lưu ý những yếu tố quan trọng sau:
Chọn nha khoa uy tín
Nên lựa chọn nha khoa đã được cấp phép hoạt động bởi cơ quan có thẩm quyền, cơ sở vật chất hiện đại, sử dụng công nghệ tiên tiến sẽ giúp giảm thiểu các biến chứng không mong muốn khi bọc răng sứ. Một nha khoa uy tín sẽ có giấy phép hoạt động rõ ràng, đội ngũ bác sĩ giàu kinh nghiệm. Bạn có thể tham khảo các đánh giá của khách hàng trước đó hoặc đến trực tiếp nha khoa để kiểm tra cơ sở vật chất trước khi quyết định bọc răng sứ.
Lựa chọn bác sĩ giỏi
Tay nghề của bác sĩ có ảnh hưởng trực tiếp đến kết quả bọc răng sứ. Bác sĩ có chuyên môn cao sẽ thực hiện đúng kỹ thuật, giúp giảm thiểu tình trạng mài răng quá mức, đảm bảo khớp cắn chuẩn và hạn chế các biến chứng như viêm nướu, ê buốt, đau nhức răng. Do đó, hãy chọn bác sĩ có kinh nghiệm, đã thực hiện nhiều ca bọc răng sứ thành công để đảm bảo kết quả tốt nhất.
Chọn loại răng sứ chất lượng
Hiện nay, có nhiều loại răng sứ khác nhau trên thị trường, bao gồm răng sứ kim loại và răng toàn sứ. Trong đó, răng toàn sứ được đánh giá cao hơn vì có độ bền tốt, không gây đen viền nướu và tương thích sinh học cao. Bạn nên tham khảo ý kiến bác sĩ để lựa chọn loại răng sứ phù hợp với tình trạng răng miệng và nhu cầu thẩm mỹ của mình.
Lựa chọn phương pháp phục hình răng thẩm mỹ khác
Trong một số trường hợp, bọc răng sứ có thể không phải là lựa chọn tốt nhất để điều trị. Nếu răng chỉ bị ố vàng, nhiễm màu nhẹ hoặc sứt mẻ nhỏ, bạn có thể lựa chọn phương pháp dán sứ Veneer hoặc tẩy trắng răng để tránh phải mài răng nhiều.
Ngoài ra, trong những trường hợp mất răng, nếu đủ điều kiện sức khoẻ thì cấy ghép Implant sẽ là giải pháp phục hình tối ưu hơn so với cầu răng sứ. Đặc biệt, nếu răng bị hô, móm nặng, niềng răng chỉnh nha sẽ là giải pháp tối ưu hơn so với bọc sứ, giúp bảo toàn răng thật và duy trì kết quả lâu dài.
Cần lưu ý gì sau khi bọc răng sứ
Sau khi bọc răng sứ, bạn cần chăm sóc răng miệng đúng cách để duy trì độ bền của răng sứ và hạn chế các biến chứng. Dưới đây là một số lưu ý quan trọng:
- Đánh răng ít nhất 2 lần/ngày bằng bàn chải lông mềm, sử dụng chỉ nha khoa và nước súc miệng để loại bỏ mảng bám.
- Tránh ăn thực phẩm quá cứng, quá nóng hoặc quá lạnh để giảm nguy cơ nứt, vỡ răng sứ và ê buốt răng.
- Các loại đồ uống như cà phê, trà, rượu vang đỏ có thể làm răng sứ bị nhiễm màu theo thời gian.
- Nên đến nha khoa kiểm tra răng sứ định kỳ 6 tháng/lần để phát hiện và xử lý kịp thời các vấn đề bất thường.
- Tránh thói quen dùng răng mở nắp chai, cắn móng tay hoặc nhai đá để hạn chế rủi ro răng sứ bị vỡ, gãy.
XEM THÊM:
Bọc răng sứ có thể giúp cải thiện thẩm mỹ và chức năng nhai, nhưng nếu thực hiện sai kỹ thuật, nó có thể gây ra hàng loạt biến chứng nghiêm trọng như ê buốt, viêm nướu, lệch khớp cắn hay mất răng thật. Để tránh những tác hại khi bọc răng sứ, bạn nên lựa chọn nha khoa uy tín, bác sĩ có tay nghề cao và sử dụng loại răng sứ chất lượng.
Cấy Ghép IMPLANT
Ưu điểm trụ implant Nobel Biocare: Lựa chọn hàng đầu cho răng giả
Trong các dòng trụ implant, Nobel Biocare là...
Cấy Ghép IMPLANT
Cấy ghép implant cho người bị loãng xương: Giải pháp an toàn và hiệu quả
Cấy ghép Implant là giải pháp phục hình...
Cấy Ghép IMPLANT
Thời gian chờ tích hợp xương sau cấy implant: Những điều cần biết!
Cấy ghép Implant là giải pháp phục hình...
Cấy Ghép IMPLANT
Cách nhận biết trụ implant chất lượng cao: Bí quyết lựa chọn tốt nhất
Cấy ghép Implant đã trở thành giải pháp...
Cấy Ghép IMPLANT
Địa chỉ cấy ghép implant giá rẻ tại TP.HCM
Cấy ghép Implant đã trở thành giải pháp...
Cấy Ghép IMPLANT
Cấy ghép implant có ảnh hưởng đến xoang hàm không?
Cấy ghép Implant là kỹ thuật nha khoa...
Tôi đang tìm 1 Nha Khoa để điều trị cho tôi, nhưng rất lo lắng và sợ gặp phải NHA TẶC hoặc bị chèo kéo.
HÃY GIÚP TÔI TƯ VẤN THẬT
HƯỚNG DẪN ĐƯỜNG ĐI