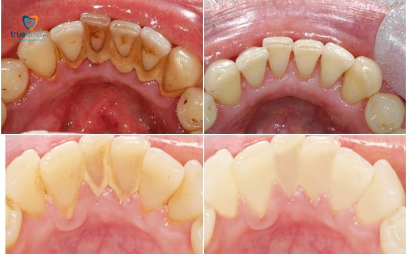
Vôi răng (hay còn gọi là cao răng) không chỉ là tác nhân gây mất thẩm mỹ, làm nụ cười kém tự tin, mà còn là nơi trú ngụ của vi khuẩn gây ra các bệnh lý răng miệng như viêm nướu, viêm nha chu, và thậm chí là mất răng. Chính vì thế, bác sĩ luôn khuyến khích bạn nên cạo vôi răng. Vậy thời gian cạo vôi răng định kỳ lý tưởng là bao lâu? Cùng True Dental tìm hiểu qua bài viết dưới đây nhé!
Vôi răng là gì? Vì sao phải cạo vôi răng định kỳ?
Trước khi tìm hiểu thời gian cạo vôi răng định kỳ, chúng ta cần tìm hiểu vôi răng là gì. Vôi răng là mảng bám đã bị vôi hóa, được hình thành từ sự kết hợp giữa cặn thức ăn, các khoáng chất trong nước bọt và vi khuẩn. Quá trình hình thành vôi răng diễn ra như sau:
- Mảng bám mềm: Sau khi ăn uống, một lớp màng sinh học mỏng, không màu sẽ hình thành trên bề mặt răng. Lớp màng này chứa hàng tỷ vi khuẩn.
- Vôi hóa: Nếu mảng bám không được loại bỏ triệt để bằng cách chải răng và dùng chỉ nha khoa, trong vòng 24 đến 72 giờ, các khoáng chất trong nước bọt sẽ lắng đọng và làm cứng mảng bám này, tạo thành vôi răng (cao răng).
- Vôi răng dưới nướu: Vôi răng không chỉ hình thành ở trên bề mặt răng mà còn có thể lan xuống dưới đường viền nướu, tạo thành vôi răng dưới nướu rất khó làm sạch.
Vôi răng có bề mặt sần sùi, thô ráp, tạo điều kiện thuận lợi để vi khuẩn bám chặt và phát triển mạnh mẽ hơn. Vôi răng không thể loại bỏ bằng cách chải răng thông thường, và là nguyên nhân trực tiếp dẫn đến:
- Viêm nướu: Vi khuẩn trong vôi răng kích thích mô nướu, gây sưng đỏ, dễ chảy máu khi chải răng.
- Viêm nha chu: Nếu viêm nướu không được điều trị, vi khuẩn sẽ di chuyển sâu xuống dưới nướu, phá hủy xương ổ răng và các mô nâng đỡ răng. Đây là nguyên nhân hàng đầu gây lung lay và mất răng ở người trưởng thành.
- Hôi miệng: Vi khuẩn trong vôi răng phân hủy các mảnh vụn thức ăn, tạo ra hợp chất sunfur (lưu huỳnh) dễ bay hơi, gây ra mùi hôi khó chịu.
- Mất thẩm mỹ: Vôi răng thường có màu vàng, nâu hoặc đen, làm răng trông xỉn màu và kém sạch sẽ.
Cạo vôi răng định kỳ là cách duy nhất để loại bỏ hoàn toàn mảng bám vôi hóa, từ đó ngăn chặn chu trình bệnh lý nghiêm trọng trên. Thời gian cạo vôi răng định kỳ thường là 06 tháng/lần. Tuy nhiên, tần suất này có thể thay đổi tùy vào tình trạng răng miệng ở mỗi người.

Thời gian cạo vôi răng định kỳ: Bao lâu nên làm 1 lần?
Thời gian cạo vôi răng định kỳ thường được bác sĩ khuyến nghị là 06 tháng/lần, nhưng tần suất lý tưởng có thể thay đổi tùy thuộc vào nguy cơ mắc bệnh nha chu và tình trạng sức khỏe răng miệng của từng người.
Thời gian cạo vôi răng định kỳ tiêu chuẩn (6 tháng/lần)
Đối với người có tình trạng sức khỏe răng miệng tốt, thời gian cạo vôi răng định kỳ thường được bác sĩ khuyến nghị là 06 tháng/lần. Nếu bạn có sức khỏe răng miệng tốt, nướu khỏe mạnh, không có dấu hiệu viêm nha chu thì không nên cạo vôi răng thường xuyên.
Bên cạnh đó, bạn cũng cần duy trì thói quen vệ sinh răng miệng tại nhà hiệu quả (chải răng đúng cách, dùng chỉ nha khoa hàng ngày). Đồng thời tránh hút thuốc để ngăn chặn mảng bám hình thành. Thời gian cạo vôi răng định kỳ 6 tháng cho phép loại bỏ vôi răng trước khi mảng bám này gây tổn thương đến răng và nướu.
Thời gian cạo vôi răng định kỳ 3 – 4 tháng/lần
Đối tượng có nguy cơ cao mắc các bệnh lý răng miệng, bác sĩ khuyến nghị thời gian cạo vôi răng định kỳ 3 – 4 tháng/lần:
- Người mắc bệnh nha chu (Viêm nha chu): Cần điều trị và theo dõi tích cực để ngăn ngừa bệnh tái phát và tiến triển tiêu xương.
- Người bị tiểu đường (Đái tháo đường): Tiểu đường làm suy giảm hệ miễn dịch và khả năng lành thương, dẫn đến tình trạng nha chu nặng hơn.
- Người hút thuốc lá: Hút thuốc làm tăng sản xuất mảng bám và làm giảm lưu lượng máu đến nướu, làm nặng thêm bệnh nha chu.
- Người đang mang thai: Sự thay đổi hormone trong thai kỳ làm tăng nguy cơ viêm nướu.
- Người có cơ địa tiết nước bọt nhiều khoáng chất: Có tiến triển hình thành vôi răng nhanh hơn người khác.

Thời gian cạo vôi răng định kỳ 9 – 12 tháng/lần
Thời gian cạo vôi răng định kỳ 9 – 12 tháng/lần chỉ áp dụng cho một số ít người có thói quen vệ sinh răng miệng cực kỳ tốt, sử dụng các công cụ hỗ trợ như tăm nước, bàn chải điện. Đồng thời có nguy cơ mắc bệnh nha chu rất thấp. Tuy nhiên, việc kéo dài thời gian này cần có sự đồng ý và đánh giá định kỳ từ bác sĩ nha khoa.
Dấu hiệu cần phải cạo vôi răng sớm hơn thời gian định kỳ
Nhận biết các dấu hiệu sớm có thể giúp bạn can thiệp kịp thời, tránh được sự tiến triển của bệnh nha chu và bảo vệ xương ổ răng. Dưới đây là một số dấu hiệu cảnh báo bạn nên cạo vôi răng sớm hơn thời gian định kì.
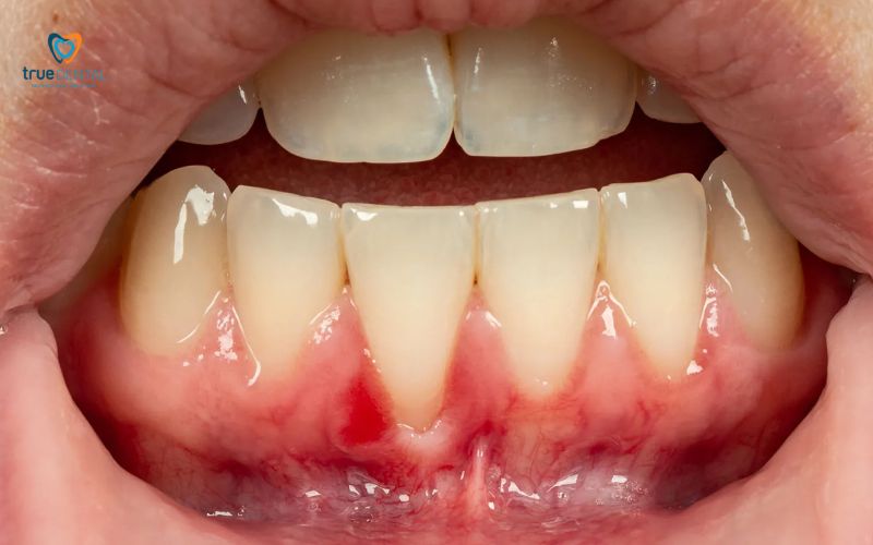
Chảy máu nướu khi chải răng hoặc dùng chỉ nha khoa
Đây là dấu hiệu rõ ràng và phổ biến nhất của viêm nướu do vôi răng tích tụ. Khi mảng bám và vôi răng làm viêm mô nướu, nướu trở nên nhạy cảm và dễ bị tổn thương, gây chảy máu ngay cả khi chải răng nhẹ nhàng. Dù chỉ là một lượng máu nhỏ, đó cũng là một tín hiệu cảnh báo bạn nên đẩy nhanh thời gian cạo vôi răng định kỳ sớm hơn.
Xuất hiện các mảng cứng, thô ráp trên răng
Nếu bạn cảm nhận được một lớp thô ráp, màu vàng nhạt hoặc nâu sẫm, đặc biệt là ở mặt trong của răng cửa dưới và mặt ngoài của răng hàm trên, đó chính là vôi răng. Cảm giác lưỡi chạm vào một bề mặt không láng mịn là dấu hiệu cần phải đẩy nhanh thời gian cạo vôi răng định kỳ sớm hơn.

Hơi thở có mùi hôi dai dẳng
Hôi miệng không dứt, ngay cả sau khi chải răng kỹ, thường là do vi khuẩn tích tụ trong vôi răng và túi nha chu. Các vi khuẩn này giải phóng các hợp chất gây mùi khó chịu mà kem đánh răng không thể trung hòa được. Đây là dấu hiệu bạn cần cạo vôi răng sớm.
Nướu bị sưng, đỏ và tách khỏi răng
Viêm nướu làm nướu có màu đỏ thẫm (thay vì hồng nhạt khỏe mạnh) và có thể gây đau khi chạm vào. Trong các trường hợp nặng hơn, bạn có thể nhận thấy nướu bắt đầu tụt xuống, làm lộ chân răng, đây là dấu hiệu của việc vôi răng đã xâm lấn sâu xuống dưới, cần đẩy nhanh thời gian cạo vôi răng định kỳ.

Lợi ích khi tuân thủ thời gian cạo vôi răng định kì
Lợi ích của việc tuân thủ thời gian cạo vôi răng định kì không chỉ dừng lại ở thẩm mỹ mà còn tác động tích cực đến sức khỏe toàn thân. Dưới đây là những lý do vì sao bạn nên tuân thủ thời gian cạo vôi răng định kỳ:
Phòng ngừa bệnh nha chu và bảo tồn răng thật
Lợi ích cốt lõi của việc thực hiện đúng thời gian cạo vôi răng định kì là loại bỏ môi trường sống của vi khuẩn gây bệnh. Bằng cách loại bỏ vôi răng dưới nướu, thủ thuật này sẽ ngăn chặn sự hình thành và tiến triển của các túi nha chu, giúp xương ổ răng không bị tiêu hủy. Việc bảo vệ xương hàm là cực kỳ quan trọng, bởi xương là nền tảng giữ vững răng, giúp bạn tránh được tình trạng răng lung lay và mất răng sớm. Do đó, bạn cần tuân thủ thời gian cạo vôi răng định kỳ.
Cải thiện thẩm mỹ và hơi thở
Lý do bạn nên tuân thủ thời gian cạo vôi răng định kỳ tiếp theo là vì việc loại bỏ các mảng vôi răng màu vàng, nâu và các vết bám màu (do cà phê, trà, thuốc lá) giúp bề mặt răng trở nên sạch sẽ, trắng sáng hơn. Đồng thời, việc loại bỏ vi khuẩn tích tụ giúp chấm dứt nguồn gốc gây mùi hôi miệng, mang lại hơi thở thơm mát và sự tự tin trong giao tiếp.

Phát hiện sớm các bệnh lý nha khoa
Khám răng định kỳ (thường đi kèm với cạo vôi răng) là cơ hội để bác sĩ kiểm tra tổng thể khoang miệng. Bác sĩ có thể phát hiện sớm các vấn đề như sâu răng mới chớm, viêm tủy răng, hay các tổn thương tiền ung thư miệng mà khách hàng có thể không nhận ra. Từ đó can thiệp điều trị kịp thời, giảm chi phí và độ phức tạp của bệnh lý răng miệng.
Giảm nguy cơ bệnh toàn thân
Sự liên kết giữa bệnh nha chu và các bệnh toàn thân đã được khoa học chứng minh. Vi khuẩn gây viêm nha chu có thể đi vào máu và làm tăng nguy cơ hoặc làm nặng thêm các bệnh lý như:
- Bệnh tim mạch và đột quỵ: Viêm nhiễm nha chu mãn tính có thể góp phần làm xơ vữa động mạch.
- Tiểu đường: Nha chu làm tăng mức đường huyết và khiến bệnh tiểu đường khó kiểm soát hơn.
Thực hiện đúng thời gian cạo vôi răng định kỳ giúp kiểm soát ổ viêm nhiễm, từ đó giảm nguy cơ mắc các bệnh lý nguy hiểm này.
Quy trình cạo vôi răng định kỳ chuẩn nha khoa
Bên cạnh thực hiện đúng thời gian cạo vôi răng định kỳ, để giúp bảo vệ răng miệng luôn chắc khỏe, bác sĩ cần phải đảm bảo quy trình cạo vôi răng được thực hiện theo các bước sau:
- Bước 1. Thăm khám và đánh giá tổng thể: Bác sĩ nha khoa sẽ thăm khám tổng thể khoang miệng, kiểm tra mức độ tích tụ vôi răng, tình trạng nướu, và sử dụng dụng cụ đo túi nha chu để đánh giá mức độ viêm nha chu (nếu có).
- Bước 2. Tiến hành cạo vôi răng: Bác sĩ sẽ di chuyển đầu máy siêu âm dọc theo bề mặt răng, tập trung vào khu vực viền nướu và dưới nướu, nơi vôi răng tích tụ nhiều nhất để loại bỏ hoàn toàn cao răng
- Bước 3. Xử lý bề mặt chân răng (nếu cần thiết): Trong trường hợp vôi răng đã xâm lấn sâu và gây hình thành túi nha chu (trên 3mm), bác sĩ sẽ thực hiện thủ thuật nạo túi và xử lý bề mặt chân răng. Quá trình này giúp làm sạch sâu chân răng, làm nhẵn bề mặt để ngăn chặn vi khuẩn bám trở lại.
- Bước 4. Đánh bóng răng: Sau khi loại bỏ vôi răng, bề mặt răng thường thô ráp. Bác sĩ sẽ sử dụng dụng cụ chuyên dụng để đánh bóng bề mặt răng. Bước này giúp răng trở nên láng mịn, khó bám dính mảng bám hơn và tăng cường thẩm mỹ.

Cạo vôi răng có đau không?
Cạo vôi răng có đâu không cũng là điều mà không ít khách hàng quan tâm khi tìm hiểu thời gian cạo vôi răng định kỳ. Cạo vôi răng là một thủ thuật thường không gây đau đớn, nhưng có thể gây ra cảm giác ê buốt hoặc khó chịu tùy thuộc vào tình trạng răng miệng và ngưỡng chịu đựng của mỗi người.
- Nguyên nhân: Khi vôi răng được loại bỏ, bề mặt chân răng vốn được che chắn sẽ tạm thời tiếp xúc với môi trường bên ngoài và các kích thích lạnh từ nước xịt của máy siêu âm. Nếu bạn có răng nhạy cảm hoặc nướu bị tụt nhẹ, cảm giác ê buốt là điều hoàn toàn bình thường. Do đó, bạn không nên quá lo lắng khi trong thời gian cạo vôi răng định kỳ.
- Giải pháp: Bác sĩ thường điều chỉnh cường độ máy siêu âm cho phù hợp hoặc sử dụng thuốc tê bôi tại chỗ để giảm thiểu cảm giác này.
Với công nghệ siêu âm hiện đại, thời gian cạo vôi răng định kỳ thường diễn ra nhanh chóng (khoảng 15 – 30 phút) và rất ít đau đớn. Bất kỳ cảm giác ê buốt nào cũng sẽ biến mất sau vài giờ hoặc một vài ngày.

Lưu ý sau khi cạo vôi răng – Lời khuyên bác sĩ
Việc tuân thủ các hướng dẫn chăm sóc trong thời gian cạo vôi răng định kỳ sẽ giúp giảm ê buốt và bảo vệ nướu khỏi bị kích ứng. Dưới đây là một số lời khuyên của bác sĩ:
- Chế độ ăn uống: Trong vòng 24 giờ đầu, nên tránh thức ăn, đồ uống quá nóng, quá lạnh, quá chua hoặc quá cay để giảm kích thích cho nướu và răng. Đồng thời hạn chế ăn thực phẩm có màu để răng luôn sáng bóng.
- Chăm sóc vệ sinh: Dùng bàn chải lông mềm, chải nhẹ nhàng nhưng vẫn đảm bảo làm sạch răng. Sử dụng nước muối sinh lý ấm để súc miệng sau khi ăn có thể giúp giảm viêm nướu và làm dịu vùng nướu bị kích thích. Đây là cách chăm sóc răng trong thời gian cạo vôi răng định kỳ bạn không nên bỏ qua.
- Xử lý ê buốt: Nếu cảm giác ê buốt kéo dài, hãy sử dụng kem đánh răng dành cho răng nhạy cảm trong vài ngày. Chất này giúp làm dịu và ngăn chặn tín hiệu đau truyền đến dây thần kinh răng.
- Tái khám đúng hẹn: Đừng quên tuân thủ thời gian cạo vôi răng định kỳ 6 tháng một lần (hoặc theo chỉ định riêng của bác sĩ) để duy trì sức khỏe răng miệng tối ưu.

Câu hỏi thường gặp về thời gian cạo vôi răng định kỳ
Xoay quanh thời gian cạo vôi răng định kỳ, có rất nhiều câu hỏi. Dưới đây là câu hỏi thường gặp nhất.
Lấy cao răng 1 lần có hết không?
Khi tìm hiểu về thời gian cạo vôi răng định kỳ, rất nhiều khách hàng thắc mắc lấy cao răng 1 lần có hết không. Theo bác sĩ việc lấy cao răng có thể loại bỏ hoàn toàn các mảng vôi đã hình thành trên bề mặt răng và dưới nướu tại thời điểm thực hiện thủ thuật, đảm bảo răng miệng sạch sẽ và nướu được hồi phục.
Quá trình hình thành cao răng bắt đầu lại khi các khoáng chất trong nước bọt kết hợp với mảng bám vi khuẩn do thói quen vệ sinh hằng ngày. Tốc độ tái hình thành vôi răng phụ thuộc vào cơ địa, thói quen ăn uống và mức độ chải răng của mỗi người. Chính vì vôi răng là sản phẩm tự nhiên của quá trình khoáng hóa mảng bám, nên nha sĩ khuyến nghị cần lấy cao răng định kỳ 3 đến 6 tháng một lần.
Có nên cạo vôi răng mỗi tháng không?
Có nên cạo vôi răng không cũng là câu hỏi được rất nhiều khách hàng quan tâm khi tìm hiểu về thời gian cạo vôi răng định kỳ. Theo bác sĩ không nên cạo vôi răng mỗi tháng. Trừ những trường hợp cực kỳ hiếm hoi có bệnh lý đặc biệt được chỉ định riêng biệt.
Tần suất cạo vôi răng hàng tháng là không cần thiết và thậm chí có thể gây ra những tác động tiêu cực đến sức khỏe răng miệng. Việc tác động cơ học liên tục của đầu siêu âm hoặc dụng cụ lên men răng và nướu, dù nhẹ, vẫn có khả năng gây mòn men răng một cách không đáng có nếu lặp lại quá thường xuyên.
Hơn nữa, cạo vôi răng hàng tháng có thể làm nướu bị kích ứng liên tục, dẫn đến hiện tượng tụt nướu. Với chu trình hình thành vôi răng trung bình là 3 đến 6 tháng, việc cạo vôi răng định kỳ 6 tháng một lần là đủ để kiểm soát hiệu quả mảng bám vôi hóa, tối ưu hóa lợi ích mà không gây hại cho cấu trúc răng.

Lấy cao răng có làm trắng răng hơn không?
Lấy cao răng có thể làm răng trông sáng và sạch hơn đáng kể, nhưng không phải là thủ thuật làm trắng răng theo đúng nghĩa đen. Cạo vôi răng giúp loại bỏ các mảng vôi răng (có màu vàng, nâu, đen) và các vết bám màu tích tụ trên bề mặt men răng do thức ăn, cà phê, trà và thuốc lá. Khi những yếu tố gây xỉn màu này được loại bỏ hoàn toàn và bề mặt răng được đánh bóng, màu sắc tự nhiên của men răng sẽ được trả lại, tạo ra cảm giác răng trắng sáng hơn, tăng tính thẩm mỹ rõ rệt.
Tuy nhiên, thủ thuật này không thay đổi màu sắc của răng. Để đạt được màu răng trắng hơn màu tự nhiên ban đầu của men răng, bạn cần thực hiện các phương pháp làm trắng răng chuyên sâu như tẩy trắng răng bằng hóa chất và đèn laser. Đây cũng là điều bạn cần lưu ý khi tìm hiểu thời gian cạo vôi răng định kỳ.
Như vậy 3 – 6 tháng là thời gian cạo vôi răng định kỳ hợp lý giúp loại bỏ vôi răng cứng đầu, ngăn chặn chu trình gây bệnh nha chu, bảo tồn xương hàm và giảm nguy cơ mắc các bệnh toàn thân nguy hiểm. Bằng cách tuân thủ lịch trình và duy trì vệ sinh răng miệng tại nhà một cách nghiêm túc, bạn đang đầu tư vào nụ cười rạng rỡ và sức khỏe lâu dài của chính mình. Nếu bạn còn bất kỳ thắc mắc nào khác, đừng ngần ngại liên hệ với True Dental qua số Hotline 090.6636.456 để được bác sĩ tư vấn chi tiết nhé!


Cấy Ghép IMPLANT
So sánh trụ Implant Titanium và Zirconia: Nên chọn loại nào cho cấy ghép?
Cấy ghép Implant là giải pháp phục hình...
Sức Khỏe Răng Miệng
Khám răng cho người bị tiểu đường: Lưu ý quan trọng để tránh biến chứng
Bệnh tiểu đường hay còn gọi là đái...
Sức Khỏe Răng Miệng
Thời gian cạo vôi răng định kỳ: Bao lâu 1 lần và lợi ích sức khỏe
Vôi răng (hay còn gọi là cao răng)...
Răng Sứ Thẩm Mỹ
Bọc răng sứ có đau khi ăn không? Giải đáp và cách giảm ê buốt
Bọc răng sứ có đau khi ăn không?...
Răng Sứ Thẩm Mỹ
Lợi ích bọc răng sứ cho khuôn mặt: Thẩm mỹ và sức khỏe vượt trội
Bọc răng sứ là phương pháp giúp khắc...
Răng Sứ Thẩm Mỹ
So sánh bọc răng sứ và dán veneer: Phương pháp nào phù hợp hơn?
Để khắc phục tình trạng răng ố vàng,...
Tôi đang tìm 1 Nha Khoa để điều trị cho tôi, nhưng rất lo lắng và sợ gặp phải NHA TẶC hoặc bị chèo kéo.
HÃY GIÚP TÔI TƯ VẤN THẬT
HƯỚNG DẪN ĐƯỜNG ĐI