Chi phí tẩy trắng răng tại nhà tại TP.HCM là câu hỏi nhiều người tìm kiếm khi muốn cải thiện màu răng một cách chủ động, linh hoạt và tiết kiệm hơn so với ngồi ghế nha khoa nhiều buổi. Thực tế, tẩy trắng răng bằng máng tại nhà là phương pháp được kiểm soát bởi bác sĩ nha khoa – không phải tự ý mua gel bôi ngoài siêu thị – và đang ngày càng phổ biến tại TP.HCM vì kết hợp được hiệu quả cao với chi phí hợp lý.
Tại Nha khoa True Dental, dịch vụ tẩy trắng răng tại nhà được thiết kế theo phác đồ cá nhân hóa: bác sĩ lấy dấu hàm, chế tạo máng riêng theo khuôn răng của từng người, điều chỉnh nồng độ gel phù hợp với tình trạng men răng và độ nhạy cảm. Bài viết này cung cấp đầy đủ thông tin về chi phí tẩy trắng răng tại nhà tại TP.HCM, quy trình thực hiện và những điều cần lưu ý trước khi quyết định.
Chi phí tẩy trắng răng tại nhà tại TP.HCM – con số thực tế và những điều bảng giá không nói
Chi phí tẩy trắng răng tại nhà tại TP.HCM tại các nha khoa uy tín dao động từ 1.500.000–3.500.000 đồng cho một liệu trình đầy đủ hai hàm. Mức giá này bao gồm: thăm khám tình trạng răng miệng ban đầu, lấy dấu hàm, chế tạo máng tẩy cá nhân hóa và bộ gel tẩy trắng đủ dùng cho toàn liệu trình 2–4 tuần.
Điều quan trọng mà nhiều bảng giá không nói rõ: máng tẩy trắng do nha khoa chế tạo có thể tái sử dụng nhiều lần trong năm. Khi cần duy trì màu sau 3–6 tháng, bạn chỉ cần mua thêm ống gel tẩy (chi phí thấp hơn đáng kể so với liệu trình mới) mà không cần làm lại máng. Điều này làm cho chi phí tẩy trắng răng tại nhà về dài hạn thực sự rẻ hơn các phương pháp khác khi tính tổng chi phí trên một năm sử dụng.
Tẩy trắng răng tại nhà bằng máng là gì? Cơ chế hoạt động theo tiêu chuẩn nha khoa
Tẩy trắng răng tại nhà bằng máng là phương pháp làm trắng răng được giám sát bởi bác sĩ nha khoa, trong đó bệnh nhân thực hiện liệu trình tại nhà theo đúng hướng dẫn cá nhân hóa. Đây là phương pháp được Hiệp hội Nha khoa Hoa Kỳ (ADA) xếp loại an toàn và hiệu quả khi thực hiện đúng cách dưới sự giám sát của nha sĩ.
Hoạt chất chính trong gel tẩy trắng là Hydrogen Peroxide hoặc Carbamide Peroxide. Khi tiếp xúc với men răng, các phân tử này khuếch tán qua bề mặt men vào lớp ngà bên trong và phá vỡ cấu trúc các chromophore (chuỗi phân tử màu) gây ố vàng thông qua phản ứng oxy hóa. Gel được giữ tiếp xúc liên tục với răng nhờ máng tẩy vừa khít – đây là lý do máng cá nhân hóa quan trọng hơn máng mua sẵn ngoài thị trường.
Nồng độ Carbamide Peroxide trong gel tẩy trắng tại nhà thường là 10%–22%, thấp hơn so với gel dùng tại phòng khám (35%–44%). Nồng độ thấp hơn nhưng thời gian tiếp xúc dài hơn (2–8 giờ/ngày) cho phép quá trình làm trắng diễn ra từ từ và ít gây ê buốt hơn – phù hợp với người có răng nhạy cảm.

So sánh chi phí tẩy trắng răng tại nhà, Laser và miếng dán – bảng đối chiếu đầy đủ
Trước khi quyết định chi phí tẩy trắng răng tại nhà tại TP.HCM có phù hợp với bạn không, bảng đối chiếu sau giúp nhìn rõ toàn bức tranh theo nhiều góc độ:
Tiêu chí | Tẩy trắng tại nhà (máng + gel) | Laser Whitening tại phòng khám | Miếng dán OTC (tự mua ngoài) |
Chi phí ban đầu | 1.500.000/ liệu trình | 2.500.000 đ / buổi | 100.000–400.000/ hộp |
Tổng chi phí thực tế (1 năm) | 1.500.000–3.000.000 | 2.500.000–5.000.000 | 1.200.000–5.000.000 (dùng liên tục) |
Thời gian thấy kết quả | 10–14 ngày (tăng dần) | 1 buổi (45–60 phút) | 2–4 tuần (không đều) |
Mức nâng tông màu | 4–8 tông (linh hoạt theo nhu cầu) | 4–6 tông / buổi | 1–3 tông (hạn chế) |
Phù hợp với răng nhạy cảm | Tốt – gel nồng độ thấp, tiếp xúc dần | Trung bình – cần xử lý ê buốt trước | Kém – không kiểm soát nồng độ |
Yêu cầu thăm khám bác sĩ | Có – lấy dấu, tư vấn nồng độ | Có – thăm khám trước khi thực hiện | Không – tự làm, không theo dõi |
Độ bền màu (duy trì) | 6–12 tháng (có thể gia hạn dễ dàng) | 6–18 tháng (tùy chế độ ăn) | 2–4 tháng (nhanh phai) |
Nhìn vào bảng, phương pháp tẩy trắng tại nhà bằng máng nha khoa là lựa chọn cân bằng nhất giữa chi phí, hiệu quả và an toàn cho đa số bệnh nhân tại TP.HCM – đặc biệt với người có răng nhạy cảm hoặc muốn kiểm soát tốc độ làm trắng theo từng mức độ phù hợp.
Quy trình tẩy trắng răng tại nhà đúng chuẩn tại Nha khoa True Dental – từng bước chi tiết
Bước 1 – Thăm khám và đánh giá tình trạng răng miệng
Bác sĩ kiểm tra toàn bộ tình trạng răng, xác định mức độ ố vàng theo bảng màu Vita, phát hiện các bệnh lý cần điều trị trước (sâu răng, viêm nướu). Bước này quyết định bạn có đủ điều kiện tẩy trắng ngay hay cần điều trị chuẩn bị trước.
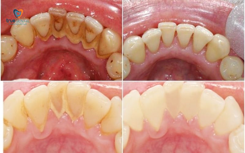
Bước 2 – Cạo vôi và đánh bóng bề mặt răng
Cạo vôi răng là bước chuẩn bị bắt buộc trước khi tẩy trắng. Lớp mảng bám và vôi răng trên bề mặt cản trở gel tẩy tiếp xúc đều với men răng – bỏ qua bước này làm giảm hiệu quả và tạo ra màu không đồng đều.
Bước 3 – Lấy dấu hàm và chế tạo máng cá nhân hóa
Bác sĩ lấy dấu khuôn hàm của bạn để sản xuất máng tẩy trắng vừa khít chính xác. Máng quá rộng sẽ để gel rỉ ra ngoài gây ê buốt nướu; máng quá chật gây khó chịu khi đeo. Tại Nha khoa True Dental, máng được thiết kế với lớp tường chứa gel đủ dày để giữ thuốc tiếp xúc toàn bộ mặt răng suốt thời gian đeo.
Bước 4 – Hướng dẫn sử dụng và nhận bộ gel về nhà
Bạn được hướng dẫn chi tiết: cách bơm gel đúng lượng vào máng (chỉ một lớp mỏng, không cần đầy), thời gian đeo, cách vệ sinh máng sau sử dụng và các dấu hiệu cần liên hệ bác sĩ. Nồng độ gel được điều chỉnh theo cơ địa: người nhạy cảm dùng nồng độ thấp hơn, đeo ngắn hơn.
Bước 5 – Tái khám đánh giá và tư vấn duy trì
Sau 2–4 tuần, bạn tái khám để bác sĩ đánh giá mức độ trắng đạt được, điều chỉnh phác đồ nếu cần và hướng dẫn cách duy trì màu răng dài hạn. Đây là bước nhiều phòng nha bỏ qua nhưng Nha khoa True Dental thực hiện để đảm bảo kết quả bền đẹp và cá nhân hóa tối đa.

Lịch trình sử dụng máng tẩy trắng theo tuần – kết quả thực tế bạn có thể kỳ vọng
Một câu hỏi phổ biến về tẩy trắng răng tại nhà tại TP.HCM là bao lâu thì thấy kết quả. Dưới đây là lịch trình và kết quả thực tế theo từng tuần:
Tuần | Thời gian đeo máng/ngày | Hiệu quả ghi nhận | Lưu ý chăm sóc |
Tuần 1 (Ngày 1–7) | 2–4 giờ (ban ngày) hoặc qua đêm theo hướng dẫn | Màu răng bắt đầu sáng hơn 1–2 tông; có thể ê nhẹ ngày đầu | Nếu ê buốt nhiều: giảm xuống 1–2 giờ/ngày; báo bác sĩ để điều chỉnh nồng độ gel |
Tuần 2 (Ngày 8–14) | 2–4 giờ/ngày (duy trì đều đặn) | Trắng thêm 2–4 tông; ổn định hơn; gần đạt màu mục tiêu | Kiêng cà phê, trà, nước ngọt sẫm màu; đánh răng trước khi đeo máng |
Tuần 3–4 (Tùy mức nhiễm màu) | Tiếp tục hoặc giảm tần suất theo chỉ dẫn | Đạt màu mục tiêu 4–8 tông; màu đồng đều toàn hàm | Tái khám để bác sĩ đánh giá và tư vấn bảo trì màu |
Duy trì (Sau 3–4 tháng) | 1–2 tối/tuần trong 1–2 tuần | Phục hồi màu nếu có phai nhẹ; duy trì kết quả dài hạn | Ưu điểm độc quyền: máng đã có sẵn, chỉ mua thêm gel – tiết kiệm chi phí duy trì |
(*) Kết quả có thể khác nhau tùy mức độ ố vàng ban đầu, cơ địa men răng và tần suất sử dụng. Bác sĩ sẽ điều chỉnh liệu trình cụ thể sau thăm khám.
Ai phù hợp và ai không phù hợp với tẩy trắng răng tại nhà tại TP.HCM?
Tẩy trắng răng tại nhà tại TP.HCM không phải phương án phù hợp với tất cả mọi người. Bảng dưới đây giúp bạn xác định nhanh trước khi đặt lịch:
Tình trạng / đặc điểm | Phù hợp với tẩy trắng tại nhà? | Ghi chú tư vấn |
Răng ố vàng do cà phê, trà, hút thuốc nhẹ đến vừa | Rất phù hợp | Phương pháp tối ưu – hiệu quả cao, giá tốt nhất |
Răng nhạy cảm, ê buốt nhẹ | Phù hợp với gel nồng độ thấp (10%) | Bác sĩ điều chỉnh nồng độ Carbamide Peroxide phù hợp cơ địa |
Người bận rộn, không sắp xếp được lịch nha khoa ban ngày | Lý tưởng – đeo máng buổi tối tại nhà | Linh hoạt hoàn toàn về thời gian sau khi đã lấy dấu máng |
Răng nhiễm tetracycline nặng (vàng xám đậm do kháng sinh) | Không đủ hiệu quả nếu dùng đơn lẻ | Cần kết hợp Laser + tẩy tại nhà dài hơi hoặc cân nhắc veneer |
Có bọc sứ, veneer hoặc trám composite nhiều mặt trước | Cần thăm khám trước | Thuốc tẩy chỉ tác dụng trên răng thật – màu có thể không đồng đều với răng sứ |
Đang mang thai hoặc cho con bú | Không khuyến nghị | Hoãn đến sau khi cai sữa; răng vẫn còn thời gian để tẩy hiệu quả |
Đang sâu răng, viêm nướu chưa điều trị | Chưa được thực hiện | Bắt buộc điều trị bệnh lý trước; tẩy trắng trên răng bệnh lý gây đau và giảm hiệu quả |
Những yếu tố ảnh hưởng chi phí tẩy trắng răng tại nhà tại TP.HCM
Chi phí tẩy trắng răng tại nhà tại TP.HCM không phải một con số cố định mà phụ thuộc vào nhiều yếu tố bạn cần biết để không bị bất ngờ:
Nồng độ và loại gel tẩy trắng
Gel tẩy trắng nhập khẩu chính hãng từ các thương hiệu như Opalescence (Mỹ), Philips Zoom NiteWhite hay Ultradent Perfecta có chất lượng ổn định và được kiểm định nghiêm ngặt về nồng độ và độ pH an toàn cho men. Gel không rõ nguồn gốc có giá rẻ hơn nhưng nồng độ không kiểm soát, có thể gây tổn thương men và nướu vĩnh viễn.
Tình trạng ố vàng và số tuần cần thực hiện
Răng ố nhẹ (1–2 tông) thường hoàn thành trong 2 tuần. Răng ố nặng do thuốc lá, cà phê nhiều năm hoặc nhiễm fluor nhẹ có thể cần 3–4 tuần và lượng gel nhiều hơn – ảnh hưởng đến chi phí tẩy trắng răng thực tế cuối cùng.
Cần điều trị bệnh lý nha khoa trước
Nếu trước khi tẩy trắng bạn cần cạo vôi, trám răng sâu, điều trị viêm nướu – đây là chi phí phát sinh độc lập nhưng bắt buộc để đảm bảo hiệu quả và an toàn. Không nên tính đây là chi phí ‘tẩy trắng đắt hơn’ mà nên xem là chi phí điều trị bệnh lý cần thiết.

Kiêng gì sau tẩy trắng răng tại nhà để kết quả bền lâu?
Sau khi hoàn thành liệu trình tẩy trắng răng tại nhà, men răng cần 24–48 giờ để tái khoáng hóa và ổn định màu. Trong thời gian này, men ở trạng thái nhạy cảm cao hơn và dễ hấp thu màu từ thực phẩm.
Tránh hoàn toàn trong 48 giờ đầu: cà phê, trà, nước ngọt sẫm màu, rượu vang đỏ, nước mắm, tương ớt và bất kỳ thực phẩm nào để lại vết màu trên đĩa trắng. Nguyên tắc đơn giản: nếu thức ăn hoặc đồ uống để lại vết màu trên đĩa trắng, hãy tránh trong 48 giờ đầu.
Hạn chế trong 2 tuần tiếp theo: giảm tần suất cà phê, trà đặc; súc miệng bằng nước sau khi uống; sử dụng ống hút nếu uống đồ uống có màu. Đồng thời chải răng và dùng chỉ nha khoa đều đặn để giảm tích tụ mảng bám – nguồn gốc chính của tái ố vàng.
Duy trì màu dài hạn: đeo máng tẩy 1–2 tối mỗi tháng (chỉ mua thêm gel, không cần làm máng mới) là cách tiết kiệm nhất để duy trì hàm răng trắng lâu dài và kiểm soát chi phí tẩy trắng răng tại nhà ở mức thấp.
Xem thêm:
Lợi ích dùng kem đánh răng fluoride – Sự thật nha sĩ muốn bạn nắm rõ ngay hôm nay
So sánh máy tăm nước và chỉ nha khoa – hướng dẫn lựa chọn từ bác sĩ nha khoa
Khám răng ở người bị cao huyết áp – Những điều cần biết để điều trị an toàn
Bảng giá tẩy trắng răng tham khảo tại Nha khoa True Dental – TP.HCM
(*) Tất cả mức giá dưới đây là giá tham khảo. Chi phí thực tế phụ thuộc vào tình trạng răng miệng cụ thể và phác đồ điều trị được cá nhân hóa sau thăm khám trực tiếp.
Dịch vụ | Giá tham khảo | Đơn vị |
Tẩy trắng răng tại nhà (máng gel chuyên dụng) | 1.500.000 | Hai hàm |
Tẩy trắng răng Laser Whitening tại phòng khám | 2.500.000 | Hai hàm |
Cạo vôi răng + Đánh bóng cấp 1 (bước chuẩn bị) | 300.000 | Hai hàm |
Cạo vôi răng + Đánh bóng cấp 2 | 500.000 | Hai hàm |
Trám răng thẩm mỹ (chuẩn bị trước tẩy trắng) | 300.000–1.000.000 | Răng |
Bọc sứ Zirconia (kết hợp sau tẩy trắng) | từ 4.500.000 | Răng |
Bọc sứ Emax (cao cấp – thẩm mỹ tối ưu) | từ 9.500.000 | Răng |
Nha khoa True Dental – Địa chỉ và liên hệ
CN1: 254 Điện Biên Phủ, Phường Xuân Hòa, TP. HCM
CN2: 10 Nguyễn Văn Trỗi, Phường Phú Nhuận, TP. HCM
Hotline: 090 6636 456.
Website: truedental.vn.
Đặt lịch thăm khám để được tư vấn chi phí tẩy trắng răng tại nhà tại TP.HCM phù hợp với tình trạng và mục tiêu màu răng của riêng bạn tại Nha khoa True Dental.
Kết luận
Chi phí tẩy trắng răng tại nhà tại TP.HCM từ 1.500.000 đồng tại Nha khoa True Dental là mức đầu tư có giá trị thực sự khi bạn nhận được máng tẩy cá nhân hóa, gel chính hãng được kiểm soát nồng độ và phác đồ có theo dõi từ bác sĩ – không phải sản phẩm tự ý mua ngoài tiệm. Đây là phương pháp tối ưu về mặt chi phí – hiệu quả – an toàn cho đa số người muốn cải thiện màu răng tại TP.HCM, đặc biệt với người bận rộn, răng nhạy cảm hoặc muốn kiểm soát tốc độ làm trắng theo cách riêng của mình.
Nếu bạn đang cân nhắc tẩy trắng răng tại nhà, hãy bắt đầu bằng một buổi thăm khám miễn phí tại Nha khoa True Dental để bác sĩ đánh giá tình trạng răng và tư vấn phương án phù hợp nhất – thay vì tự mua gel tẩy không kiểm soát có thể gây ê buốt và tổn thương men vĩnh viễn.


Răng Sứ Thẩm Mỹ
Bọc sứ thẩm mỹ bao gồm những gì trong gói? Giải đáp chi tiết từ chuyên gia True Dental
Nhiều người trước khi đến nha khoa đều...
Răng Sứ Thẩm Mỹ
Bọc sứ thẩm mỹ khách hàng True Dental hài lòng không? Đánh giá thực tế từ bác sĩ và bệnh nhân
Bọc sứ thẩm mỹ khách hàng True Dental...
Sức Khỏe Răng Miệng
Nhổ răng không đau tại TPHCM – Quy trình an toàn và giá tham khảo tại Nha khoa True Dental
Bạn đang lo lắng về cơn đau khi...
Sức Khỏe Răng Miệng
Điều trị nha chu TPHCM Quận 3 – Giải pháp toàn diện tại Nha khoa True Dental
Bạn đang tìm địa chỉ điều trị nha...
Niềng Răng - Chỉnh Nha
Niềng răng Quận 3 TPHCM giá rẻ – Bảng giá thực tế và địa chỉ uy tín 2026
Niềng răng Quận 3 TPHCM giá rẻ ở...
Niềng Răng - Chỉnh Nha
Niềng răng 3D scan có phải mất tiền thêm không? Giải đáp minh bạch từ True Dental
Niềng răng 3D scan có phải mất tiền...
Tôi đang tìm 1 Nha Khoa để điều trị cho tôi, nhưng rất lo lắng và sợ gặp phải NHA TẶC hoặc bị chèo kéo.
HÃY GIÚP TÔI TƯ VẤN THẬT
HƯỚNG DẪN ĐƯỜNG ĐI