Mắc cài bị lung lay không chỉ gây khó chịu mà còn có thể ảnh hưởng đến hiệu quả chỉnh nha của bạn. Để đảm bảo quá trình niềng răng diễn ra an toàn và đúng lộ trình, bạn nên tìm hiểu kỹ các nguyên nhân, dấu hiệu và kịp thời đến nha khoa để thăm khám, xử lý, tránh gây gián đoạn quá trình niềng răng.
Nguyên nhân gây ra tình trạng mắc cài bị lung lay
Tình trạng mắc cài bị lung lay hoặc rơi ra là dấu hiệu bất thường trong quá trình chỉnh nha mà bạn không nên chủ quan. Hiểu rõ nguyên nhân sẽ giúp bạn phòng tránh hiệu quả và xử lý kịp thời khi gặp sự cố.

Dưới đây là chi tiết về những lý do phổ biến khiến mắc cài dễ bị lung lay hoặc bong rơi trong quá trình niềng răng:
Do lực kéo chỉnh nha
Trong quá trình niềng răng, mắc cài đóng vai trò như điểm tựa để dây cung tạo lực dịch chuyển răng. Mỗi mắc cài được gắn cố định trên mặt ngoài (hoặc mặt trong) của răng bằng keo chuyên dụng. Khi dây cung được lắp vào hệ thống mắc cài, lực kéo sẽ tác động liên tục, đưa răng dần dần về đúng vị trí.
Tuy nhiên, nếu lực kéo chỉnh nha quá mạnh hoặc phân bố không đều, không được tính toán chính xác có thể gây áp lực quá mức lên keo dán hoặc chính mắc cài, dẫn đến tình trạng mắc cài bị lung lay hoặc bung ra.
Lỗi kỹ thuật trong quá trình gắn mắc cài
Việc gắn mắc cài đòi hỏi độ chính xác cao nên phải do bác sĩ có chuyên môn, kinh nghiệm thực hiện. Nếu thao tác không đúng kỹ thuật như: không làm sạch bề mặt men răng, gắn lệch vị trí mắc cài, bôi keo không đều hoặc không xử lý khô hoàn toàn bề mặt răng trước khi dán, sẽ khiến lực bám giữa mắc cài và răng yếu đi.
Ngoài ra, lực việc điều chỉnh lực kéo trong các lần tái khám cũng có ảnh hưởng đến mắc cài. Nếu bác sĩ siết dây cung quá mạnh ở giai đoạn đầu, răng có thể chịu áp lực lớn quá sớm, dẫn đến viêm nha chu hoặc mắc cài bị lung lay.
Sử dụng mắc cài, keo dán kém chất lượng
Việc sử dụng khí cụ chỉnh nha không rõ nguồn gốc hoặc keo dán không đạt tiêu chuẩn y khoa sẽ làm giảm độ bám dính của mắc cài lên răng. Chỉ cần một tác động nhẹ hoặc sau một thời gian sử dụng, mắc cài có thể tự bong ra, làm gián đoạn quá trình điều trị. Đây là lý do bạn nên điều trị tại cơ sở uy tín với vật liệu chất lượng cao.
Vệ sinh răng miệng sai cách
Vệ sinh không đúng kỹ thuật là một trong những nguyên nhân phổ biến khiến mắc cài bị lung lay. Chải răng quá mạnh, dùng bàn chải không phù hợp hoặc sử dụng máy tăm nước với áp lực quá cao có thể làm bong sút mắc cài hoặc dây cung. Ngoài ra, việc không làm sạch kỹ khu vực quanh mắc cài dễ dẫn đến viêm nướu, tiêu xương, làm chân răng yếu đi – từ đó gây hiện tượng răng lung lay, khiến mắc cài không còn giữ được độ ổn định ban đầu.
Chế độ ăn uống không hợp lý
Ăn thực phẩm quá cứng (như đá viên, mía, các loại hạt còn vỏ), quá dẻo (kẹo kéo, bánh dẻo) hoặc quá dai (thịt khô, kẹo gum) có thể khiến lực nhai tác động trực tiếp lên mắc cài, khiến chúng bị bung hoặc gãy. Ngoài ra, ăn uống không kiêng khem còn tạo áp lực lên dây cung và khớp cắn, làm ảnh hưởng đến tiến trình điều trị.
Dấu hiệu nhận biết mắc cài bị lung lay
Khi mắc cài niềng răng bị lỏng hoặc rơi, người dùng thường xuất hiện những triệu chứng dễ nhận thấy. Phát hiện sớm giúp bạn điều chỉnh kịp thời, tránh gián đoạn quá trình chỉnh nha và các biến chứng không mong muốn.

Những dấu hiệu cho thấy mắc cài bị lung lat bao gồm:
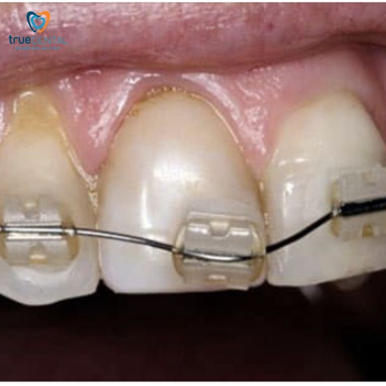
- Mắc cài di chuyển khi chạm tay hoặc dùng lưỡi đẩy: Khi bạn dùng lưỡi hoặc tay chạm vào mà cảm thấy mắc cài xê dịch nhẹ, rất có thể nó đã không còn dính chặt vào răng.
- Cảm giác lỏng lẻo, không chắc chắn như lúc mới gắn: Khi mắc cài không còn ôm sát răng, bạn sẽ thấy nó “không chắc” như trước, gây khó chịu mỗi khi nhai hoặc vệ sinh.
- Bị cộm, vướng víu bất thường: Khi mắc cài lệch khỏi vị trí ban đầu, bạn có thể thấy cấn vào má trong, môi hoặc gây khó chịu khi ăn nhai.
- Dây cung trượt ra khỏi rãnh mắc cài: Đây là dấu hiệu rõ ràng cho thấy mắc cài đang không giữ được dây cung đúng vị trí, làm ảnh hưởng đến quá trình dịch chuyển răng.
- Đau nhức tại một vị trí cụ thể: Nếu cảm thấy ê buốt, đau tại một điểm cố định trên răng, rất có thể mắc cài ở đó đang bị lỏng hoặc sắp bong ra.
Mắc cài bị lung lay có nguy hiểm không?
Tình trạng mắc cài bị lung lay tưởng chừng đơn giản, nhưng nếu không được xử lý kịp thời có thể gây nguy hiểm đến quá trình niềng răng. Mức độ nguy hiểm tùy thuộc vào nguyên nhân và thời gian bạn phát hiện, can thiệp.

Những ảnh hưởng xấu có thể xảy ra khi mắc cài bị lung lay bao gồm:
- Kéo dài, làm gián đoạn quá trình niềng răng: Khi mắc cài bị lỏng, lực kéo không còn được truyền đúng theo kế hoạch chỉnh nha ban đầu. Điều này khiến răng không di chuyển đúng hướng hoặc chậm tiến độ, từ đó kéo dài thời gian điều trị đáng kể.
- Tăng nguy cơ răng bị lệch hoặc sai khớp cắn: Nếu mắc cài không cố định chắc chắn, răng có thể dịch chuyển lệch hướng, gây mất cân đối khớp cắn. Trường hợp nghiêm trọng còn dẫn đến sai lệch toàn hàm, cần chỉnh sửa lại từ đầu.
- Gây viêm nướu, tổn thương mô mềm: Mắc cài lỏng dễ cọ xát vào má, môi hoặc lợi, tạo vết xước gây đau rát, lở loét. Ngoài ra, vùng nướu quanh răng lung lay dễ bị viêm, tụt lợi nếu không được vệ sinh và điều chỉnh kịp thời.
- Làm răng lung lay thật: Khi mắc cài không giữ được đúng vị trí, răng phải chịu lực không đều hoặc quá mức tại một số điểm, làm tiêu xương ổ răng hoặc tổn thương dây chằng quanh răng. Tình trạng này khiến răng thật bị lung lay, không chỉ trong lúc niềng mà còn sau khi tháo khí cụ.
- Ảnh hưởng đến kết quả thẩm mỹ sau niềng: Nếu không điều chỉnh lại đúng thời điểm, việc sai lệch vị trí răng trong quá trình niềng có thể dẫn đến kết quả cuối cùng không đạt như mong muốn: răng xô lệch, không cân đối, nụ cười thiếu hài hòa.
Cách khắc phục khi mắc cài bị lung lay
Khi mắc cài lung lay hoặc rơi, việc khắc phục đúng cách giúp tránh gián đoạn và tổn hại đến hiệu quả chỉnh nha. Dưới đây là các bước cụ thể bạn nên thực hiện:
- Kiểm tra và bảo quản tạm thời: Nếu mắc cài lung lay sau đó bị bung hoàn toàn, hãy giữ lại mắc cài và bảo quản trong hộp sạch. Điều này giúp bác sĩ dễ dàng gắn lại mà không cần thay thế khí cụ mới.
- Xử lý tạm thời: Nếu dây cung hoặc mắc cài lòi ra gây vướng, bạn có thể đẩy nhẹ bằng tăm bông hoặc gạc sạch để tránh tổn thương môi, má. Có thể dùng sáp nha khoa làm lớp đệm che đầu dây cung sắc, giảm vết xước tạm thời
- Liên hệ bác sĩ sớm: Gọi ngay cho nha sĩ để được tư vấn và hỗ trợ xử lý kịp thời khi phát hiện mắc cài có dấu hiệu lung lay hoặc bị bung keo. Tránh tự ý xử trí hay dán lại mắc cài tại nhà vì việc này sẽ dẫn đến sai lệch lộ trình niềng hoặc tổn thương mô mềm.

Biện pháp phòng ngừa mắc cài lung lay khi chỉnh nha
Phòng ngừa từ sớm là cách tốt nhất để tránh tình trạng mắc cài bị lung lay gây ảnh hưởng đến hiệu quả chỉnh nha. Dưới đây là các biện pháp thiết thực giúp bạn duy trì mắc cài ổn định trong suốt quá trình niềng răng:
- Lựa chọn nha khoa uy tín và bác sĩ giàu kinh nghiệm: Chất lượng điều trị phụ thuộc lớn vào tay nghề bác sĩ và hệ thống khí cụ sử dụng. Hãy chọn cơ sở có chuyên môn chỉnh nha rõ ràng, sử dụng mắc cài chính hãng và thực hiện đúng quy trình kỹ thuật từ đầu.
- Tuân thủ lịch tái khám định kỳ: Việc thăm khám đúng hẹn giúp bác sĩ kiểm tra lực kéo, điều chỉnh mắc cài và phát hiện sớm các dấu hiệu bất thường như lỏng, lệch hoặc nguy cơ bung mắc cài.
- Vệ sinh răng miệng đúng cách: Sử dụng bàn chải lông mềm, chải nhẹ nhàng theo chiều dọc và quanh mắc cài. Dùng chỉ nha khoa hoặc máy tăm nước để làm sạch kẽ răng mà không ảnh hưởng đến khí cụ. Tránh các thao tác mạnh gây bật mắc cài hoặc tổn thương nướu.
- Hạn chế ăn các loại thực phẩm dễ làm bung mắc cài: Tránh các món quá cứng (kẹo cứng, đá viên), quá dẻo (kẹo kéo, bánh dẻo) hoặc quá dai (mực khô, thịt gân…). Cắt nhỏ thức ăn để giảm lực nhai trực tiếp lên mắc cài và dây cung.
- Điều trị triệt để các bệnh lý răng miệng trước khi niềng: Nếu đang bị sâu răng, viêm nướu hoặc viêm nha chu, cần được điều trị dứt điểm trước khi gắn mắc cài. Nền răng chắc khỏe là điều kiện tiên quyết để mắc cài bám tốt và ổn định lâu dài.

Một số câu hỏi thường gặp
Trong quá trình niềng răng, nhiều người không khỏi lo lắng khi gặp tình trạng mắc cài bị lung lay hoặc bung rơi. Dưới đây là những câu hỏi thường gặp liên quan đến vấn đề này, giúp bạn hiểu rõ và chủ động xử lý khi cần thiết.
Mắc cài bị lung lay có cần thay không?
Mắc cài bị lung lay không phải lúc nào cũng cần thay mới. Nếu mắc cài còn nguyên vẹn, bác sĩ có thể gắn lại bằng keo chuyên dụng. Trường hợp hư hỏng hoặc bung hoàn toàn thì cần thay mới để đảm bảo hiệu quả chỉnh nha
Gắn mắc cài có làm răng bị lung lay không?
Gắn mắc cài có thể khiến răng hơi lung lay nhẹ trong giai đoạn đầu do lực kéo tác động để di chuyển răng. Đây là phản ứng sinh lý bình thường và sẽ ổn định dần theo thời gian. Tuy nhiên, nếu răng lung lay nhiều, kéo dài hoặc kèm theo đau nhức, bạn nên đến bác sĩ kiểm tra.
Mắc cài bị lung lay có phải là dấu hiệu của việc điều trị sai cách không?
Mắc cài bị lung lay không hoàn toàn là dấu hiệu của điều trị sai cách, nhưng đây có thể là dấu hiệu cảnh báo bất thường trong quá trình niềng. Tình trạng này có thể do kỹ thuật gắn mắc cài chưa chuẩn, lực kéo không phù hợp, hoặc do người niềng chăm sóc răng miệng sai cách. Để xác định chính xác nguyên nhân, bạn nên đến bác sĩ kiểm tra càng sớm càng tốt.
Có thể tự gắn lại mắc cài tại nhà khi bị lung lay không?
Không nên tự gắn lại mắc cài tại nhà khi bị lung lay. Việc này có thể làm sai lệch vị trí mắc cài, ảnh hưởng đến lực chỉnh nha và gây tổn thương mô mềm hoặc men răng. Tốt nhất, bạn nên đến nha khoa để bác sĩ kiểm tra và xử lý đúng kỹ thuật.
XEM THÊM:
Mắc cài bị lung lay là dấu hiệu bạn không nên xem nhẹ trong quá trình chỉnh nha, vì nó có thể ảnh hưởng trực tiếp đến hiệu quả điều trị và sức khỏe răng miệng lâu dài. Việc phát hiện sớm, xử lý đúng cách và tuân thủ hướng dẫn từ bác sĩ sẽ giúp bạn duy trì lực kéo ổn định và rút ngắn thời gian niềng.
Nếu bạn đang gặp tình trạng mắc cài lung lay hoặc có bất kỳ dấu hiệu bất thường nào khi niềng răng, hãy liên hệ ngay với True Dental để được thăm khám và điều chỉnh kịp thời – đảm bảo quá trình chỉnh nha diễn ra an toàn, hiệu quả và đúng lộ trình.


Niềng Răng - Chỉnh Nha
Niềng răng cho người bị khớp cắn chéo: Quy trình và lợi ích nổi bật
Khớp cắn chéo là một dạng sai lệch...
Niềng Răng - Chỉnh Nha
Rủi ro niềng răng bị lệch sau: Nguyên nhân và cách phòng ngừa triệt để
Bạn đang chuẩn bị niềng răng hoặc vừa...
Niềng Răng - Chỉnh Nha
Thời gian niềng răng cho răng thưa: Bao lâu có hàm răng đều đẹp?
Răng thưa không chỉ gây ảnh hưởng đến...
Niềng Răng - Chỉnh Nha
Địa chỉ niềng răng uy tín tại Sài Gòn: Top 10 nha khoa chất lượng 2025
Sài Gòn là nơi quy tụ hàng trăm...
Niềng Răng - Chỉnh Nha
Niềng răng mắc cài lingual có tốt không? Đánh giá hiệu quả và chi phí
Niềng răng (chỉnh nha) là phương pháp khắc...
Niềng Răng - Chỉnh Nha
Niềng răng có đau khi siết không? Cách giảm đau hiệu quả từ bác sĩ
Niềng răng là một hành trình dài và...
Tôi đang tìm 1 Nha Khoa để điều trị cho tôi, nhưng rất lo lắng và sợ gặp phải NHA TẶC hoặc bị chèo kéo.
HÃY GIÚP TÔI TƯ VẤN THẬT
HƯỚNG DẪN ĐƯỜNG ĐI