Trong số các giải pháp phục hình răng thẩm mỹ hiện nay, dán sứ Veneer được xem là phương pháp phổ biến nhờ tính thẩm mỹ cao và khả năng bảo tồn được tối răng thật. Tuy nhiên, liệu răng mọc lệch có làm thẩm mỹ răng sứ Veneer được không? Bài viết này sẽ giải đáp chi tiết cho Cô, Chú/ Anh, Chị về câu hỏi này.
Thế nào là răng mọc lệch lạc?
Răng mọc lệch lạc là tình trạng răng không nằm đúng vị trí trên cung hàm. Tình trạng này bao gồm các hiện tượng như răng chen chúc, xoay, nghiêng, mọc lệch ra ngoài hoặc quá sâu vào bên trong. Răng bị mọc lệch không chỉ gây mất thẩm mỹ mà còn dẫn đến nhiều ảnh hưởng xấu như:
- Khó khăn khi ăn nhai: Răng mọc lệch khiến lực nhai không phân bổ đồng đều, ảnh hưởng đến khả năng nghiền nát thức ăn.
- Dễ gây bệnh lý răng miệng: Kẽ răng lệch tạo điều kiện cho mảng bám tích tụ, khó làm sạch bằng bàn chải thông thường, lâu dần có thể gây ra nhiều bệnh lý như sâu răng, viêm nha chu, viêm nướu…
- Ảnh hưởng sức khỏe toàn thân: Thức ăn không được nhai kỹ dễ dẫn đến các bệnh lý về tiêu hóa, dạ dày.
- Gây mất thẩm mỹ: Răng mọc lệch lạc quá nhiều khiến nụ cười trở nên kém duyên, ảnh hưởng thẩm mỹ khuôn mặt, gây mất tự tin cho nhiều người.
![[Giải đáp] Răng mọc lệch có làm thẩm mỹ răng sứ Veneer được không? 1 răng mọc lệch có nên thẩm mỹ răng sứ Veneer](https://truedental.vn/wp-content/uploads/2024/11/rang-moc-lech-co-lam-tham-my-rang-su-veneer-duoc-khong-2.jpg)
ĐỌC THÊM: [GIẢI ĐÁP] RĂNG KHỂNH CÓ DÁN SỨ VENEER ĐƯỢC KHÔNG?
Nguyên nhân dẫn đến tình trạng răng mọc lệch cần quan tâm
Răng mọc lệch có làm thẩm mỹ răng sứ Veneer được không là thắc mắc chung của nhiều người, nhưng trước tiên cần hiểu rõ nguyên nhân gây ra tình trạng này. Việc nắm được căn nguyên giúp bệnh nhân có cái nhìn tổng quan hơn về phương pháp điều trị phù hợp.
Các yếu tố di truyền từ bố mẹ đóng vai trò quan trọng trong cấu trúc hàm răng. Nếu cha mẹ có răng mọc lệch lạc thì con cái cũng có khả năng cao gặp phải tình trạng tương tự. Cấu trúc xương hàm hẹp hoặc răng to không phù hợp với kích thước hàm sẽ khiến răng không đủ không gian để mọc đều, dẫn đến hiện tượng chen chúc và lệch lạc.
Thói quen sinh hoạt trong giai đoạn phát triển cũng ảnh hưởng đáng kể. Trẻ em có thói quen mút tay, mút ti giả kéo dài hoặc thở bằng miệng thường xuyên sẽ tạo áp lực lên răng và hàm, khiến răng bị đẩy lệch khỏi vị trí tự nhiên. Việc mất răng sữa quá sớm mà không có biện pháp duy trì khoảng trống cũng làm răng kế bên dịch chuyển, ảnh hưởng đến răng vĩnh viễn mọc sau này.
Chấn thương vùng hàm mặt do tai nạn hoặc va đập mạnh có thể làm răng bị lệch khỏi vị trí ban đầu. Các bệnh lý về nướu như viêm nha chu làm yếu mô nâng đỡ răng, dần dần răng sẽ lung lay và thay đổi vị trí. Tình trạng này nếu không được điều trị kịp thời sẽ ngày càng trầm trọng hơn.
Hiểu rõ nguyên nhân giúp bệnh nhân nhận thức được tầm quan trọng của việc can thiệp sớm. Khi đã xác định được nguyên nhân cụ thể, bác sĩ tại True Dental sẽ đưa ra phương án điều trị tối ưu, bao gồm cả việc đánh giá xem răng mọc lệch có làm thẩm mỹ răng sứ Veneer được không hay cần kết hợp các phương pháp khác.
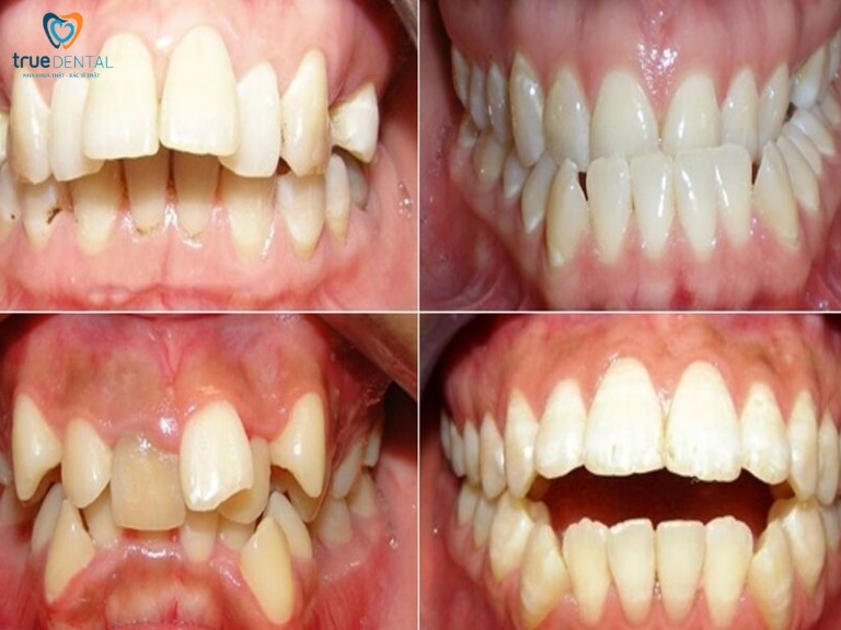
Răng mọc lệch có làm Thẩm mỹ răng sứ Veneer được không?
Răng mọc lệch có làm thẩm mỹ răng sứ Veneer được không? Câu trả lời là có, nhưng điều này còn phụ thuộc vào mức độ lệch lạc của răng.
Theo bác sĩ True Dental, thẩm mỹ răng sứ Veneer là kỹ thuật dán một lớp sứ mỏng lên bề mặt ngoài của răng, giúp cải thiện màu sắc, hình dạng và vị trí răng. Tuy nhiên không phải trường hợp nào cũng có thể dán sứ Veneer để cải thiện khuyết điểm răng hàm. Đặc biệt với tình trạng răng mọc lệch lạc thì chỉ có thể làm thẩm mỹ sứ Veneer trong trường hợp mức độ lệch nhẹ, không gây ảnh hưởng đến khớp cắn, chẳng hạn như răng chỉ hơi xoay nhẹ hoặc lệch không đáng kể.
Răng mọc lệch có làm Thẩm mỹ răng sứ Veneer được không?
![[Giải đáp] Răng mọc lệch có làm thẩm mỹ răng sứ Veneer được không? 2 Răng mọc lệch có làm Thẩm mỹ răng sứ Veneer được không?](https://truedental.vn/wp-content/uploads/2024/11/rang-moc-lech-co-lam-tham-my-rang-su-veneer-duoc-khong-3.jpg)
Riêng với các trường hợp răng mọc lệch ở mức độ trung bình, không ảnh hưởng đến khả năng ăn nhai thì bác sĩ cũng có thể chỉ định dán sứ Veneer. Tuy nhiên cần lưu ý trong trường hợp này, mức độ mài răng có thể sẽ nhiều hơn. Do đó, cần chọn đúng nha khoa uy tín để đảm bảo có bác sĩ chuyên môn hỗ trợ thăm khám, tư vấn và thực hiện thẩm mỹ răng sứ Veneer theo đúng kỹ thuật, tránh tình trạng mài răng quá mức gây xâm lấn mô răng, ảnh hưởng đến tủy răng.
Đặc biệt, Cô, Chú/ Anh, Chị cũng nên lưu ý với những trường hợp răng mọc lệch nghiêm trọng, sai lệch khớp cắn thì không thể thực hiện Thẩm mỹ răng sứ Veneer. Do đó, để biết chính xác tình trạng răng mọc lệch của bản thân đang ở mức độ nào và cần
Các mức độ răng mọc lệch và khả năng áp dụng thẩm mỹ răng sứ Veneer
Để trả lời chính xác câu hỏi răng mọc lệch có làm thẩm mỹ răng sứ Veneer được không, bác sĩ cần đánh giá cụ thể từng mức độ lệch lạc. Mỗi trường hợp có đặc điểm riêng và yêu cầu phương pháp tiếp cận khác nhau.
Mức độ lệch nhẹ thường gặp ở những trường hợp răng chỉ hơi xoay hoặc nghiêng không đáng kể, khoảng cách lệch không quá hai milimet. Với tình trạng này, răng mọc lệch có làm thẩm mỹ răng sứ Veneer được không là hoàn toàn khả thi. Bác sĩ chỉ cần mài một lớp men răng mỏng khoảng từ năm đến bảy phần mười milimet để gắn miếng dán sứ, giúp cải thiện thẩm mỹ mà không ảnh hưởng nhiều đến cấu trúc răng thật.
Răng mọc lệch ở mức độ trung bình có độ lệch từ hai đến bốn milimet, răng có thể xoay hoặc nghiêng rõ rệt hơn nhưng chưa gây ảnh hưởng nghiêm trọng đến khớp cắn. Trong trường hợp này, răng mọc lệch có làm thẩm mỹ răng sứ Veneer được không cần được bác sĩ cân nhắc kỹ lưỡng. Nếu được chỉ định thực hiện, lượng mô răng cần mài có thể nhiều hơn để đảm bảo miếng dán sứ bám chắc và đạt độ thẩm mỹ cao. Tuy nhiên, việc này đòi hỏi tay nghề cao của bác sĩ để tránh tổn thương tủy răng.
Mức độ lệch nặng với độ lệch trên bốn milimet, răng chen chúc nghiêm trọng hoặc sai lệch khớp cắn rõ rệt thì câu trả lời cho câu hỏi răng mọc lệch có làm thẩm mỹ răng sứ Veneer được không là chưa thể thực hiện ngay. Trường hợp này cần phải điều chỉnh vị trí răng bằng niềng răng trước, sau đó mới có thể cân nhắc dán sứ Veneer nếu bệnh nhân muốn cải thiện thêm về màu sắc và hình dáng răng.
Việc phân loại mức độ giúp bệnh nhân hiểu rõ hơn về tình trạng của bản thân. Tại True Dental, đội ngũ bác sĩ luôn thực hiện thăm khám kỹ lưỡng, chụp phim toàn cảnh và phân tích khớp cắn trước khi đưa ra kết luận chính xác về việc răng mọc lệch có làm thẩm mỹ răng sứ Veneer được không trong từng trường hợp cụ thể.
Vì sao không thể dán sứ Veneer cho răng mọc lệch nghiêm trọng?
Thẩm mỹ răng sứ Veneer thực tế chỉ khắc phục được các khuyết điểm về màu sắc, hình dáng răng nên sẽ không điều trị được các vấn đề về khớp cắn hay cải thiện vị trí của răng. Do đó, với các trường hợp răng mọc lệch lạc nghiêm trọng, sai lệch khớp cắn thì sẽ không thể thực hiện dán sứ Veneer được.
![[Giải đáp] Răng mọc lệch có làm thẩm mỹ răng sứ Veneer được không? 3 Vì sao không thể dán sứ Veneer cho răng mọc lệch nghiêm trọng?](https://truedental.vn/wp-content/uploads/2024/11/rang-moc-lech-co-lam-tham-my-rang-su-veneer-duoc-khong-4.jpg)
Những lý do không nên dán sứ Veneer cho răng mọc lệch ở mức độ nặng:
- Răng mọc lệch nghiêm trọng khiến mặt dán sứ Veneer không thể che phủ hoàn toàn các khuyết điểm. Kết quả là nụ cười vẫn không đạt được độ hài hòa như mong muốn.
- Để dán Veneer cho răng mọc lệch, bác sĩ buộc phải mài răng nhiều hhơn mức bình thường. Điều này dẫn đến tăng nguy cơ tổn thương tủy răng và làm răng bị yếu đi.
- Răng mọc lệch gây sai lệch khớp cắn. Nếu không điều trị mà dán sứ Veneer lên trên có thể làm trầm trọng thêm tình trạng này, gây khó khăn trong nhai và đau hàm.
- Răng mọc lệch nghiêm trọng làm giảm độ bền của răng sứ Veneer. Các miếng dán sứ Veneer sẽ dễ bị bong tróc hoặc hư hỏng do lực nhai không đồng đều.
Quy trình thực hiện thẩm mỹ răng sứ Veneer cho răng mọc lệch đúng chuẩn
Khi đã xác định răng mọc lệch có làm thẩm mỹ răng sứ Veneer được không trong trường hợp cụ thể, việc thực hiện theo quy trình chuẩn y khoa là vô cùng quan trọng. Mỗi bước trong quy trình đều ảnh hưởng trực tiếp đến kết quả cuối cùng và độ bền của răng sứ Veneer.
Bước thăm khám và tư vấn ban đầu là giai đoạn then chốt để đánh giá chính xác tình trạng răng mọc lệch. Bác sĩ tại True Dental sẽ kiểm tra tổng quát sức khỏe răng miệng, chụp phim toàn cảnh và phim cắt lớp vi tính nếu cần thiết. Qua đó xác định mức độ lệch lạc, tình trạng khớp cắn và đưa ra kết luận về việc răng mọc lệch có làm thẩm mỹ răng sứ Veneer được không. Bác sĩ cũng sẽ tư vấn chi tiết về kế hoạch điều trị, số lượng răng cần làm và loại sứ phù hợp.
Giai đoạn chuẩn bị răng được thực hiện sau khi bệnh nhân đồng ý phương án điều trị. Bác sĩ sẽ vệ sinh răng miệng kỹ lưỡng, điều trị các bệnh lý nếu có như sâu răng, viêm nha chu trước khi tiến hành mài răng. Với trường hợp răng mọc lệch, lượng mô răng cần mài phụ thuộc vào mức độ lệch lạc và yêu cầu thẩm mỹ. Bác sĩ sẽ mài đi một lớp men răng mỏng để tạo không gian cho miếng dán sứ, đồng thời đảm bảo không xâm lấn đến tủy răng.
Lấy dấu răng và thiết kế mẫu là bước tiếp theo giúp tạo ra miếng dán sứ Veneer phù hợp với từng cá nhân. Bác sĩ sẽ lấy dấu răng chính xác bằng vật liệu cao cấp hoặc máy scan số hóa ba chiều. Dấu răng được gửi đến phòng lab để kỹ thuật viên chế tác miếng dán sứ theo đúng kích thước, hình dáng và màu sắc mong muốn. Trong thời gian chờ làm răng sứ vĩnh viễn, bệnh nhân sẽ được gắn răng tạm để bảo vệ răng thật và duy trì thẩm mỹ.
Gắn răng sứ Veneer vĩnh viễn là giai đoạn cuối cùng quyết định thành công của quá trình điều trị. Bác sĩ sẽ thử miếng dán sứ lên răng để kiểm tra độ khít, màu sắc và hình dáng có phù hợp không. Sau khi bệnh nhân hài lòng, bác sĩ sử dụng keo dán chuyên dụng để cố định miếng sứ lên bề mặt răng, chiếu đèn quang trùng hợp để keo đông cứng. Cuối cùng, bác sĩ sẽ hoàn thiện bề mặt, đánh bóng và kiểm tra khớp cắn để đảm bảo răng sứ Veneer hoạt động tốt.
Toàn bộ quy trình thường kéo dài từ hai đến ba tuần tùy thuộc vào số lượng răng cần làm. Tại True Dental, mọi bước đều được thực hiện tỉ mỉ với trang thiết bị hiện đại và đội ngũ bác sĩ giàu kinh nghiệm, đảm bảo giải đáp thỏa đáng câu hỏi răng mọc lệch có làm thẩm mỹ răng sứ Veneer được không trong thực tế.
Biện pháp Thẩm mỹ răng sứ Veneer an toàn cho răng mọc lệch
Đối với trường hợp răng mọc lệch, thẩm mỹ răng sứ Veneer không phải lúc nào cũng là giải pháp ưu tiên. Đặc biệt trong những trường hợp lệch lạc, khấp khểnh nghiêm trọng hoặc sai khớp cắn. Tuy nhiên, nếu bệnh nhân mong muốn có một hàm răng không chỉ đều mà còn trắng sáng thì cũng vẫn có nhiều biện pháp điều trị được tình trạng răng mọc lệch nặng rồi mới dán sứ Veneer lên trên, chẳng hạn như niềng răng trước khi thẩm mỹ sứ Veneer.
Đối với răng mọc lệch nghiêm trọng, việc niềng răng để chỉnh sửa vị trí trước khi làm răng sứ Veneer là lựa chọn tối ưu. Niềng răng không chỉ giúp răng thẳng hàng, đạt khớp cắn lý tưởng mà còn hạn chế được việc phải mài răng quá nhiều khi làm thẩm mỹ răng sứ Veneer. Nhờ đó mà bệnh nhân có thể sở hữu hàm răng đẹp như ý mà không lo ảnh hưởng đến răng thật và sức khỏe răng miệng tổng thể.
Ngoài ra, như đã đề cập trước đó thì cũng có nhiều trường hợp răng mọc lệch ở mức độ nhẹ và trung bình hoàn toàn có thể làm thẩm mỹ răng sứ Veneer. Tuy nhiên, việc này cần có chỉ định từ bác sĩ thì mới đảm bảo được an toàn khi thực hiện. Do đó, nếu muốn thẩm mỹ răng sứ Veneer an toàn cho răng mọc lệch thì Cô, Chú/ Anh, Chị nên đến nha khoa uy tín để được bác sĩ thăm khám và tư vấn giải pháp tốt nhất.
So sánh các loại sứ Veneer phù hợp với răng mọc lệch
Khi đã xác định răng mọc lệch có làm thẩm mỹ răng sứ Veneer được không trong trường hợp của mình, việc lựa chọn loại sứ phù hợp là bước tiếp theo cần cân nhắc. Mỗi loại sứ có đặc tính riêng về độ bền, tính thẩm mỹ và mức giá khác nhau.
Sứ Composite là loại sứ được nhiều người quan tâm nhờ chi phí hợp lý và quy trình thực hiện nhanh chóng. Loại sứ này được chế tác trực tiếp trên răng hoặc gián tiếp qua phòng lab, phù hợp với những trường hợp răng mọc lệch nhẹ cần cải thiện thẩm mỹ đơn giản. Ưu điểm của sứ Composite là dễ sửa chữa nếu bị hư hỏng, tuy nhiên độ bền và khả năng chống đổi màu không cao bằng các loại sứ khác. Thời gian sử dụng thường từ năm đến bảy năm nếu chăm sóc đúng cách.
Sứ Feldspathic Porcelain là loại sứ toàn sứ truyền thống với độ thẩm mỹ cao, màu sắc tự nhiên và khả năng mô phỏng tốt độ trong suốt của men răng thật. Khi bệnh nhân thắc mắc răng mọc lệch có làm thẩm mỹ răng sứ Veneer được không với loại sứ này, câu trả lời là hoàn toàn phù hợp cho các trường hợp lệch nhẹ đến trung bình. Loại sứ này mỏng hơn so với Composite, chỉ từ ba đến năm phần mười milimet, giúp giảm thiểu lượng mô răng cần mài. Độ bền trung bình từ mười đến mười lăm năm nếu sử dụng đúng cách.
Sứ Emax là dòng sứ lithium disilicate cao cấp được nhiều bác sĩ khuyên dùng cho răng mọc lệch. Loại sứ này kết hợp hoàn hảo giữa độ bền chắc và tính thẩm mỹ cao, có khả năng chịu lực nhai tốt và độ trong suốt tự nhiên. Răng mọc lệch có làm thẩm mỹ răng sứ Veneer được không với sứ Emax là câu hỏi nhiều người quan tâm, và đây thực sự là lựa chọn tối ưu cho cả trường hợp lệch nhẹ và trung bình. Sứ Emax có độ dày từ ba đến bảy phần mười milimet, độ bền lên đến mười lăm đến hai mươi năm, không bị đổi màu theo thời gian.
Sứ Lumineers là dòng sứ siêu mỏng chỉ từ hai đến ba phần mười milimet, được nhiều người ưa chuộng vì ít xâm lấn. Tuy nhiên, với câu hỏi răng mọc lệch có làm thẩm mỹ răng sứ Veneer được không bằng Lumineers, cần lưu ý rằng loại sứ này chỉ phù hợp với trường hợp lệch rất nhẹ hoặc chỉ cần cải thiện màu sắc. Do độ mỏng nên khả năng che phủ khuyết điểm lệch lạc không cao bằng các loại sứ dày hơn. Ưu điểm lớn nhất là hầu như không cần mài răng hoặc mài rất ít.
Bảng so sánh chi phí tham khảo các loại sứ Veneer tại True Dental năm hai nghìn hai mươi lăm:
Sứ Composite có mức giá từ ba triệu đến năm triệu đồng mỗi răng, phù hợp với ngân sách hạn chế nhưng vẫn muốn cải thiện thẩm mỹ răng mọc lệch nhẹ. Sứ Feldspathic Porcelain dao động từ sáu triệu đến chín triệu đồng mỗi răng, cân bằng giữa thẩm mỹ và chi phí. Sứ Emax có giá từ chín triệu đến mười bốn triệu đồng mỗi răng, là lựa chọn cao cấp với độ bền và thẩm mỹ vượt trội. Sứ Lumineers có mức giá cao nhất từ mười hai triệu đến mười tám triệu đồng mỗi răng do công nghệ đặc biệt và nhập khẩu từ Mỹ.
Lưu ý rằng đây chỉ là mức giá tham khảo và có thể thay đổi tùy thuộc vào số lượng răng cần làm, mức độ phức tạp của từng ca và chương trình khuyến mãi tại thời điểm thực hiện. Để có báo giá chính xác và tư vấn loại sứ phù hợp nhất cho tình trạng răng mọc lệch có làm thẩm mỹ răng sứ Veneer được không, bệnh nhân nên đến trực tiếp nha khoa để được bác sĩ thăm khám và lập kế hoạch điều trị chi tiết.
Chăm sóc răng sứ Veneer sau khi làm cho răng mọc lệch đúng cách
Sau khi hoàn thành thẩm mỹ răng sứ Veneer cho răng mọc lệch, việc chăm sóc đúng cách quyết định tuổi thọ và hiệu quả dài lâu của miếng dán sứ. Nhiều người sau khi giải quyết được thắc mắc răng mọc lệch có làm thẩm mỹ răng sứ Veneer được không lại bỏ qua giai đoạn quan trọng này.
Vệ sinh răng miệng hàng ngày là yếu tố hàng đầu giúp duy trì độ bền của răng sứ Veneer. Bệnh nhân cần đánh răng ít nhất hai lần mỗi ngày bằng bàn chải lông mềm và kem đánh răng không chứa hạt mài quá thô. Động tác đánh răng nên nhẹ nhàng, tránh chà xát mạnh có thể làm trầy xước bề mặt sứ. Sử dụng chỉ nha khoa hoặc tăm nước để làm sạch kẽ răng giúp loại bỏ mảng bám tích tụ, đặc biệt quan trọng với những vị trí răng từng bị lệch.
Chế độ ăn uống cần được điều chỉnh phù hợp để bảo vệ răng sứ Veneer. Tránh cắn trực tiếp vào thực phẩm cứng như xương, đá lạnh, hạt điều vỏ cứng bằng răng đã làm sứ vì có thể làm nứt hoặc bong tróc miếng dán. Hạn chế tiêu thụ đồ ăn có màu đậm như cà ri, nước tương, rượu vang đỏ và các loại nước có gas để tránh ố vàng bề mặt sứ theo thời gian. Đối với những người từng lo lắng răng mọc lệch có làm thẩm mỹ răng sứ Veneer được không, sau khi thực hiện thành công thì việc duy trì kết quả lại phụ thuộc phần lớn vào thói quen sinh hoạt này.
Thói quen sinh hoạt ảnh hưởng nhiều đến tuổi thọ của răng sứ Veneer. Tuyệt đối tránh sử dụng răng để mở nắp chai, cắn chỉ, xé bao bì vì hành động này gây áp lực không đều lên miếng dán sứ. Người có thói quen nghiến răng hoặc cắn răng khi ngủ nên sử dụng máng bảo vệ để giảm thiểu tác động lực cắn lên răng sứ. Hạn chế hút thuốc lá vì nicotine và tar không chỉ làm ố vàng răng sứ mà còn ảnh hưởng xấu đến sức khỏe nướu.
Tái khám định kỳ tại nha khoa là điều không thể thiếu để đảm bảo răng sứ Veneer luôn trong tình trạng tốt nhất. Bệnh nhân nên đến True Dental kiểm tra ít nhất ba đến sáu tháng một lần để bác sĩ đánh giá tình trạng miếng dán sứ, kiểm tra độ khít của đường viền giữa sứ và răng thật, phát hiện sớm các dấu hiệu hư hỏng nếu có. Bác sĩ cũng sẽ vệ sinh răng chuyên sâu, loại bỏ cao răng và mảng bám tích tụ ở những vị trí khó làm sạch tại nhà. Đặc biệt với những trường hợp răng mọc lệch có làm thẩm mỹ răng sứ Veneer được không ở mức độ trung bình, việc theo dõi định kỳ giúp phát hiện kịp thời các vấn đề về khớp cắn có thể phát sinh.
Xử lý kịp thời khi có vấn đề bất thường giúp hạn chế thiệt hại lớn hơn. Nếu cảm thấy miếng dán sứ bị lung lay, có tiếng kêu lạ khi nhai, hoặc phát hiện vết nứt bé cần liên hệ ngay với bác sĩ tại True Dental để được kiểm tra và xử lý. Không nên tự ý sử dụng keo dán hoặc các phương pháp khắc phục tạm thời vì có thể gây tổn thương thêm cho răng thật bên trong. Với sự chăm sóc đúng cách, răng sứ Veneer cho răng mọc lệch có thể duy trì từ mười đến hai mươi năm tùy loại sứ được sử dụng.
Hy vọng nội dung bài viết trên đây đã giúp Cô, Chú/ Anh, Chị giải đáp được câu hỏi liệu răng mọc lệch có làm thẩm mỹ răng sứ Veneer được không? Nếu còn bất kỳ thắc mắc nào về các vấn đề liên quan đến sức khỏe răng miệng, mời Cô, Chú/ Anh, Chị liên hệ qua hotline 090 6636 456 hoặc Fanpage True Dental – Nha Khoa Thật – Bác Sĩ Thật để được tư vấn và hỗ trợ tận tình.


Răng Sứ Thẩm Mỹ
Răng sứ Katana có tốt không? Đánh giá chi tiết về loại răng sứ này
Trong phân khúc răng toàn sứ, răng sứ...
Răng Sứ Thẩm Mỹ
Địa chỉ bọc răng sứ uy tín tại Sài Gòn: Top 5 nơi bọc răng sứ chất lượng
Sở hữu một nụ cười rạng rỡ với...
Niềng Răng - Chỉnh Nha
Địa chỉ niềng răng tốt nhất tại TP.HCM: Những cơ sở uy tín hàng đầu
Tìm kiếm một địa chỉ niềng răng tốt...
Niềng Răng - Chỉnh Nha
Thời gian tháo niềng răng: Khi nào có thể hoàn thành quá trình niềng?
Sở hữu một nụ cười đều đẹp, chuẩn...
Niềng Răng - Chỉnh Nha
Niềng răng ở người trung niên có an toàn? Những lưu ý vàng để đạt hiệu quả cao nhất
Niềng răng được biết đến là phương pháp...
Niềng Răng - Chỉnh Nha
Lợi ích niềng răng không mắc cài: Giải pháp niềng răng thẩm mỹ và hiện đại nhất
Sở hữu nhiều ưu điểm vượt trội, hiện...
Tôi đang tìm 1 Nha Khoa để điều trị cho tôi, nhưng rất lo lắng và sợ gặp phải NHA TẶC hoặc bị chèo kéo.
HÃY GIÚP TÔI TƯ VẤN THẬT
HƯỚNG DẪN ĐƯỜNG ĐI