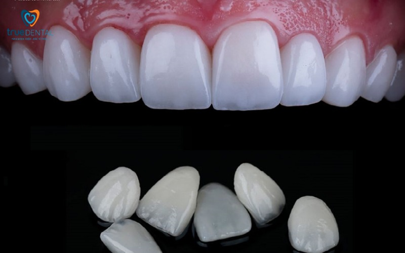
Để khắc phục tình trạng răng ố vàng, xỉn màu, bọc răng sứ và dán răng sứ Veneer là hai kỹ thuật giúp khắc phục tình trạng này phổ biến nhất. Cả hai phương pháp này đều sử dụng vật liệu sứ cao cấp để cải thiện hình dáng, màu sắc và chức năng của răng. Vậy bọc răng sứ và dán sứ veneer, phương pháp nào tốt hơn. Trong bài viết này, True Dental sẽ so sánh bọc răng sứ và dán veneer để giúp bạn đưa ra quyết định phù hợp nhất.
Bọc răng sứ là gì?
Trước khi so sánh bọc răng sứ và dán veneer, chúng ta cần tìm hiểu bọc răng sứ là gì. Bọc răng sứ là kỹ thuật phục hình nha khoa thẩm mỹ và phục hình răng sứt mẻ, hô thưa nhẹ bằng cách bọc một mão sứ nguyên khối phủ kín toàn bộ bề mặt cùi răng thật đã được mài nhỏ. Mão sứ được chế tạo trong phòng Lab theo hình dáng, kích thước và màu sắc đã được thiết kế riêng biệt, sau đó được gắn cố định bằng keo nha khoa chuyên dụng.
Bọc răng sứ là một giải pháp toàn diện, thường được chỉ định trong các trường hợp cần phục hồi cả về cấu trúc lẫn thẩm mỹ:
- Phục hồi cấu trúc: So sánh bọc răng sứ và dán veneer, bọc sứ giúp bảo vệ răng thật bị tổn thương nặng do sâu răng lớn, mòn men răng nghiêm trọng, hoặc bị gãy vỡ quá 50% cấu trúc. Mão sứ đóng vai trò như một lớp bảo vệ cùi răng yếu bên trong, ngăn chặn sự nứt vỡ thêm.
- Bảo vệ sau điều trị tủy: Răng đã chữa tủy thường trở nên giòn và dễ gãy. Bọc sứ là cách tối ưu để bảo vệ răng khỏi lực nhai mạnh. Đây là điểm khác biệt khi so sánh bọc rănh sứ và dán veneer.
- Điều chỉnh khớp cắn và lệch lạc: Bọc sứ có thể khắc phục các trường hợp răng mọc lệch, khấp khểnh, hô hoặc móm nhẹ mà không cần niềng răng. Trong khi đó, so sánh bọc răng sứ và dán veneer thì dán sứ veneer chỉ khắc phục được màu sắc và hình thể răng xấu.
- Cải thiện thẩm mỹ: Cải thiện triệt để màu sắc răng bị nhiễm Tetracycline, hoặc thay đổi hình dáng răng quá nhỏ, quá ngắn.
Để mão sứ có thể ôm khít và đồng nhất với các răng bên cạnh, bác sĩ phải thực hiện quy trình mài cùi răng thật theo một tỷ lệ nhất định để tạo trụ và khoảng trống cho lớp sứ dày. Đây là điểm khác biệt lớn nhất khi so sánh bọc răng sứ và dán veneer.

Dán răng Veneer là gì?
Dán răng Veneer là kỹ thuật thẩm mỹ bảo tồn tối đa răng gốc. Phương pháp này sử dụng những mặt dán sứ siêu mỏng từ 0.2mm đến 0.5mm để dán cố định lên bề mặt ngoài của răng. So sánh bọc răng sứ và dán veneer, có thể thấy dán sứ veneer hoàn toàn tập trung vào việc cải thiện hình thể, màu sắc và kích thước răng, với mức độ can thiệp vào mô răng thật là tối thiểu.
- Khắc phục màu sắc: So sánh bọc răng sứ và dán veneer, dán veneer chủ yếu điều trị răng bị ố vàng, nhiễm màu nhẹ đến trung bình mà tẩy trắng không hiệu quả.
- Cải thiện hình dáng: Khắc phục răng sứt mẻ nhỏ, răng có hình dáng không đẹp. Đây là điểm giống nhau khi so sánh bọc răng sứ và dán veneer.
- Thu hẹp khoảng hở: Dán sứ veneer giúp đóng các khe hở nhỏ (kẽ thưa) giữa các răng.
Dán sứ veneer mài răng cực kỳ ít (tối thiểu 0.2mm – 0.5mm), hoặc thậm chí là không mài. Mài răng chỉ nhằm tạo độ nhám cần thiết cho bề mặt và loại bỏ một lượng men răng nhỏ để miếng sứ dán vào không bị cộm. Chính nhờ sự bảo tồn mô răng tối đa này, veneer được coi là giải pháp thẩm mỹ nha khoa ưu việt nhất hiện nay. Đây cũng là điểm khác biệt lớn nhất khi so sánh bọc răng sứ và dán veneer.

So sánh bọc răng sứ và dán veneer
So sánh bọc răng sứ và dán veneer sẽ giúp bạn hiểu rõ ưu nhược điểm của từng loại và đưa ra lựa chọn phù hợp:
Tiêu chí so sánh | Bọc răng sứ | Dán răng Veneer |
Mức độ mài răng | Cần mài nhiều (0.6 – 2mm) | Mài rất ít (0.2mm – 0.5mm) hoặc không mài. |
Phạm vi che phủ | Phủ toàn bộ bề mặt răng. | Phủ bề mặt ngoài (mặt tiền) của răng. |
Độ bền/Khả năng chịu lực | Rất cao, bảo vệ được răng thật bị gãy vỡ, răng sau điều trị tủy. | Thấp hơn, chủ yếu chịu lực nhai từ mặt ngoài, dễ bị sứt mẻ nếu cắn trực tiếp vật cứng. |
Phạm vi áp dụng | Điều trị cấu trúc (sâu lớn, gãy vỡ, răng đã chữa tủy, sai khớp cắn). | Điều trị thẩm mỹ (màu sắc, hình dáng, kẽ thưa nhỏ). |
Vị trí áp dụng | Áp dụng cho cả răng cửa và răng hàm. | Chủ yếu áp dụng cho nhóm răng cửa. |
Sau khi so sánh bọc răng sứ và dán veneer, có thể thấy việc lựa chọn phương pháp nào không chỉ dựa vào sự khác biệt kỹ thuật mà còn phụ thuộc tuyệt đối vào tình trạng răng miệng hiện tại và mục tiêu thẩm mỹ của bạn.
Nên bọc răng sứ hay dán veneer? Lựa chọn theo từng tình trạng
Sau khi so sánh bọc răng sứ và dán veneer, nên lựa chọn loại nào? Theo bác sĩ nha khoa, bạn chỉ nên đưa ra quyết định khi đã thăm khám kỹ lưỡng, chụp phim X-quang, và đánh giá toàn diện sức khỏe nướu và cùi răng thật. Dưới đây là các chỉ định cụ thể theo từng tình trạng:
Chỉ định ưu tiên bọc răng sứ
So sánh bọc răng sứ và dán veneer, bác sĩ sẽ chỉ định bọc răng sứ khi răng thật đã bị tổn thương:
- Răng đã điều trị tủy: So sánh bọc răng sứ và dán veneer, khi răng đã chết tủy không còn được nuôi dưỡng, trở nên giòn và dễ gãy, bọc sứ giúp gia cố và bảo vệ răng khỏi lực nhai.
- Răng bị sâu lớn, gãy vỡ diện rộng: Khi răng mất quá 50% mô răng hoặc vết trám lớn không thể phục hồi bằng trám thông thường.
- Răng có bệnh lý nha chu nặng: Cần bọc sứ để cải thiện hình thể và sự phân bổ lực nhai.
- Răng nhiễm màu nặng: Các trường hợp nhiễm màu kháng thuốc tẩy trắng như Tetracycline nặng, khiến men răng bị xỉn màu từ bên trong. Độ dày của mão sứ giúp che phủ hoàn toàn màu sắc gốc. Đây là điểm khác biệt giúp khách hàng đưa ra lựa chọn phù hợp sau khi so sánh bọc răng sứ và dán veneer.
- Răng sai khớp cắn hoặc chen chúc mức độ vừa: Mão sứ có thể giúp chỉnh sửa hình thể răng và điều chỉnh khớp cắn mà không cần can thiệp chỉnh nha kéo dài.

Chỉ định ưu tiên dán Veneer
So sánh bọc răng sứ và dán veneer, dán veneer là lựa chọn hoàn hảo khi răng thật vẫn còn chắc khỏe nhưng cần cải thiện về vấn đề thẩm mỹ:
- Răng khỏe, men răng nguyên vẹn: Là điều kiện tiên quyết cho sự bám dính bền vững của veneer. Sau khi so sánh bọc răng sứ và dán veneer, chỉ nên chọn dán sứ veneer nếu răng đáp ứng được tiêu chí này.
- Răng bị ố vàng nhẹ đến trung bình: Đặc biệt là các vết ố do tuổi tác hoặc thói quen ăn uống, không phải do bệnh lý nặng.
- Răng bị sứt mẻ nhỏ, mòn cạnh cắn nhẹ: Veneer giúp khôi phục hình dáng cạnh cắn một cách tinh tế.
- Răng có hình dáng không đẹp: Răng quá nhỏ, có khe hở nhỏ (kẽ thưa). Veneer giúp mở rộng kích thước răng, đóng kẽ thưa.
Như vậy, sau khi so sánh bọc răng sứ và dán veneer. Có thể thấy nếu vấn đề là cấu trúc và độ bền, bạn nên chọn bọc răng sứ. Nếu vấn đề là thẩm mỹ và bảo tồn bạn nên chọn dán sứ Veneer.

Quy trình làm răng sứ thẩm mỹ
So sánh bọc răng sứ và dán veneer, có thể thấy quá trình thực hiện hai phương pháp này đòi hỏi bác sĩ thực hiện phải là người có tay nghề cao, và các trang thiết bị hiện đại để mang đến kết quả phục hình tốt nhất. Điểm khác biệt của bọc răng sứ và dán sứ veneer nằm ở bước xử lý bề mặt răng. Dưới đây là quy trình làm răng sứ thẩm mỹ tại nha khoa.
- Bước 1: Bác sĩ thăm khám, chụp phim X – Quang để kiểm tra tình trạng răng miệng.
- Bước 2: Vệ sinh răng miệng và điều trị bệnh lý răng miệng (nhếu có).
- Bước 3: Lấy dấu răng bằng công nghệ hiện đại, sau đó gửi đến labo răng sứ để chế tác mão sứ hoặc mắt dán sứ veneer.
- Bước 4: Bác sĩ sẽ tiến hành gây tê, mài cùi răng thường từ 0.6mm – 2mm đối với bọc răng sứ và từ 0.2mm – 0.5mm đối với dán sứ veneer. So sánh bọc răng sứ và dán veneer thì đây chính là điểm khác biệt lớn nhất trong quy trình thực hiện.
- Bước 5: Thử răng sứ và điều chỉnh phù hợp.
- Bước 6: Gắn răng sứ cố định và tái khám.

Chi phí bọc răng sứ và dán veneer 2025
Khi so sánh bọc răng sứ và dán veneer có thể thấy, chi phí cho cả bọc răng sứ và dán veneer đều phụ thuộc vào ba yếu tố chính: loại vật liệu sứ, công nghệ chế tác và uy tín của nha khoa.
- Răng sứ kim loại: Có giá thành thấp nhất, nhưng nhược điểm là dễ bị đen viền nướu sau vài năm do lõi kim loại bị oxy hóa. Ngày càng ít được sử dụng trong nha khoa thẩm mỹ.
- Răng toàn sứ (Zirconia, Emax, Lava): Có chi phí cao hơn đáng kể nhưng mang lại tính thẩm mỹ vượt trội, độ bền cao, và không gây đen viền nướu.
Chi phí cho veneer thường ở mức tương đối cao do: Mặt dán sứ veneer siêu mỏng (0.2mm) đòi hỏi kỹ thuật chế tác cực kỳ tinh vi, chính xác, và vật liệu sứ phải là loại cao cấp nhất để đảm bảo độ bền và tính thấu quang tự nhiên. Hiện nay, chi phí dán sứ veneer có giá khoảng 7.000.000 – 12.000.000 VNĐ/răng và bọc răng sứ có giá đa dạng hơn, từ 1.000.000 – 15.000.000 VNĐ/răng. So sánh bọc rănh sứ và dán sứ veneer, sự chênh lệch chi phí khi thực hiện hai phương pháp này không quá lớn.

Lời khuyên của bác sĩ sau khi so sánh bọc răng sứ và dán veneer
So sánh bọc răng sứ và dán veneer có thể thấy, dù là bọc răng sứ hay dán veneer, việc chăm sóc sau cùng là yếu tố quyết định đến độ bền, tuổi thọ, và duy trì vẻ đẹp thẩm mỹ của răng. Dưới đây là một số lời khuyên của bác sĩ dành cho khách hàng bọc răng sứ:
Vệ sinh đúng kỹ thuật: Sử dụng bàn chải lông mềm và chải răng nhẹ nhàng, theo chiều xoay tròn hoặc theo chiều dọc. Đặc biệt chú ý làm sạch khu vực tiếp giáp giữa phục hình và nướu răng, đây là nơi dễ tích tụ mảng bám gây viêm nướu.
Dùng chỉ nha khoa hoặc máy tăm nước mỗi ngày: Đối với răng sứ, máy tăm nước rất hữu ích để làm sạch các khe hở và kẽ răng. Đối với veneer, chỉ nha khoa giúp làm sạch nhẹ nhàng mà không gây tổn thương viền dán. Đây là điểm khác biệt khi so sánh bọc răng sứ với dán sứ veneer.
Kiểm soát lực nhai và thức ăn:
- Tuyệt đối tránh cắn xé thức ăn quá cứng (xương, đá lạnh), quá dai (kẹo cao su, gân). Hành động này có thể gây nứt, mẻ phục hình, đặc biệt là veneer.
- Hạn chế các thực phẩm và đồ uống có màu sậm (cà phê, trà đặc, rượu vang đỏ) để duy trì độ trắng sáng của phục hình, mặc dù sứ và veneer có khả năng chống nhiễm màu tốt hơn răng thật
Tái khám định kỳ 6 tháng một lần: Lịch khám này giúp bác sĩ kiểm tra độ khít sát của viền sứ, veneer, phát hiện sớm các vấn đề như sâu răng thứ phát dưới cùi (đối với răng sứ) hoặc bong viền dán (đối với veneer), từ đó can thiệp kịp thời.

Những câu hỏi thường gặp khi so sánh bọc răng sứ và dán veneer
Khi so sánh bọc răng sứ và dán veneer True Dental nhận được rất nhiều câu hỏi. Dưới đây là một số câu hỏi thường gặp nhất.
Bọc răng sứ có làm hôi miệng không?
So sánh bọc răng sứ và dán veneer, True Dental nhận được rất nhiều sự quan tâm của khách hàng về vấn đề bọc răng sứ có làm hôi miệng không. Bọc răng sứ không phải là nguyên nhân trực tiếp gây hôi miệng, nhưng có thể là yếu tố gián tiếp nếu quá trình phục hình không được thực hiện đúng kỹ thuật hoặc việc chăm sóc sau đó không đảm bảo. Mùi hôi miệng có thể xuất hiện nếu:
- Mão sứ không khít sát với cùi răng: Nếu có khe hở nhỏ ở viền, thức ăn thừa và mảng bám sẽ dễ dàng bị kẹt lại và phân hủy, tạo điều kiện cho vi khuẩn phát triển, dẫn đến sâu răng thứ phát và gây mùi hôi.
- Viêm nướu, viêm nha chu: Vệ sinh không sạch khu vực xung quanh viền răng sứ sẽ gây viêm nướu, nướu sưng đỏ, chảy máu và là nguồn gốc phổ biến của mùi hôi.
- Răng sứ bị mẻ, nứt: Bề mặt sứ bị tổn thương trở nên thô ráp, dễ dàng giữ lại vi khuẩn và mảng bám hơn bề mặt sứ nguyên vẹn.
Răng yếu có làm veneer được không?
Răng yếu thường không phải là đối tượng lý tưởng để làm veneer. Veneer sứ chỉ là một lớp mỏng, chủ yếu dựa vào lớp men răng khỏe mạnh và kỹ thuật dán để đạt được độ bám dính tối ưu và chịu lực. Ngược lại, nếu răng bị sâu lớn, đã chữa tủy, răng quá yếu, hoặc răng bị mòn nặng, dán veneer không phải là giải pháp phù hợp.
Lý do là răng yếu cần một sự bảo vệ và gia cố toàn diện từ mọi mặt, điều mà bọc răng sứ có thể làm được vì mão sứ ôm trọn thân răng, phân tán lực nhai đều hơn, giúp bảo vệ cùi răng bên trong. Bác sĩ sẽ luôn ưu tiên bọc sứ cho những răng đã mất nhiều mô răng hoặc cần phục hình chức năng ăn nhai mạnh mẽ hơn. Đây cũng là điểm khác biệt khi so sánh bọc răng sứ và dán veneer.
Veneer có bị rơi không?
Khi so sánh bọc răng sứ và dán veneer nhiều khách hàng thắc mắc, veneer có bị rơi không? Khả năng veneer bị rơi ra phụ thuộc vào hai yếu tố chính:
- Kỹ thuật và vật liệu dán: Việc chuẩn bị bề mặt răng, sử dụng loại keo dán phải đạt chuẩn. Nếu bề mặt dán còn ẩm hoặc keo dán không đảm bảo chất lượng, veneer có thể bong sau một thời gian ngắn.
- Thói quen sinh hoạt và ăn uống: Lực nhai mạnh tập trung vào các răng dán veneer, thói quen nghiến răng, hoặc cắn trực tiếp vào vật cứng (như đầu bút, móng tay, cắn hạt) có thể tạo ra lực cắt làm phá vỡ liên kết keo, khiến miếng dán bị rơi ra.
Tuy nhiên, trong điều kiện được dán đúng kỹ thuật bởi bác sĩ chuyên môn cao và người dùng tuân thủ lời khuyên chăm sóc, tuổi thọ của veneer rất cao (thường từ 10-15 năm) và nguy cơ bị rơi là rất thấp. Nếu veneer bị rơi, bạn cần giữ lại miếng dán và mang đến nha khoa ngay để bác sĩ kiểm tra và dán lại.

Trong bài viết trên True Dental đã giúp bạn so sánh bọc răng sứ và dán veneer. Mỗi phương pháp đều có những ưu nhược điểm riêng. Để biết được chính xác bạn phù hợp với phương pháp nào, hãy liên hệ với True Dental qua số Hotline 090.6636.456 để được tư vấn chi tiết nhé!


Cấy Ghép IMPLANT
So sánh trụ Implant Titanium và Zirconia: Nên chọn loại nào cho cấy ghép?
Cấy ghép Implant là giải pháp phục hình...
Sức Khỏe Răng Miệng
Khám răng cho người bị tiểu đường: Lưu ý quan trọng để tránh biến chứng
Bệnh tiểu đường hay còn gọi là đái...
Sức Khỏe Răng Miệng
Thời gian cạo vôi răng định kỳ: Bao lâu 1 lần và lợi ích sức khỏe
Vôi răng (hay còn gọi là cao răng)...
Răng Sứ Thẩm Mỹ
Bọc răng sứ có đau khi ăn không? Giải đáp và cách giảm ê buốt
Bọc răng sứ có đau khi ăn không?...
Răng Sứ Thẩm Mỹ
Lợi ích bọc răng sứ cho khuôn mặt: Thẩm mỹ và sức khỏe vượt trội
Bọc răng sứ là phương pháp giúp khắc...
Răng Sứ Thẩm Mỹ
So sánh bọc răng sứ và dán veneer: Phương pháp nào phù hợp hơn?
Để khắc phục tình trạng răng ố vàng,...
Tôi đang tìm 1 Nha Khoa để điều trị cho tôi, nhưng rất lo lắng và sợ gặp phải NHA TẶC hoặc bị chèo kéo.
HÃY GIÚP TÔI TƯ VẤN THẬT
HƯỚNG DẪN ĐƯỜNG ĐI