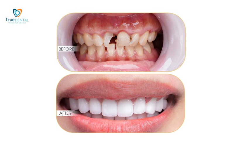
Răng sứ Nacera là một trong những dòng răng sứ cao cấp, sở hữu nhiều ưu điểm vượt trội như: Bền nhất – Đẹp nhất – An toàn nhất. Chính vì thế, khi làm răng sứ thẩm mỹ rất nhiều khách hàng đã lựa chọn dòng sứ này. Nếu bạn đang có nhu cầu bọc răng sứ đừng bỏ qua bài viết dưới đây, True Dental sẽ chia sẻ cho bạn chi tiết ưu điểm răng sứ Nacera giúp bạn đưa ra lựa chọn phù hợp nhất cho nụ cười của mình.
Răng sứ Nacera là gì?
Để hiểu rõ về các ưu điểm răng sứ Nacera, trước hết chúng ta cần tìm hiểu về nguồn gốc và cấu tạo của loại sứ này.
Răng sứ Nacera là dòng sứ được sản xuất bởi tập đoàn DOCERAM Medical Ceramics – Công ty nghiên cứu và sản xuất vật liệu sứ nha khoa hàng đầu tại Đức. Răng sứ Nacera có cả phần sườn bên trong và lớp men bên ngoài đều được chế tạo từ sứ Zirconium Dioxide. Điều này giúp loại bỏ hoàn toàn lõi kim loại, vốn là nguyên nhân gây ra hiện tượng đen viền nướu sau một thời gian sử dụng. Đây chính là ưu điểm răng sứ Nacera nổi bật nhất so với các dòng răng sứ kim loại truyền thống.
Răng sứ Nacera sở hữu hàng loạt đặc tính vượt trội giúp dòng sứ này trở thành lựa chọn ưu tiên của cả bác sĩ và khách hàng. Vậy, đâu là những ưu điểm răng sứ Nacera tốt nhất giúp dòng sứ này được mệnh danh là dòng sứ cao cấp đáng đầu tư nhất?

Ưu điểm răng sứ Nacera
Nhờ sở hữu nhiều ưu điểm vượt trội, răng sứ Nacera là lựa chọn hàng đầu của rất nhiều khách hàng có nhu cầu làm răng sứ. Cùng True Dental điểm qua ưu điểm răng sứ Nacera bạn nhé:
Thẩm mỹ hoàn hảo, độ tự nhiên tuyệt đối
Đây là ưu điểm răng sứ Nacera lớn nhất. Nhờ cấu trúc Zirconia đa lớp đã đề cập, răng sứ Nacera thể hiện màu sắc chân thực và sống động hơn hẳn các dòng sứ đơn sắc:
- Màu sắc tự nhiên: Ưu điểm răng sứ Nacera được khách hàng yếu thích nhất đó là sở hữu màu sắc giống hệt răng thật. Đặc biệt, răng sứ Nacera có bảng màu với 16 mức độ khác nhau từ vàng ngà đến trắng trong, giống răng thật đến 99%.
- Độ phản quang cao: Độ trong mờ lý tưởng, không bị đục hay trắng bệch như sứ kim loại là ưu điểm răng sứ Nacera. Sở hữu độ phản quang cao răng sứ Nacera không bị “giả” hoặc xỉn màu dưới ánh đèn mạnh. Đây là một yếu tố thẩm mỹ cực kỳ quan trọng.
Độ bền vượt trội, khả năng chịu lực gấp nhiều lần răng thật
Răng sứ Nacera nổi tiếng với độ cứng và độ bền uốn cao, đây là kết quả của quá trình nung kết ở nhiệt độ cao và áp suất lớn. Độ bền vượt trội cũng là ưu điểm răng sứ Nacera.
- Khả năng chịu lực: Nacera có khả năng chịu lực lên đến trên 1400 MPa, cao hơn nhiều so với răng thật. Điều này cho phép răng sứ Nacera chịu được lực nhai mạnh nhất, thích hợp cho cả răng hàm và răng cửa. Đây chính là ưu điểm răng sứ Nacera.
- Độ ổn định cấu trúc: Nhờ cấu trúc vi mô dày đặc, răng sứ Nacera không dễ bị mài mòn theo thời gian, đảm bảo độ bền chắc và hình thể ổn định trong suốt vòng đời sử dụng.

Tương thích sinh học cao
Tương thích sinh học cao là một trong những ưu điểm răng sứ Nacera nổi bật. Là dòng sứ được chế tác từ phôi sứ Zirconia tinh khiết, Nacera được đánh giá là vật liệu sứ có khả năng tương thích sinh học cao nhất:
- An toàn tuyệt đối: Ưu điểm răng sứ Nacera là hoàn toàn không gây kích ứng mô mềm, không gây viêm nướu, không sản sinh ra bất kỳ phản ứng hóa học nào trong môi trường miệng.
- Không đen viền nướu: Do không chứa kim loại, răng sứ Nacera loại bỏ nguy cơ đen viền nướu, hay ánh xám dưới nướu, duy trì vẻ đẹp tự nhiên của nụ cười ngay cả sau hàng chục năm.
Bề mặt siêu láng mịn, chống mảng bám tối ưu
Bề mặt sứ Nacera sau khi được chế tác và đánh bóng đạt độ láng mịn cao, giúp ngăn chặn sự tích tụ của mảng bám và vi khuẩn. Đây cũng là ưu điểm răng sứ Nacera. Đặc tính chống bám dính này giúp việc vệ sinh răng miệng trở nên dễ dàng hơn, giảm nguy cơ sâu răng và các bệnh lý nha chu quanh răng sứ, góp phần bảo vệ sức khỏe răng miệng tổng thể.

Bảo tồn tối đa răng gốc
Mão sứ Nacera có thể được chế tạo với độ dày thành mỏng hơn so với nhiều dòng sứ khác. Với thiết kế mỏng bác sĩ chỉ cần mài một lượng mô răng thật rất nhỏ, giúp bảo tồn cấu trúc răng ban đầu, giảm thiểu tình trạng ê buốt và tăng cường sự ổn định lâu dài cho cùi răng. Đây chính là ưu điểm răng sứ Nacera được khách hàng và chuyên gia đánh giá cao.
Mặc dù có nhiều ưu điểm răng sứ Nacera nổi trội, nhưng việc so sánh với các dòng sứ khác là điều cần thiết để khách hàng có cái nhìn khách quan và đưa ra lựa chọn phù hợp nhất với nhu cầu của bản thân.
Xem thêm:
Rủi ro tụt lợi sau bọc răng sứ: Cách nhận biết và khắc phục kịp thời
Bọc răng sứ không kim loại là gì? So sánh với sứ kim loại chi tiết
Chi phí bọc răng sứ toàn hàm tại TP.HCM: Bảng giá ưu đãi 2025
So sánh ưu điểm răng sứ Nacera với các dòng sứ phổ biến khác
Dưới đây là bảng so sánh chi tiết giữa ưu điểm răng sứ Nacera và hai đối thủ cạnh tranh lớn trên thị trường: Sứ kim loại và Lava Plus.
Tiêu chí so sánh | Răng sứ kim loại | Răng sứ Nacera (Đức) | Răng sứ Emax |
Cấu tạo | Sườn kim loại (Niken, Crom), phủ sứ bên ngoài. | Được làm từ phôi sứ Zirconia tinh khiết | Được làm từ gốm thủy tinh Lithium Disilicate |
Khả năng chịu lực | Khoảng 350 – 500 MPa | Khoảng 1400 MPa | Khoảng 850 MPa |
Tính thẩm mỹ | Thấp. Dễ bị đục, thiếu độ trong. | Hoàn hảo. Độ trong mờ, hiệu ứng chuyển màu tự nhiên | Tính thẩm mỹ cao, không làm lộ màu cùi răng bên trong dù bị ố vàng hay nhiễm màu. |
Nguy cơ đen viền nướu | Cao, do lớp sườn kim loại bị oxy hóa. | Không có, do là toàn sứ 100%. | Không, vì là răng toàn sứ |
Bảo tồn răng thật | Kém, cần mài nhiều mô răng | Bảo tồn tối đa răng gốc | Bảo tồn tối đa răng gốc |
Tuổi thọ trung bình | 5 – 10 năm. | 15 – 20 năm hoặc trọn đời nếu chăm sóc tốt. | 15 – 20 năm hoặc trọn đời nếu chăm sóc tốt. |
Chi Phí | Thấp nhất. | Từ 6.000.000Đ/răng | Từ 6.000.000Đ – 8.000.000D/ răng |
Sau khi đã nắm rõ các ưu điểm răng sứ Nacera và sự khác biệt của dòng sứ này, điều quan trọng không kém là quy trình thực hiện. Một quy trình bọc sứ tiêu chuẩn không chỉ đảm bảo thẩm mỹ mà còn quyết định đến sự bền chắc lâu dài của răng sứ.
Quy trình bọc răng sứ Nacera tiêu chuẩn tại True Dental
Dù ưu điểm răng sứ Nacera có tốt đến đâu, cũng chỉ thành công khi được thực hiện theo quy trình nghiêm ngặt, chuẩn y khoa. True Dental, với sự đầu tư vào công nghệ và đội ngũ chuyên gia, thường áp dụng quy trình 5 bước tiêu chuẩn sau:
Bước 1: Thăm khám, chụp phim và tư vấn chuyên sâu
Bác sĩ sẽ tiến hành khám tổng quát, chụp phim X-quang toàn hàm để đánh giá tình trạng sức khỏe răng miệng, độ dài, độ khỏe của cùi răng và xương hàm. True Dental sẽ sử dụng máy Scan Itero 5D để lấy dữ liệu 3D chính xác, từ đó mô phỏng kết quả thẩm mỹ cuối cùng và thống nhất phác đồ với khách hàng.
Bước 2: Gây tê và mài cùi răng
Sau khi gây tê cục bộ, bác sĩ tiến hành mài cùi răng theo tỷ lệ chuẩn, đảm bảo mài tối thiểu để bảo tồn răng thật, đồng thời tạo trụ vững chắc cho mão sứ Nacera. Quá trình này được thực hiện nhẹ nhàng, hạn chế tối đa sự ê buốt.
Bước 3: Lấy dấu hàm và thiết kế mão sứ (CAD/CAM)
Bác sĩ sử dụng máy scan trong miệng để lấy dấu hàm kỹ thuật số siêu chính xác. Dữ liệu này được gửi đến phòng Labo để thiết kế mão sứ Nacera trên phần mềm CAD. Sau đó, phôi sứ Nacera cao cấp được sử dụng để chế tác bằng máy CAM đảm bảo mão sứ có độ ôm khít hoàn hảo và hình thể chính xác.
Bước 4: Thử sứ, đánh giá và gắn sứ cố định
Khách hàng sẽ được thử sứ, bác sĩ kiểm tra độ khít sát, tương quan khớp cắn và thẩm mỹ. Nếu mão sứ đã đạt được mọi tiêu chuẩn về hình thể, màu sắc, và chức năng nhai, bác sĩ sẽ tiến hành gắn sứ cố định bằng loại keo dán nha khoa chuyên dụng, đảm bảo mão sứ Nacera ổn định vĩnh viễn trên cùi răng.

Bước 5: Tái khám và kiểm tra định kỳ
Khách hàng được hẹn tái khám sau 1-2 tuần để kiểm tra sự thích nghi của răng sứ với môi trường miệng và khớp cắn. Sau đó, duy trì lịch khám răng định kỳ 6 tháng/lần là bắt buộc để bác sĩ kiểm tra tổng thể và bảo hành răng sứ.
Răng sứ Nacera có bền không? Tuổi thọ bao lâu
Như đã phân tích ở phần ưu điểm răng sứ Nacera, loại sứ này được mệnh danh là dòng sứ cao cấp trong phục hình nha khoa nhờ vào độ bền vượt trội.
Răng sứ Nacera cực kỳ bền chắc và có khả năng chống chịu lực nhai gần như tuyệt đối. Vật liệu Zirconia giúp mão sứ không bị nứt vỡ, mẻ hay biến dạng dưới tác động của lực cắn hàng ngày. Ngay cả khi chịu tác động đột ngột, Nacera vẫn có khả năng đàn hồi và chịu lực tốt hơn hẳn các dòng sứ khác.
Về tuổi thọ, răng sứ Nacera có thể duy trì vẻ đẹp và chức năng lên đến 15 – 20 năm, và thậm chí là trọn đời nếu được chăm sóc đúng cách.

Ai nên lựa chọn răng sứ Nacera?
Răng sứ Nacera là lựa chọn lý tưởng cho những khách hàng có yêu cầu cao về cả thẩm mỹ, chức năng và độ bền bỉ lâu dài. Dựa vào ưu điểm răng sứ Nacera, nếu bạn thuộc một trong các trường hợp dưới đây thì nên lựa chọn dòng sứ này:
- Người phục hình răng cửa hoặc phục hình toàn hàm: Nhờ vào độ trong mờ và hiệu ứng màu sắc tự nhiên, Nacera là lựa chọn hoàn hảo để phục hình các răng cửa, nơi yêu cầu tính thẩm mỹ cao nhất.
- Người có thói quen ăn nhai mạnh: Với độ bền lên tới 1400 MPa, Nacera đặc biệt phù hợp cho việc bọc các răng hàm (răng chịu lực), đảm bảo không bị nứt mẻ hay vỡ sứ trong quá trình ăn nhai.
- Người đã từng thất bại với sứ kim loại: Những khách hàng đã từng bọc sứ kim loại và gặp tình trạng đen viền nướu, dị ứng hoặc kích ứng sẽ thấy Nacera là giải pháp thay thế triệt để nhờ tính tương thích sinh học cao.
- Người muốn bảo tồn tối đa răng thật: Do ưu điểm răng sứ Nacera có thể chế tạo mỏng mà vẫn đảm bảo độ bền nên phù hợp với những ca cần mài ít răng, giúp bảo tồn cấu trúc răng thật tối đa.

Chi phí là một yếu tố quan trọng ảnh hưởng đến quyết định của khách hàng. Vậy, với những ưu điểm răng sứ Nacera cao cấp, mức giá trên thị trường hiện nay là bao nhiêu?
Chi phí bọc răng sứ Nacera 2025
Ưu điểm răng sứ Nacera rất vượt trội, chính vì thế chi phí bọc răng sứ Nacera trên thị trường Việt Nam năm 2025 thường nằm trong phân khúc cao cấp, phản ánh chất lượng vật liệu nhập khẩu trực tiếp từ Đức, công nghệ sản xuất hiện đại (CAD/CAM) và trình độ chuyên môn cao của bác sĩ thực hiện.
Mức chi phí tham khảo cho một đơn vị răng sứ Nacera thường dao động từ 6.000.000 VNĐ đến 8.000.000 VNĐ/răng.
Tuy nhiên, tổng chi phí cuối cùng của ca phục hình sẽ phụ thuộc vào nhiều yếu tố:
- Số lượng răng cần phục hình: Tổng chi phí sẽ được tính dựa trên số lượng răng sứ cần bọc.
- Phí dịch vụ kèm theo: Chi phí có thể bao gồm các dịch vụ như điều trị tủy (nếu cần), cấy ghép Implant (nếu kết hợp làm cầu răng sứ).
- Trình độ bác sĩ: Các nha khoa uy tín, có đội ngũ bác sĩ chuyên sâu về thẩm mỹ và khớp cắn với nhiều năm kinh nghiệm thường có mức giá dịch vụ cao hơn, nhưng đổi lại là kết quả chính xác và bền vững hơn.
- Chính sách bảo hành: Mức giá cũng đi kèm với chính sách bảo hành chính hãng (thường từ 10 – 20 năm) được cam kết từ nha khoa và nhà sản xuất.

Lời khuyên của bác sĩ về ưu điểm răng sứ Nacera
Việc bọc răng sứ không chỉ là một thủ thuật thẩm mỹ mà còn là một quyết định quan trọng. Bác sĩ chuyên khoa luôn nhấn mạnh hai yếu tố then chốt để phát huy tối đa ưu điểm răng sứ Nacera và đảm bảo kết quả lâu dài:
- Răng sứ Nacera đòi hỏi kỹ thuật mài cùi răng chuẩn xác để đảm bảo mão sứ có độ ôm khít hoàn hảo tại viền nướu. Nếu bác sĩ mài cùi sai kỹ thuật, dù ưu điểm răng sứ Nacera có tốt đến mấy cũng không thể tránh khỏi tình trạng hở viền, gây sâu răng và viêm nướu. Hãy tìm đến các bác sĩ có chứng chỉ chuyên môn và kinh nghiệm thực hiện hàng trăm ca bọc sứ phức tạp, đặc biệt là những ca phục hình toàn hàm.
- Mặc dù ưu điểm răng sứ Nacera có khả năng chống mảng bám tốt, nhưng bạn không được chủ quan. Hãy duy trì thói quen chải răng 2 lần/ngày, sử dụng chỉ nha khoa và máy tăm nước để làm sạch vùng kẽ và viền nướu.
- Đến nha khoa 6 tháng/lần là điều bắt buộc. Bác sĩ sẽ kiểm tra độ khít sát, tình trạng nướu và đánh bóng lại bề mặt sứ, giúp răng sứ luôn sáng bóng và tránh được các vấn đề nha chu tiềm ẩn.

Tóm lại, ưu điểm răng sứ Nacera chỉ phát huy tối đa khi được thực hiện bởi đôi tay và kinh nghiệm của bác sĩ giỏi, cùng với sự tuân thủ chăm sóc của chính khách hàng.
Câu hỏi thường gặp về ưu điểm răng sứ Nacera
Xoay quanh ưu điểm răng sứ Nacera, True Dental nhận được rất nhiều câu hỏi. Dưới đây là một số câu hỏi thường gặp nhất:
Răng sứ Nacera có bị đen viền nướu không?
Răng sứ Nacera thuộc nhóm răng sứ cao cấp, không chứa bất kỳ thành phần kim loại nào, do đó loại bỏ hoàn toàn nguy cơ gây đen viền nướu. Hiện tượng đen viền nướu chỉ xảy ra với các dòng răng sứ kim loại truyền thống. Lõi kim loại này sau một thời gian dài tiếp xúc với môi trường miệng có chứa axit, nước bọt và nhiệt độ sẽ bị oxy hóa dẫn đến đen viền nướu gây mất thẩm mỹ nghiêm trọng.
Với ưu điểm răng sứ Nacera, cấu tạo 100% từ Zirconium Dioxide tinh khiết cùng lớp men sứ tự nhiên đảm bảo sự tương thích sinh học tuyệt đối, không gây phản ứng hóa học, không gây kích ứng mô nướu. Hơn nữa, Nacera còn có độ phản quang tốt giúp duy trì vẻ đẹp tự nhiên của nướu răng và cùi răng bên dưới.
Phân biệt răng sứ Nacera thật – giả như thế nào?
Việc phân biệt răng sứ Nacera thật – giả là vô cùng quan trọng để đảm bảo bạn nhận được đúng chất lượng vật liệu cao cấp mà mình đã chi trả, tránh các loại sứ Zirconia kém chất lượng hoặc không rõ nguồn gốc. Có ba cách chính để khách hàng có thể kiểm tra tính xác thực của răng sứ Nacera: Thẻ bảo hành, mã QR Code, và kiểm tra phôi sứ.
Khi hoàn tất quá trình bọc sứ, bạn phải yêu cầu nha khoa cung cấp thẻ bảo hành chính hãng từ nhà sản xuất DOCERAM Medical Ceramics (Đức). Thẻ này thường có mã số riêng, tên khách hàng và thời gian bảo hành cụ thể. Quan trọng hơn, nha khoa uy tín sẽ cho phép bạn kiểm tra thông tin thông qua một Mã QR Code được in trên thẻ hoặc hộp phôi sứ. Bằng cách quét mã này bằng điện thoại thông minh, bạn có thể truy xuất nguồn gốc phôi sứ, xác nhận đây là sản phẩm chính hãng, được nhập khẩu và phân phối hợp pháp.
Ngoài ra, ưu điểm răng sứ Nacera chính hãng có màu sắc và cấu trúc đa lớp rất đặc trưng, khác biệt so với phôi sứ Zirconia đơn sắc thông thường. Hãy chọn các nha khoa là đối tác trực tiếp của hãng Nacera để đảm bảo minh bạch về nguồn gốc vật liệu và tránh rủi ro sử dụng hàng giả.

Bọc răng sứ Nacera có đau không?
Quy trình bọc răng sứ Nacera, bao gồm cả bước mài cùi răng, hiện nay được thực hiện hoàn toàn không đau nhờ sự hỗ trợ của công nghệ gây tê hiện đại và kỹ thuật mài răng bảo tồn. Trước khi mài cùi, bác sĩ sẽ tiến hành gây tê cục bộ với liều lượng chính xác, đảm bảo vùng răng cần điều trị hoàn toàn mất cảm giác trong suốt quá trình.
Nhờ ưu điểm răng sứ Nacera có thiết kế mỏng, nhẹ nhưng vẫn đảm bảo độ bền chắc, bác sĩ chỉ cần mài một lớp mỏng tối thiểu (khoảng 0.5 – 1mm) ở bề mặt răng, tránh xâm lấn sâu vào ngà răng hoặc tủy răng. Sau khi hết thuốc tê, bạn có thể cảm thấy ê buốt nhẹ hoặc hơi căng tức ở vùng răng mới mài, nhưng cảm giác này thường rất nhẹ và sẽ giảm dần trong vòng 1-2 ngày.
Nếu cảm thấy đau kéo dài hoặc khó chịu, nha khoa sẽ kê thuốc giảm đau không kê đơn và kiểm tra lại cùi răng để đảm bảo không có vấn đề gì.
Các ưu điểm răng sứ Nacera như cấu trúc đa lớp tự nhiên, độ chịu lực lên đến 1400 MPa, và tính tương thích sinh học 100% không chỉ đảm bảo nụ cười đẹp tự nhiên mà còn bảo vệ sức khỏe răng miệng lâu dài. Tuy nhiên, chìa khóa để khai thác triệt để giá trị của Nacera nằm ở sự lựa chọn bác sĩ chuyên môn cao và việc tuân thủ quy trình chăm sóc sau phục hình. Nếu bạn đang tìm địa chỉ bọc răng sứ uy tín hãy liên hệ với True Dental qua số Hotline 090.6636.456 để được bác sĩ tư vấn chi tiết và lên phác đồ điều trị phù hợp nhé!


Răng Sứ Thẩm Mỹ
Bọc sứ thẩm mỹ bao gồm những gì trong gói? Giải đáp chi tiết từ chuyên gia True Dental
Nhiều người trước khi đến nha khoa đều...
Răng Sứ Thẩm Mỹ
Bọc sứ thẩm mỹ khách hàng True Dental hài lòng không? Đánh giá thực tế từ bác sĩ và bệnh nhân
Bọc sứ thẩm mỹ khách hàng True Dental...
Sức Khỏe Răng Miệng
Nhổ răng không đau tại TPHCM – Quy trình an toàn và giá tham khảo tại Nha khoa True Dental
Bạn đang lo lắng về cơn đau khi...
Sức Khỏe Răng Miệng
Điều trị nha chu TPHCM Quận 3 – Giải pháp toàn diện tại Nha khoa True Dental
Bạn đang tìm địa chỉ điều trị nha...
Niềng Răng - Chỉnh Nha
Niềng răng Quận 3 TPHCM giá rẻ – Bảng giá thực tế và địa chỉ uy tín 2026
Niềng răng Quận 3 TPHCM giá rẻ ở...
Niềng Răng - Chỉnh Nha
Niềng răng 3D scan có phải mất tiền thêm không? Giải đáp minh bạch từ True Dental
Niềng răng 3D scan có phải mất tiền...
Tôi đang tìm 1 Nha Khoa để điều trị cho tôi, nhưng rất lo lắng và sợ gặp phải NHA TẶC hoặc bị chèo kéo.
HÃY GIÚP TÔI TƯ VẤN THẬT
HƯỚNG DẪN ĐƯỜNG ĐI